Suppr超能文献

趋化因子CX3CL1尽管在卵巢癌中增强了T细胞募集,但仍促进腹膜内肿瘤生长。

The chemokine CX3CL1 promotes intraperitoneal tumour growth despite enhanced T-cell recruitment in ovarian cancer.

作者信息

Seitz Stefanie, Dreyer Tobias F, Stange Christoph, Steiger Katja, Wohlleber Dirk, Anton Martina, Pham Thuý An, Sauter-Peschke Dominique, Reuning Ute, Multhoff Gabriele, Weichert Wilko, Kiechle Marion, Magdolen Viktor, Bronger Holger

机构信息

Department of Gynecology and Obstetrics, Technical University of Munich, 81675 Munich, Germany.

Comparative Experimental Pathology, Institute of Pathology, Technical University of Munich, 81675 Munich, Germany; Institute of Pathology, Technical University of Munich, 81675 Munich, Germany; German Cancer Consortium (DKTK), partner site Munich, and German Cancer Research Center (DKFZ), Heidelberg, Germany.

出版信息

Neoplasia. 2025 Feb;60:101130. doi: 10.1016/j.neo.2025.101130. Epub 2025 Jan 24.

Abstract

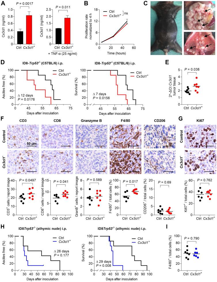
T-cell recruiting chemokines are required for a successful immune intervention in ovarian cancer, and also for the efficacy of modern anticancer agents such as PARP inhibitors. The chemokine CX3CL1 recruits tumour-suppressive T-cells into solid tumours, but also mediates cell-cell adhesions, e.g. of tumour cells, through its membrane-bound form. So far, its role in ovarian cancer has only been rudimentarily addressed. We show that high CX3CL1 expression significantly correlates with worsened survival in human high-grade serous ovarian cancer (n=219). In preclinical ovarian cancer, CX3CL1 plays a dual role, as it enhances the adaptive anti-tumour response, but overall still promotes tumour growth, the latter as a feature of the intraperitoneal environment. Moreover, PARP inhibitors are able to increase CX3CL1 release from human ovarian cancer cells. Collectively, our study shows that CX3CL1 is a driver of intraperitoneal tumour growth in ovarian cancer, a feature that may compromise the anticancer effect of CX3CL1-inducing PARP inhibitors.

摘要

T细胞招募趋化因子对于成功干预卵巢癌免疫以及现代抗癌药物(如PARP抑制剂)的疗效至关重要。趋化因子CX3CL1可将肿瘤抑制性T细胞募集到实体瘤中,但其膜结合形式也介导细胞间黏附,如肿瘤细胞间的黏附。到目前为止,其在卵巢癌中的作用仅得到初步研究。我们发现,CX3CL1高表达与人高级别浆液性卵巢癌(n = 219)患者生存率降低显著相关。在临床前卵巢癌模型中,CX3CL1发挥双重作用,它增强适应性抗肿瘤反应,但总体上仍促进肿瘤生长,这是腹膜内环境的一个特征。此外,PARP抑制剂能够增加人卵巢癌细胞释放CX3CL1。总的来说,我们的研究表明CX3CL1是卵巢癌腹膜内肿瘤生长的驱动因素,这一特征可能会削弱诱导CX3CL1的PARP抑制剂的抗癌效果。

https://cdn.ncbi.nlm.nih.gov/pmc/blobs/a4d0/11804824/81409f33bc84/gr1.jpg

文献AI研究员

20分钟写一篇综述,助力文献阅读效率提升50倍。

立即体验

用中文搜PubMed

大模型驱动的PubMed中文搜索引擎

马上搜索

文档翻译

学术文献翻译模型,支持多种主流文档格式。

立即体验