Suppr超能文献

核衣壳蛋白的R203M和D377Y突变通过损害RIG-I介导的抗病毒信号传导来促进新型冠状病毒2的感染性。

The R203M and D377Y mutations of the nucleocapsid protein promote SARS-CoV-2 infectivity by impairing RIG-I-mediated antiviral signaling.

作者信息

Li Yongkui, Li Moran, Xiao Heng, Liao Feng, Shen Miaomiao, Ge Weiwei, Ou Junxian, Liu Yuqing, Chen Lumiao, Zhao Yue, Wan Pin, Liu Jinbiao, Chen Jun, Lan Xianwu, Wu Shaorong, Ding Qiang, Li Geng, Zhang Qiwei, Pan Pan

机构信息

State Key Laboratory of Respiratory Disease, School of Basic Medical Science, Guangzhou Medical University, Guangzhou, China.

Key Laboratory of Viral Pathogenesis & Infection Prevention and Control (Jinan University), Ministry of Education, Guangzhou, China.

出版信息

PLoS Pathog. 2025 Jan 22;21(1):e1012886. doi: 10.1371/journal.ppat.1012886. eCollection 2025 Jan.

Abstract

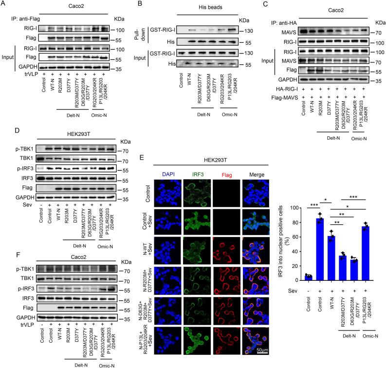
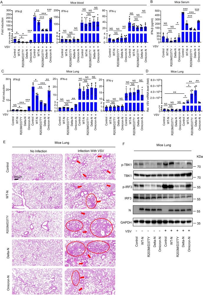
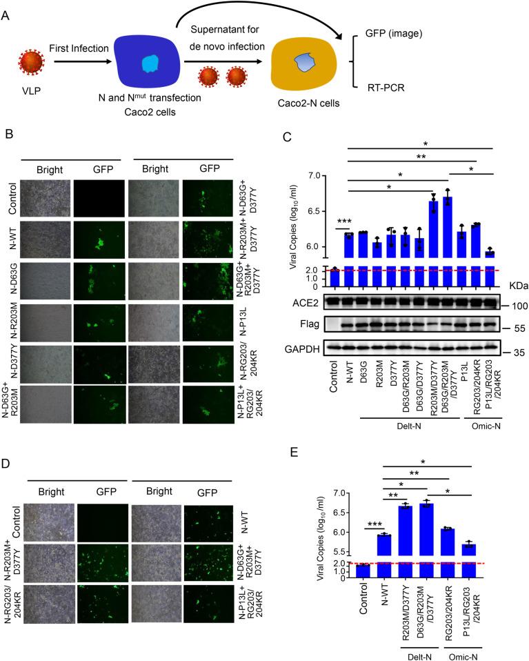
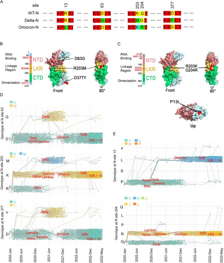
The viral protein mutations can modify virus-host interactions during virus evolution, and thus alter the extent of infection or pathogenicity. Studies indicate that nucleocapsid (N) protein of SARS-CoV-2 participates in viral genome assembly, intracellular signal regulation and immune interference. However, its biological function in viral evolution is not well understood. SARS-CoV-2 N protein mutations were analyzed in Delta, Omicron, and original strains. Two mutations with a methionine (M) residue at site 203 and a tyrosine (Y) residue at site 377 of the N protein were found in Delta strain but not in Omicron and original strains, and promoted SARS-CoV-2 infection therein. Those mutations, R203M and D377Y, enhanced the inhibitory impact of N protein on the impairment of RIG-I-mediated antiviral signaling, such as IRF3 phosphorylation and IFN-β activation. The viral RNA-binding activity of N protein was promoted by these mutations, effectively attenuating the recognition and interaction of RIG-I with viral RNA compared to the original or other variants. The R203M/D377Y mutations thus enhanced the suppressive activity of the N protein on RIG-I-mediated interferon induction both in vitro and in vivo, which in turn promoted viral replication. This study helps to understand the variability of SARS-CoV-2 in regulating host immunity.

摘要

病毒蛋白突变可在病毒进化过程中改变病毒与宿主的相互作用,从而改变感染程度或致病性。研究表明,严重急性呼吸综合征冠状病毒2(SARS-CoV-2)的核衣壳(N)蛋白参与病毒基因组组装、细胞内信号调节和免疫干扰。然而,其在病毒进化中的生物学功能尚不清楚。对SARS-CoV-2 N蛋白在德尔塔、奥密克戎和原始毒株中的突变情况进行了分析。在德尔塔毒株中发现了N蛋白第203位的甲硫氨酸(M)残基和第377位的酪氨酸(Y)残基这两个突变,而在奥密克戎毒株和原始毒株中未发现,且这两个突变在其中促进了SARS-CoV-2感染。这些R203M和D377Y突变增强了N蛋白对RIG-I介导的抗病毒信号传导损伤的抑制作用,如IRF3磷酸化和IFN-β激活。这些突变促进了N蛋白的病毒RNA结合活性,与原始毒株或其他变体相比,有效减弱了RIG-I与病毒RNA的识别和相互作用。因此,R203M/D377Y突变在体外和体内均增强了N蛋白对RIG-I介导的干扰素诱导的抑制活性,进而促进了病毒复制。这项研究有助于了解SARS-CoV-2在调节宿主免疫方面的变异性。

https://cdn.ncbi.nlm.nih.gov/pmc/blobs/72fa/11771877/c159f46829c9/ppat.1012886.g001.jpg

文献AI研究员

20分钟写一篇综述,助力文献阅读效率提升50倍。

立即体验

用中文搜PubMed

大模型驱动的PubMed中文搜索引擎

马上搜索

文档翻译

学术文献翻译模型,支持多种主流文档格式。

立即体验