Suppr超能文献

PAK4通过磷酸化卵母细胞中的DDX17来促进细胞骨架组织和减数分裂成熟。

PAK4 promotes the cytoskeletal organization and meiotic maturation via phosphorylating DDX17 in oocyte.

作者信息

Wang Hengjie, Gao Ming, Cheng Qing, Zhu Shuai, Chen Yu, Gu Ling, Guo Xuejiang, Huo Ran, Xiong Bo, Wang Qiang

机构信息

State Key Laboratory of Reproductive Medicine and Offspring Health, Nanjing Medical University, Nanjing, China.

College of Animal Science and Technology, Nanjing Agricultural University, Nanjing, China.

出版信息

Cell Commun Signal. 2025 Feb 13;23(1):85. doi: 10.1186/s12964-025-02085-3.

Abstract

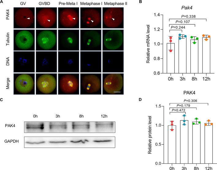
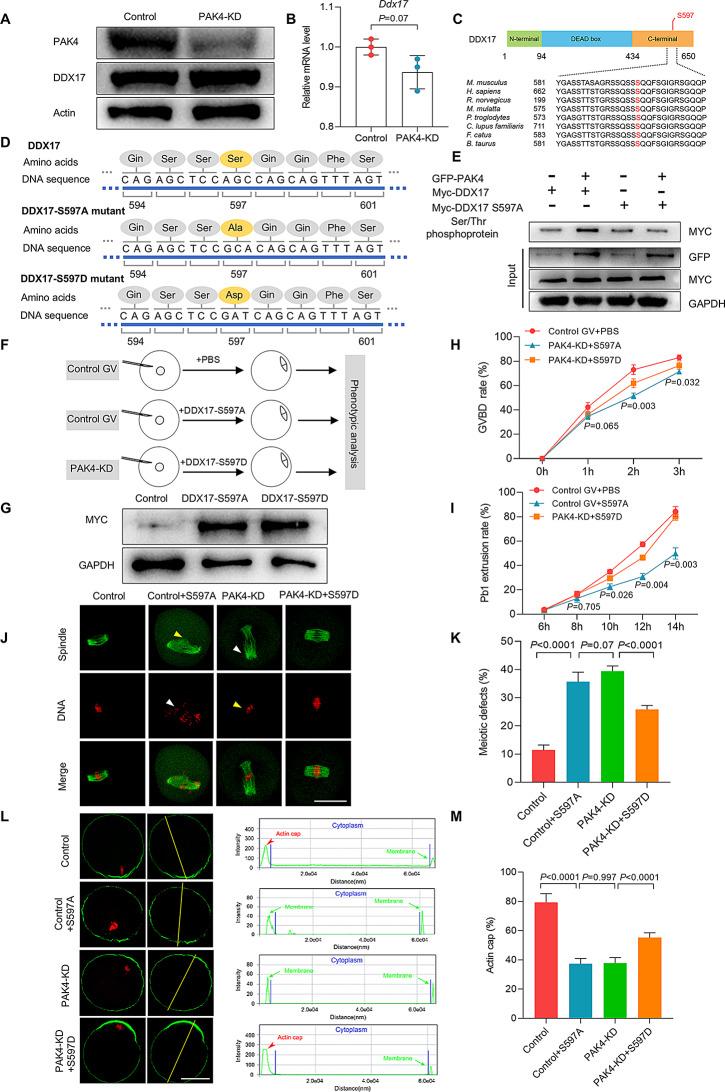
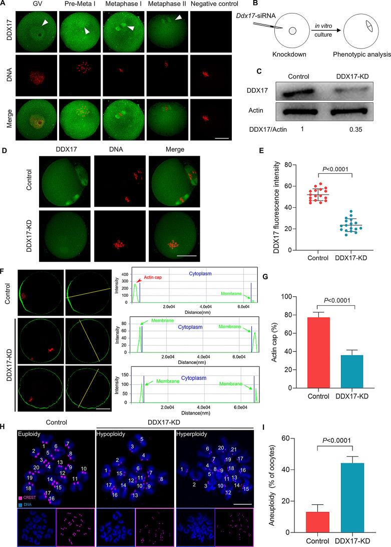
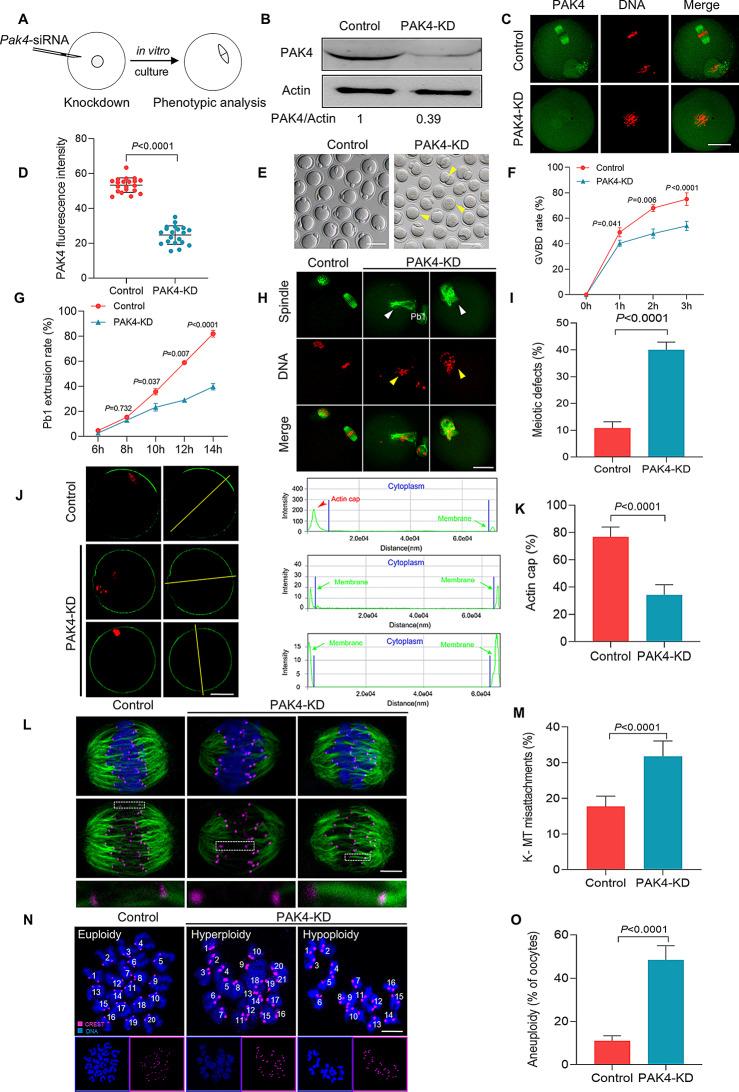
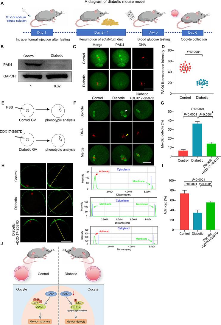
PAK4 has been widely reported to function in somatic cells. However, its role and the underlying mechanisms in meiotic oocytes are largely unknown. Here, we show that PAK4 deficiency significantly disrupts maturational progression and meiotic apparatus in mouse oocytes. Furthermore, based on the kinase substrate binding preference and systematic functional screening, our mechanistic investigation demonstrated that PAK4 promotes cytoskeletal organization and oocyte maturation through phosphorylating serine 597 on DDX17. Of note, we identified a marked reduction of PAK4 protein in oocytes from diabetic mice. Importantly, ectopic expression of hyperphosphorylation-mimicking DDX17 mutant (DDX17-S597D) partly prevented the meiotic defects in these diabetic oocytes, indicating that the decreased phosphorylation of DDX17 due to PAK4 insufficiency is responsible for the impaired oocyte quality. In sum, these findings unveil the pivotal role of PAK4 in oocyte development and indicate a novel mechanism controlling meiotic progression and structure.

