Suppr超能文献

一名40岁无吸烟史男性焊工的胸部SMARCA4缺陷型未分化肿瘤

Thoracic SMARCA4-Deficient Undifferentiated Tumor in a 40-Year-Old Male Welder With No Smoking History.

作者信息

MacDowell Samuel, Hasan Mufadda, Ibrahim Ahmad

机构信息

Medical Education, California University of Science and Medicine, Rialto, USA.

Pulmonary and Critical Care Medicine, Arrowhead Regional Medical Center, Colton, USA.

出版信息

Cureus. 2024 Dec 22;16(12):e76203. doi: 10.7759/cureus.76203. eCollection 2024 Dec.

Abstract

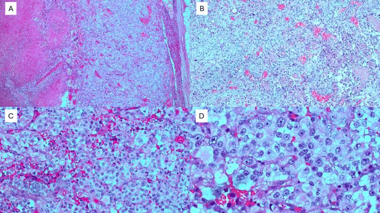
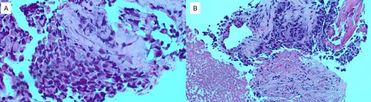
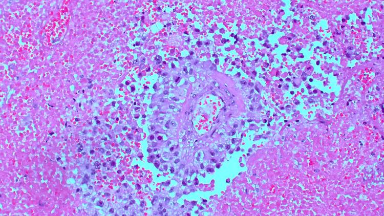
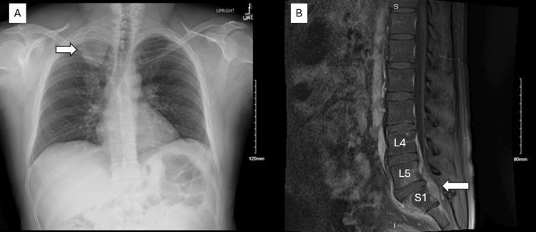
Thoracic SMARCA4-deficient undifferentiated tumor (TSDUT) is a rare and quite new classification of primary pulmonary malignancy. It is classified as a non-small cell lung cancer, typically associated with smoking, and is highly aggressive. Its clinical features, immunohistochemistry, and pathology are quite unique. In this case report, we describe the clinical course of TSDUT pancoast tumor in a 40-year-old male, without a substantial smoking history, but a significant history of occupational welding.

摘要

胸段SMARCA4缺陷型未分化肿瘤(TSDUT)是原发性肺恶性肿瘤中一种罕见且较新的分类。它被归类为非小细胞肺癌,通常与吸烟有关,且具有高度侵袭性。其临床特征、免疫组化和病理学都相当独特。在本病例报告中,我们描述了一名40岁男性TSDUT潘科斯特瘤的临床病程,该患者无大量吸烟史,但有显著的职业焊接史。

https://cdn.ncbi.nlm.nih.gov/pmc/blobs/8f72/11750115/0622ffaa546b/cureus-0016-00000076203-i01.jpg

文献AI研究员

20分钟写一篇综述,助力文献阅读效率提升50倍。

立即体验

用中文搜PubMed

大模型驱动的PubMed中文搜索引擎

马上搜索

文档翻译

学术文献翻译模型,支持多种主流文档格式。

立即体验