Suppr超能文献

颞岛叶胶质瘤复杂性之旅:病例报告与文献综述

A Journey into the Complexity of Temporo-Insular Gliomas: Case Report and Literature Review.

作者信息

Encarnacion Ramirez Manuel De Jesus, Reyes Soto Gervith, Castillo Rangel Carlos

机构信息

Neurological Surgery, Peoples Friendship University of Russia, 117198 Moscow, Russia.

Neurosciencce Departament, Mexico's National Institute of Cancer, Mexico City 14080, Mexico.

出版信息

Curr Oncol. 2025 Jan 14;32(1):41. doi: 10.3390/curroncol32010041.

Abstract

INTRODUCTION

Temporo-insular gliomas, rare brain tumors originating from glial cells, comprise about 30% of brain tumors and vary in aggressiveness from grade I to IV. Despite advancements in neuroimaging and surgical techniques, their management remains complex due to their location near critical cognitive areas. Techniques like awake craniotomy have improved outcomes, but tumor heterogeneity and proximity to vital structures pose challenges. Radiotherapy and chemotherapy offer benefits post-surgery, though issues like resistance and side effects persist. This article discusses a case report and literature review to deepen understanding of temporo-insular gliomas, focusing on advanced diagnostic and treatment approaches.

MATERIALS AND METHODS

A systematic review was conducted using PubMed, Embase, and Google Scholar, covering studies from 2019 to July 2024. Keywords included 'brain tumor', 'neurosurgery', and 'treatment'. Articles on glioma diagnosis, management, and outcomes were selected, excluding non-English studies, irrelevant reports, non-glioma research, and inaccessible texts.

RESULTS

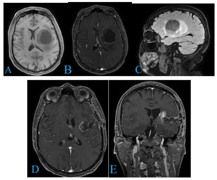
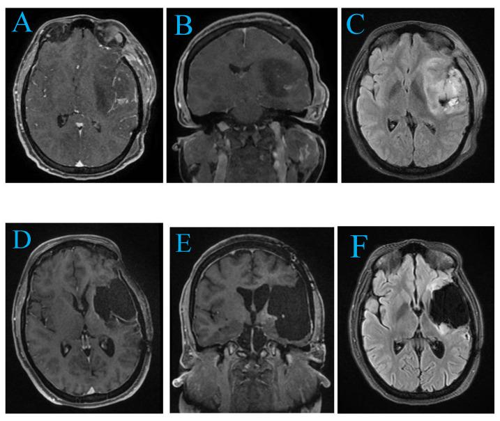
From 156 studies, 11 met inclusion criteria, highlighting advanced diagnostics, surgical strategies, and adjunct therapies for temporo-insular gliomas (TIGs). Gross total resection (GTR) was achieved in 39% of cases. Awake craniotomy enhanced functional outcomes, while temozolomide and radiotherapy improved survival. Challenges included ischemic complications and treatment resistance. Two patient cases underscored the complexity of TIG management and the importance of individualized approaches, achieving satisfactory resection with minimal deficits.

CONCLUSIONS

Temporo-insular gliomas (TIGs) necessitate a multidisciplinary strategy that integrates advanced imaging, meticulous surgical methods, and cutting-edge adjuvant therapies. Despite progress with techniques like awake craniotomy and the use of temozolomide improving patient outcomes, significant challenges persist in maintaining functional integrity and addressing treatment resistance. Ongoing research into targeted therapies, immunotherapies, and innovative technologies remains critical to advancing patient care and improving long-term prognosis.

摘要

引言

颞岛胶质瘤是起源于神经胶质细胞的罕见脑肿瘤,约占脑肿瘤的30%,其侵袭性从一级到四级不等。尽管神经影像学和手术技术取得了进展,但由于其位于关键认知区域附近,其治疗仍然复杂。清醒开颅手术等技术改善了治疗效果,但肿瘤异质性和与重要结构的接近度带来了挑战。放疗和化疗在术后有一定益处,不过耐药性和副作用等问题依然存在。本文通过病例报告和文献综述来加深对颞岛胶质瘤的理解,重点关注先进的诊断和治疗方法。

材料与方法

使用PubMed、Embase和谷歌学术进行系统综述,涵盖2019年至2024年7月的研究。关键词包括“脑肿瘤”“神经外科”和“治疗”。选取了关于胶质瘤诊断、治疗和结果的文章,排除非英语研究、无关报告、非胶质瘤研究和无法获取的文本。

结果

从156项研究中,11项符合纳入标准,突出了颞岛胶质瘤(TIGs)的先进诊断、手术策略和辅助治疗。39%的病例实现了大体全切(GTR)。清醒开颅手术改善了功能结局,而替莫唑胺和放疗提高了生存率。挑战包括缺血性并发症和治疗耐药性。两个患者病例强调了TIG治疗的复杂性以及个体化方法的重要性,在最小程度的功能缺损下实现了满意的切除。

结论

颞岛胶质瘤(TIGs)需要多学科策略,整合先进的影像学检查、精细的手术方法和前沿的辅助治疗。尽管清醒开颅手术等技术取得了进展,以及替莫唑胺的使用改善了患者预后,但在维持功能完整性和应对治疗耐药性方面仍存在重大挑战。对靶向治疗、免疫治疗和创新技术的持续研究对于推进患者护理和改善长期预后仍然至关重要。

https://cdn.ncbi.nlm.nih.gov/pmc/blobs/ccdb/11764291/69516f7def13/curroncol-32-00041-g001.jpg

文献AI研究员

20分钟写一篇综述,助力文献阅读效率提升50倍。

立即体验

用中文搜PubMed

大模型驱动的PubMed中文搜索引擎

马上搜索

文档翻译

学术文献翻译模型,支持多种主流文档格式。

立即体验