Suppr超能文献

胸膜间皮瘤病理诊断方法中的挑战

Diagnostic Challenges in the Pathological Approach to Pleural Mesothelioma.

作者信息

Lucà Stefano, Pignata Giovanna, Cioce Alessandro, Salzillo Cecilia, De Cecio Rossella, Ferrara Gerardo, Della Corte Carminia Maria, Morgillo Floriana, Fiorelli Alfonso, Montella Marco, Franco Renato

机构信息

Pathology Unit, Department of Mental and Physical Health and Preventive Medicine, University of Campania Luigi Vanvitelli, 80138 Naples, Italy.

Department of Experimental Medicine, PhD Course in Public Health, University of Campania Luigi Vanvitelli, 80138 Naples, Italy.

出版信息

Cancers (Basel). 2025 Feb 1;17(3):481. doi: 10.3390/cancers17030481.

Abstract

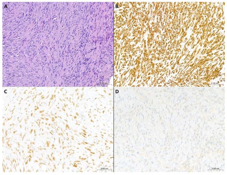
Malignant pleural mesothelioma (MPM) still represents a complex diagnostic challenge for pathologists in routine practice. This diagnosis requires a multidisciplinary approach, and pathological evaluation is mandatory. The histopathological diagnosis is stepwise and should be based on morphological and immunohistochemical assessment, sometimes associated with molecular tests, and supported by clinical and radiological findings. A correct morphological approach aims to exclude pleural metastasis or benign mesothelial proliferations, which are the main differential diagnoses. While certain histological features are diagnostic of MPM, others are highly suggestive but not definitive. Immunohistochemistry plays a pivotal role, with a panel of both traditional and newer markers being used to assess mesothelial differentiation and to differentiate malignant from benign proliferations. In more challenging cases, molecular tests, such as fluorescent in situ hybridization (FISH) to detect CDKN2A deletion, can be helpful in distinguishing malignant from benign pleural lesions. This review summarizes the key morphological, immunohistochemical, and molecular features that should be considered when pleural biopsy samples are examined, with the aim of improving diagnostic accuracy in this complex area.

摘要

恶性胸膜间皮瘤(MPM)在日常实践中对病理学家来说仍然是一项复杂的诊断挑战。该诊断需要多学科方法,病理评估必不可少。组织病理学诊断是逐步进行的,应基于形态学和免疫组化评估,有时还需结合分子检测,并得到临床和影像学检查结果的支持。正确的形态学方法旨在排除胸膜转移或良性间皮增生,这是主要的鉴别诊断。虽然某些组织学特征可诊断MPM,但其他特征高度提示但不具有决定性。免疫组化起着关键作用,使用一组传统和新型标志物来评估间皮分化,并区分恶性和良性增生。在更具挑战性的病例中,分子检测,如用于检测CDKN2A缺失的荧光原位杂交(FISH),有助于区分恶性和良性胸膜病变。本综述总结了检查胸膜活检样本时应考虑的关键形态学、免疫组化和分子特征,目的是提高这一复杂领域的诊断准确性。

https://cdn.ncbi.nlm.nih.gov/pmc/blobs/850b/11816244/a41e6ad3aa2b/cancers-17-00481-g001.jpg

文献AI研究员

20分钟写一篇综述,助力文献阅读效率提升50倍。

立即体验

用中文搜PubMed

大模型驱动的PubMed中文搜索引擎

马上搜索

文档翻译

学术文献翻译模型,支持多种主流文档格式。

立即体验