Suppr超能文献

凋亡蛋白酶激活因子-1(Apaf-1)是一种在进化上保守的DNA传感器,可在细胞凋亡和炎症之间切换细胞命运。

Apaf-1 is an evolutionarily conserved DNA sensor that switches the cell fate between apoptosis and inflammation.

作者信息

Ruan Jie, Wei Xuxia, Li Suizhi, Ye Zijian, Hu Linyi, Zhuang Ru, Cao Yange, Wang Shaozhou, Wu Shengpeng, Peng Dezhi, Chen Shangwu, Yuan Shaochun, Xu Anlong

机构信息

Guangdong Key Laboratory of Pharmaceutical Functional Genes, MOE Key Laboratory of Gene Function and Regulation, MOE Engineering Center of South China Sea Marine Biotechnology, Southern Laboratory of Ocean Science and Engineering (Zhuhai), State Key Laboratory of Biocontrol, School of Life Sciences, Sun Yat-sen University, Guangzhou, Guangdong, China.

Laboratory for Marine Biology and Biotechnology, Qingdao National Laboratory for Marine Science and Technology, Qingdao, Shandong, China.

出版信息

Cell Discov. 2025 Jan 21;11(1):4. doi: 10.1038/s41421-024-00750-4.

Abstract

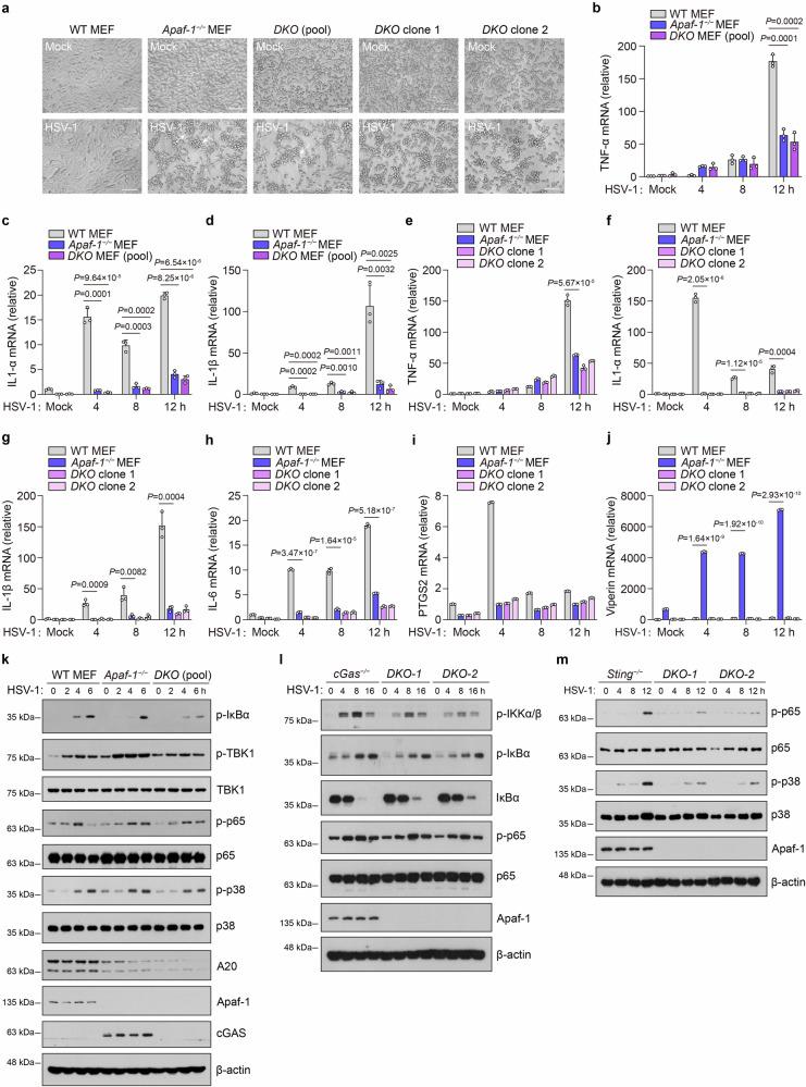
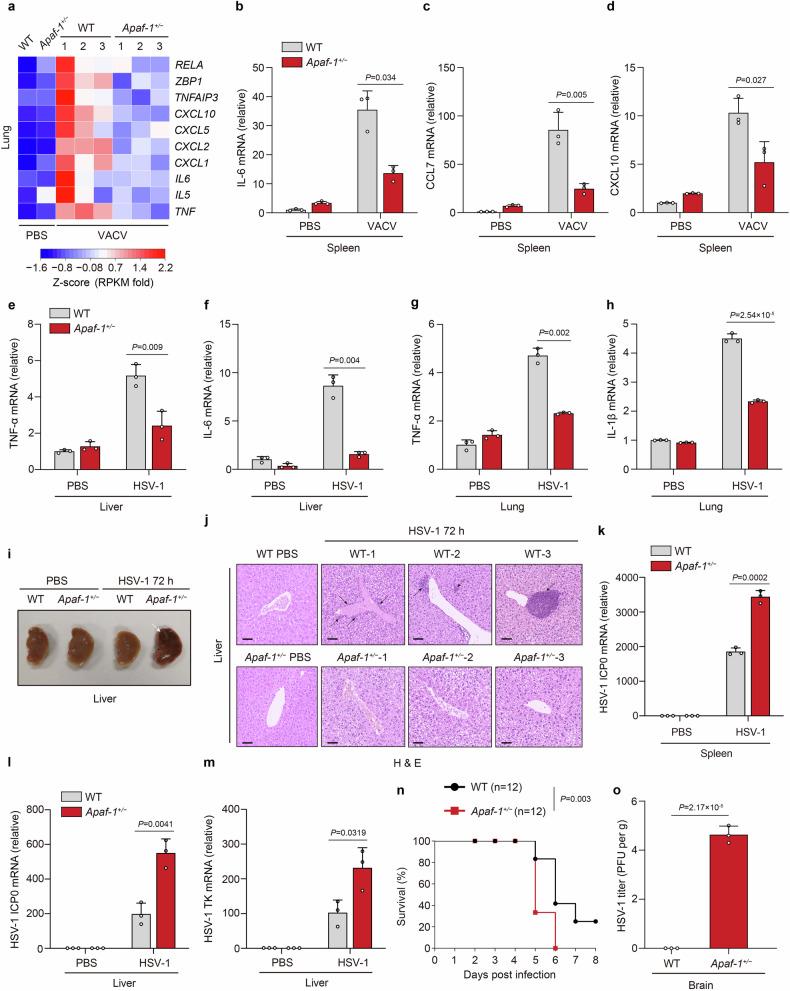
Apoptotic protease activating factor 1 (Apaf-1) was traditionally defined as a scaffold protein in mammalian cells for assembling a caspase activation platform known as the 'apoptosome' after its binding to cytochrome c. Although Apaf-1 structurally resembles animal NOD-like receptor (NLR) and plant resistance (R) proteins, whether it is directly involved in innate immunity is still largely unknown. Here, we found that Apaf-1-like molecules from lancelets, fruit flies, mice, and humans have conserved DNA sensing functionality. Mechanistically, mammalian Apaf-1 recruits receptor-interacting protein 2 (RIP2, also known as RIPK2) via its WD40 repeat domain and promotes RIP2 oligomerization to initiate NF-κB-driven inflammation upon cytoplasmic DNA recognition. Furthermore, DNA binding of Apaf-1 determines cell fate by switching the cellular processes between intrinsic stimuli-activated apoptosis and inflammation. These findings suggest that Apaf-1 is an evolutionarily conserved DNA sensor and may serve as a cell fate checkpoint, which determines whether cells initiate inflammation or undergo apoptosis by distinct ligand binding.

