Suppr超能文献

髓样分化因子88(MyD88)抑制剂TJ-M2010-5通过抑制旋毛虫早期感染中的PI3K/miR-136-5p/AKT3通路减轻脾脏损伤和炎症。

MyD88 inhibitor TJ-M2010-5 alleviates spleen impairment and inflammation by inhibiting the PI3K/miR-136-5p/AKT3 pathway in the early infection of Trichinella spiralis.

作者信息

Bai Huifang, Dang Qianqian, Chen Guoliang, Xie Lingfeng, Wang Saining, Jiang Ning, Wu Xiaoxia, Zhang Shuyan, Wang Xuelin

机构信息

State Key Laboratory for Diagnosis and Treatment of Severe Zoonotic Infectious Diseases, Key Laboratory for Zoonosis Research of the Ministry of Education, Institute of Zoonosis, and College of Veterinary Medicine, Jilin University, Changchun, 130062, China.

出版信息

Vet Res. 2025 Feb 4;56(1):28. doi: 10.1186/s13567-025-01459-2.

Abstract

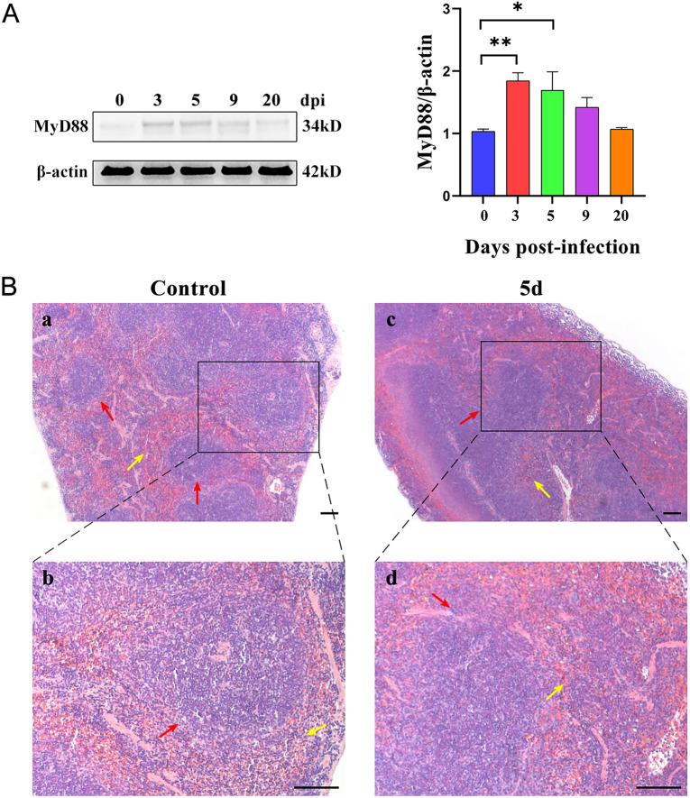
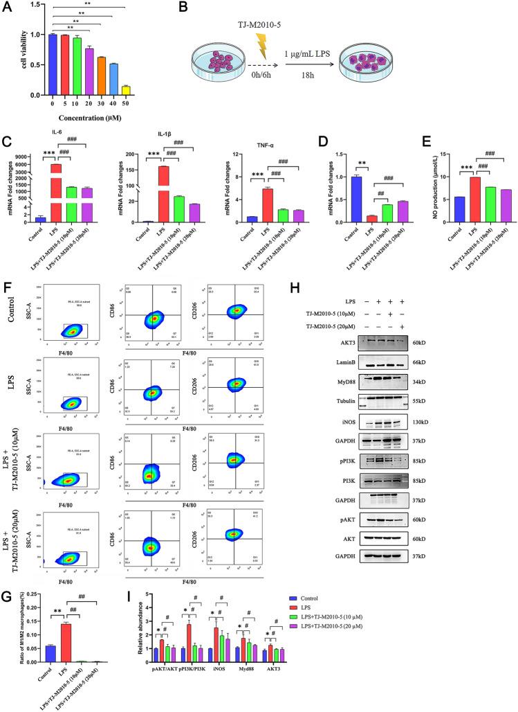
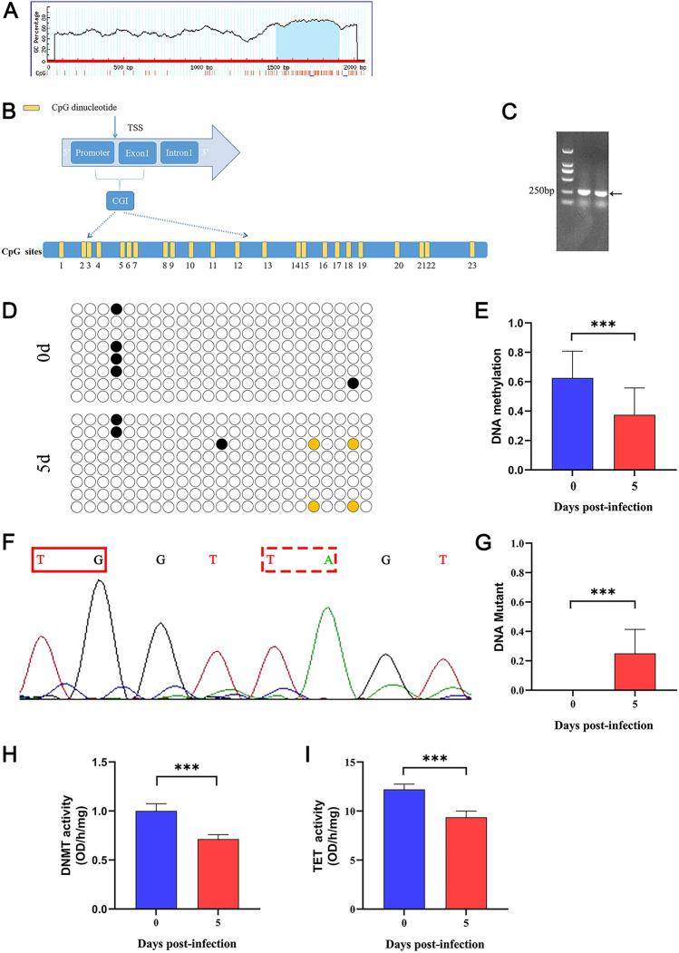
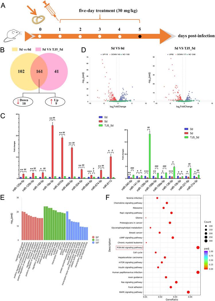
Trichinella spiralis (T. spiralis) has been reported to induce inflammation, which can cause immune system dysregulation. Myeloid differentiation primary response gene 88 (MyD88) is implicated in inflammation signalling pathways. TJ-M2010-5 is a novel MyD88 inhibitor with remarkable protective effects against several diseases. However, the precise mechanism of TJ-M2010-5's involvement in spleen impairment and inflammation in the early infection of T. spiralis has yet to be fully elucidated. This study analysed histological, inflammation, and macrophage polarisation of the early T. spiralis-infected mice treated with TJ-M2010-5. MyD88 promoter methylation results showed that the methylation levels in the 5 d group were lower compared to the control group (P < 0.05). Furthermore, the methylation led to an imbalance in anti-inflammatory regulation in the infected mice. After TJ-M2010-5 treatment, spleen impairment was reduced. Sequencing analysis showed that TJ-M2010-5 significantly up-regulated 9 and down-regulated 10 miRNAs compared with the 5 d group. A dual-luciferase reporter assay further revealed that miR-136-5p is involved in the TJ-M2010-5 treatment by targeting AKT3. In RAW264.7 cells, TJ-M2010-5 pre-treatment significantly reversed the M1 polarisation and inhibited nitric oxide (NO) production. LC-MS/MS results showed TJ-M2010-5 was hepatosplenic-targeted. In conclusion, the study demonstrates that TJ-M2010-5 could effectively alleviate spleen impairment and reduce inflammation in mice infected with T. spiralis in its early stages by blocking the activation of PI3K/miR-136-5p/AKT3.

