Suppr超能文献

头颈部鳞状细胞癌中三级淋巴结构的不同成熟度和空间分布:对肿瘤免疫和临床结果的影响

Distinct maturity and spatial distribution of tertiary lymphoid structures in head and neck squamous cell carcinoma: implications for tumor immunity and clinical outcomes.

作者信息

Xu Shuai, Han Chao, Zhou Jian, Yang Di, Dong Hui, Zhang Yiwei, Zhao Tingting, Tian Yi, Wu Yuzhang

机构信息

Institute of Immunology, Third Military Medical University (Army Medical University), Chongqing, 400038, People's Republic of China.

Department of Head and Neck Surgery, The Second Affiliated Hospital, Third Military Medical University (Army Medical University), Chongqing, 400037, People's Republic of China.

出版信息

Cancer Immunol Immunother. 2025 Feb 11;74(3):107. doi: 10.1007/s00262-025-03952-1.

Abstract

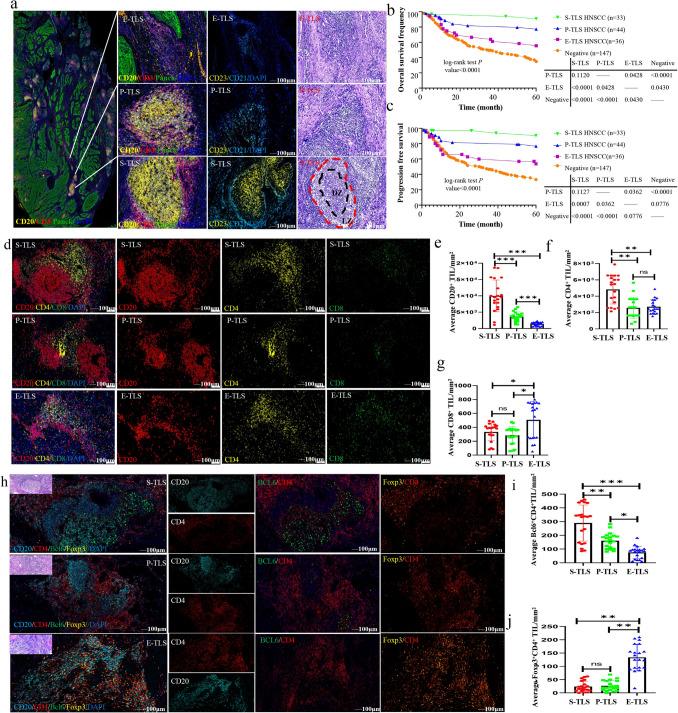
The influence of tertiary lymphoid structures (TLSs) on disease progression and the response to immunotherapy in head and neck squamous cell carcinoma (HNSCC) is well established, yet the heterogeneity among these structures remains largely unexplored. We utilized digital spatial profiling technology to perform in situ transcriptomic sequencing of TLSs across varying levels of maturation and distinct tumor regions within HNSCC. We assessed the prognostic significance of TLS maturation and spatial distribution in 260 patients with HNSCC through hematoxylin and eosin staining and multiplex immunohistochemistry. Furthermore, we established a TLS scoring system to predict survival in patients with HNSCC. Our study revealed that mature TLSs in the intratumor region (Intra-TLSs) of HNSCC, enriched with memory B cells, plasma cells, and CD4 T cells, presented increased B-cell activity gene expression. Conversely, early TLSs (E-TLSs), abundant in endothelial cells, fibroblasts, and regulatory T cells, express epithelial‒mesenchymal transition (EMT)-related genes, potentially fostering tumor growth. Compared with mature TLSs within the peritumoral region (Peri-TLSs), mature Intra-TLSs have greater memory B-cell and macrophage densities and upregulate genes involved in B-cell receptor signaling and immune effector processes. Mature Peri-TLSs, characterized by endothelial cell enrichment and EMT receptor interaction genes, may contribute to tumor progression and immune evasion. Patients with mature Intra-TLSs or invasive margin TLSs (Invas-TLSs) have improved 5-year survival, whereas those with mature Peri-TLSs have poorer prognoses. By integrating TLS maturity and distribution in HNSCC, we developed a TLS scoring system to guide personalized treatments, which is crucial for predicting outcomes.

摘要

三级淋巴结构(TLSs)对头颈部鳞状细胞癌(HNSCC)疾病进展及免疫治疗反应的影响已得到充分证实,然而这些结构之间的异质性在很大程度上仍未被探索。我们利用数字空间分析技术对HNSCC内不同成熟水平和不同肿瘤区域的TLSs进行原位转录组测序。我们通过苏木精和伊红染色及多重免疫组化评估了260例HNSCC患者中TLS成熟度和空间分布的预后意义。此外,我们建立了一个TLS评分系统来预测HNSCC患者的生存情况。我们的研究表明,HNSCC肿瘤内区域(肿瘤内TLSs)的成熟TLSs富含记忆B细胞、浆细胞和CD4 T细胞,呈现出增加的B细胞活性基因表达。相反,早期TLSs(E-TLSs)富含内皮细胞、成纤维细胞和调节性T细胞,表达上皮-间质转化(EMT)相关基因,可能促进肿瘤生长。与肿瘤周围区域(肿瘤周围TLSs)的成熟TLSs相比,成熟的肿瘤内TLSs具有更高的记忆B细胞和巨噬细胞密度,并上调参与B细胞受体信号传导和免疫效应过程的基因。以内皮细胞富集和EMT受体相互作用基因为特征的成熟肿瘤周围TLSs可能促进肿瘤进展和免疫逃逸。具有成熟肿瘤内TLSs或浸润边缘TLSs(浸润性TLSs)的患者5年生存率提高,而具有成熟肿瘤周围TLSs的患者预后较差。通过整合HNSCC中TLS的成熟度和分布,我们开发了一个TLS评分系统来指导个性化治疗,这对预测结果至关重要。

https://cdn.ncbi.nlm.nih.gov/pmc/blobs/0454/11813844/39fad8406af8/262_2025_3952_Fig1_HTML.jpg

文献AI研究员

20分钟写一篇综述,助力文献阅读效率提升50倍。

立即体验

用中文搜PubMed

大模型驱动的PubMed中文搜索引擎

马上搜索

文档翻译

学术文献翻译模型,支持多种主流文档格式。

立即体验