摘要

凋亡蛋白酶激活因子1(Apaf-1)传统上被定义为哺乳动物细胞中的一种支架蛋白,在其与细胞色素c结合后,用于组装一个被称为“凋亡小体”的半胱天冬酶激活平台。尽管Apaf-1在结构上类似于动物NOD样受体(NLR)和植物抗性(R)蛋白,但其是否直接参与先天免疫在很大程度上仍不清楚。在这里,我们发现来自文昌鱼、果蝇、小鼠和人类的Apaf-1样分子具有保守的DNA传感功能。从机制上讲,哺乳动物的Apaf-1通过其WD40重复结构域招募受体相互作用蛋白2(RIP2,也称为RIPK2),并促进RIP2寡聚化,从而在细胞质DNA识别后启动NF-κB驱动的炎症反应。此外,Apaf-1与DNA的结合通过在内在刺激激活的凋亡和炎症之间切换细胞过程来决定细胞命运。这些发现表明,Apaf-1是一种进化上保守的DNA传感器,可能作为一个细胞命运检查点,通过不同的配体结合来决定细胞是启动炎症还是经历凋亡。

https://cdn.ncbi.nlm.nih.gov/pmc/blobs/fa8b/11747288/abf97caaf8dc/41421_2024_750_Fig1_HTML.jpg

文献AI研究员

20分钟写一篇综述,助力文献阅读效率提升50倍。

立即体验

用中文搜PubMed

大模型驱动的PubMed中文搜索引擎

马上搜索

文档翻译

学术文献翻译模型,支持多种主流文档格式。

立即体验