摘要

旋毛虫(Trichinella spiralis,T. spiralis)已被报道可引发炎症,进而导致免疫系统失调。髓样分化初级反应基因88(MyD88)参与炎症信号通路。TJ-M2010-5是一种新型的MyD88抑制剂,对多种疾病具有显著的保护作用。然而,TJ-M2010-5在旋毛虫早期感染中参与脾脏损伤和炎症的确切机制尚未完全阐明。本研究分析了用TJ-M2010-5处理的旋毛虫早期感染小鼠的组织学、炎症和巨噬细胞极化情况。MyD88启动子甲基化结果显示,与对照组相比,5天组的甲基化水平较低(P < 0.05)。此外,甲基化导致感染小鼠抗炎调节失衡。经TJ-M2010-5处理后,脾脏损伤减轻。测序分析表明,与5天组相比,TJ-M2010-5显著上调了9种miRNA并下调了10种miRNA。双荧光素酶报告基因检测进一步揭示,miR-136-5p通过靶向AKT3参与TJ-M2010-5的治疗。在RAW264.7细胞中,TJ-M2010-5预处理显著逆转了M1极化并抑制了一氧化氮(NO)的产生。液相色谱-串联质谱(LC-MS/MS)结果显示TJ-M2010-5以肝脾为靶向。总之,该研究表明TJ-M2010-5可通过阻断PI3K/miR-136-5p/AKT3的激活,有效减轻旋毛虫早期感染小鼠的脾脏损伤并减轻炎症。

https://cdn.ncbi.nlm.nih.gov/pmc/blobs/3655/11796171/c3e90e20f7f3/13567_2025_1459_Fig1_HTML.jpg

文献AI研究员

20分钟写一篇综述,助力文献阅读效率提升50倍。

立即体验

用中文搜PubMed

大模型驱动的PubMed中文搜索引擎

马上搜索

文档翻译

学术文献翻译模型,支持多种主流文档格式。

立即体验