摘要

PAK4在体细胞中的功能已被广泛报道。然而,其在减数分裂卵母细胞中的作用及潜在机制仍 largely未知。在此,我们表明PAK4缺陷显著破坏小鼠卵母细胞的成熟进程和减数分裂装置。此外,基于激酶底物结合偏好和系统功能筛选,我们的机制研究表明,PAK4通过磷酸化DDX17上的丝氨酸597促进细胞骨架组织和卵母细胞成熟。值得注意的是,我们发现糖尿病小鼠卵母细胞中PAK4蛋白显著减少。重要的是,异位表达模拟过度磷酸化的DDX17突变体(DDX17-S597D)部分预防了这些糖尿病卵母细胞中的减数分裂缺陷,表明由于PAK4不足导致的DDX17磷酸化减少是卵母细胞质量受损的原因。总之,这些发现揭示了PAK4在卵母细胞发育中的关键作用,并表明了一种控制减数分裂进程和结构的新机制。

https://cdn.ncbi.nlm.nih.gov/pmc/blobs/def1/11827469/4d884793f1c4/12964_2025_2085_Fig1_HTML.jpg

文献AI研究员

20分钟写一篇综述,助力文献阅读效率提升50倍。

立即体验

用中文搜PubMed

大模型驱动的PubMed中文搜索引擎

马上搜索

文档翻译

学术文献翻译模型,支持多种主流文档格式。

立即体验