Suppr超能文献

CASC8通过c-Myc-GLUT1轴激活磷酸戊糖途径以抑制胰腺导管腺癌中的二硫化物介导的细胞死亡。

CASC8 activates the pentose phosphate pathway to inhibit disulfidptosis in pancreatic ductal adenocarcinoma though the c-Myc-GLUT1 axis.

作者信息

Yao Hong-Fei, Ge Jieqiong, Chen Jiahao, Tang Xiaoyan, Li Chunjing, Hu Xiao, Ahmed Abousalam Abdoulkader, Pu Yunlong, Zhou Guihua, Zhang Tongyi, Cai Zhiwei, Jiang Chongyi

机构信息

Department of Hepato-Biliary-Pancreatic Surgery, General Surgery, Huadong Hospital, Fudan University, Shanghai, 200040, PR China.

Department of Nursing, Huadong Hospital, Fudan University, Shanghai, 200040, PR China.

出版信息

J Exp Clin Cancer Res. 2025 Jan 27;44(1):26. doi: 10.1186/s13046-025-03295-w.

Abstract

PURPOSE

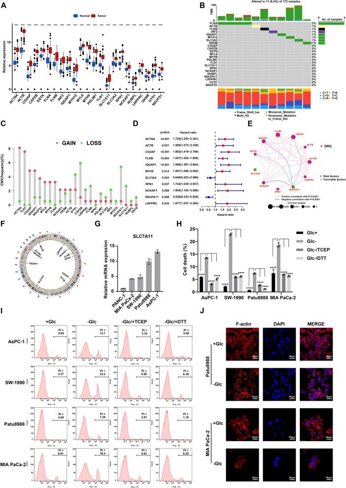
Glucose starvation induces the accumulation of disulfides and F-actin collapse in cells with high expression of SLC7A11, a phenomenon termed disulfidptosis. This study aimed to confirm the existence of disulfidptosis in pancreatic ductal adenocarcinoma (PDAC) and elucidate the role of Cancer Susceptibility 8 (CASC8) in this process.

METHODS

The existence of disulfidptosis in PDAC was assessed using flow cytometry and F-actin staining. CASC8 expression and its clinical correlations were analyzed using data from The Cancer Genome Atlas (TCGA) and further verified by chromogenic in situ hybridization assay in PDAC tissues. Cells with CASC8 knockdown and overexpression were subjected to cell viability, EdU, transwell assays, and used to establish subcutaneous and orthotopic tumor models. Disulfidptosis was detected by flow cytometry and immunofluorescence assays. RNA sequencing and metabolomics analysis were performed to determine the metabolic pathways which were significantly affected after CASC8 knockdown. We detected the glucose consumption and the NADP/NADPH ratio to investigate alterations in metabolic profiles. RNA immunoprecipitation combined with fluorescence in situ hybridization assay was used to identify protein-RNA interactions. Protein stability, western blotting and quantitative real-time PCR assays were performed to reveal potential molecular mechanism.

RESULTS

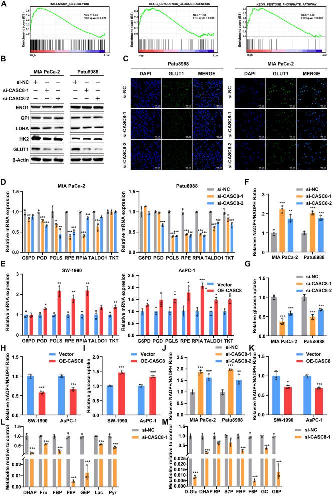
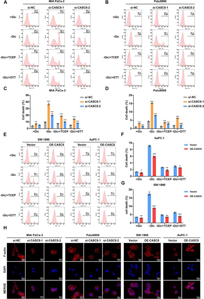
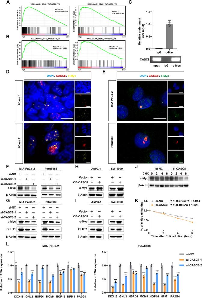
Disulfidptosis was observed in PDAC and could be significantly rescued by disulfidptosis inhibitors. CASC8 expression was higher in PDAC samples compared to normal pancreatic tissue. High CASC8 expression correlated with a poor prognosis for patients with PDAC and contributed to cancer progression in vitro and in vivo. Furthermore, CASC8 was associated with disulfidptosis resistance under glucose starvation conditions in PDAC. Mechanistically, CASC8 interacted with c-Myc to enhance the stability of c-Myc protein, leading to the activation of the pentose phosphate pathway, a reduction of the NADP/NADPH ratio and ultimately inhibiting disulfidptosis under glucose starvation conditions.

CONCLUSIONS

This study provides evidence for the existence of disulfidptosis in PDAC and reveals the upregulation of CASC8 in this malignancy. Furthermore, we demonstrate that CASC8 acts as a crucial regulator of the pentose phosphate pathway and disulfidptosis, thereby promoting PDAC progression.

摘要

目的

葡萄糖饥饿会诱导二硫键积累以及SLC7A11高表达细胞中的F-肌动蛋白塌陷,这种现象被称为二硫键化坏死。本研究旨在证实胰腺导管腺癌(PDAC)中二硫键化坏死的存在,并阐明癌症易感性8(CASC8)在此过程中的作用。

方法

使用流式细胞术和F-肌动蛋白染色评估PDAC中二硫键化坏死的存在。利用癌症基因组图谱(TCGA)的数据分析CASC8的表达及其临床相关性,并通过PDAC组织中的显色原位杂交测定进一步验证。对CASC8敲低和过表达的细胞进行细胞活力、EdU、Transwell测定,并用于建立皮下和原位肿瘤模型。通过流式细胞术和免疫荧光测定检测二硫键化坏死。进行RNA测序和代谢组学分析以确定CASC8敲低后受到显著影响的代谢途径。我们检测葡萄糖消耗和NADP/NADPH比值以研究代谢谱的变化。采用RNA免疫沉淀联合荧光原位杂交测定来鉴定蛋白质-RNA相互作用。进行蛋白质稳定性、蛋白质印迹和定量实时PCR测定以揭示潜在的分子机制。

结果

在PDAC中观察到二硫键化坏死,并且二硫键化坏死抑制剂可显著挽救这种现象。与正常胰腺组织相比,PDAC样本中CASC8的表达更高。CASC8高表达与PDAC患者的不良预后相关,并在体外和体内促进癌症进展。此外,在葡萄糖饥饿条件下,CASC8与PDAC中的二硫键化坏死抗性相关。机制上,CASC8与c-Myc相互作用以增强c-Myc蛋白的稳定性,导致磷酸戊糖途径的激活、NADP/NADPH比值的降低,并最终在葡萄糖饥饿条件下抑制二硫键化坏死。

结论

本研究为PDAC中二硫键化坏死的存在提供了证据,并揭示了这种恶性肿瘤中CASC8的上调。此外,我们证明CASC8作为磷酸戊糖途径和二硫键化坏死的关键调节因子,从而促进PDAC进展。

https://cdn.ncbi.nlm.nih.gov/pmc/blobs/42e7/11771065/95506ba536bb/13046_2025_3295_Fig1_HTML.jpg

文献AI研究员

20分钟写一篇综述,助力文献阅读效率提升50倍。

立即体验

用中文搜PubMed

大模型驱动的PubMed中文搜索引擎

马上搜索

文档翻译

学术文献翻译模型,支持多种主流文档格式。

立即体验