Suppr超能文献

单核苷酸多态性微阵列在BAP1失活黑素细胞肿瘤分类中的作用

Role of single-nucleotide polymorphism microarray in the classification of BAP1-inactivated melanocytic tumours.

作者信息

Durgin Joseph S, Zoumberos Nicholas A, Novice Taylor, Fullen Douglas R, Hristov Alexandra C, Lowe Lori, Patel Rajiv M, Harms Paul W, Andea Aleodor A, Bresler Scott C

机构信息

Department of Dermatology, University of Michigan, Ann Arbor, Michigan, USA.

Department of Pathology, University of Arkansas, Little Rock, Arkansas, USA.

出版信息

Histopathology. 2025 Jul;87(1):110-129. doi: 10.1111/his.15434. Epub 2025 Feb 20.

Abstract

AIMS

BAP1-inactivated melanocytic tumours (BIMTs) occur sporadically and in association with a familial tumour predisposition syndrome involving germline mutations in the BRCA1-associated protein-1 (BAP1) gene. Here we report the clinical features, histopathologic findings, and chromosomal copy number data of 19 BAP1-inactivated melanocytomas (BIMs) and compare their features to those of five BAP1-inactivated melanomas.

METHODS

We retrospectively searched the Department of Pathology archives and EMERSE (Electronic Medical Record Search Engine) for BIMTs that had undergone single-nucleotide polymorphism (SNP) microarray testing. Clinical history/follow-up data, detailed histopathologic features, and SNP microarray results were recorded.

RESULTS

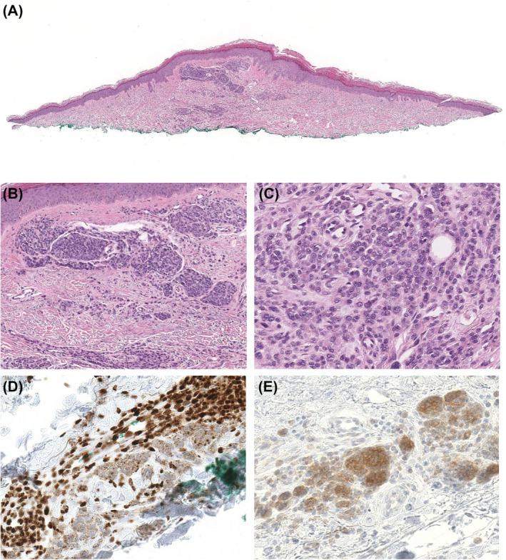
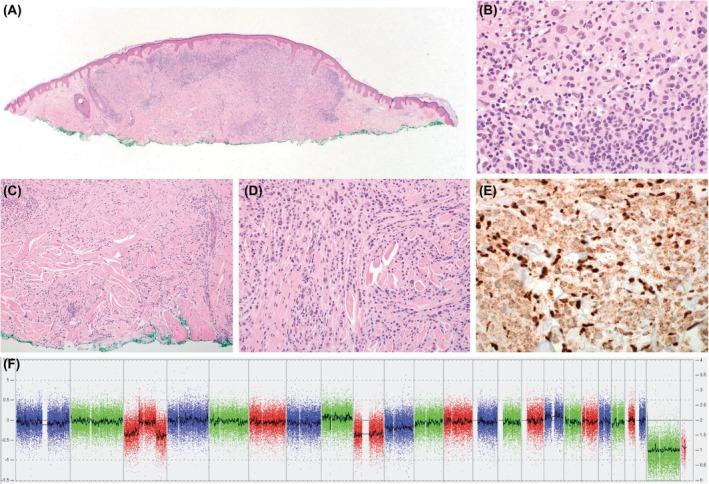
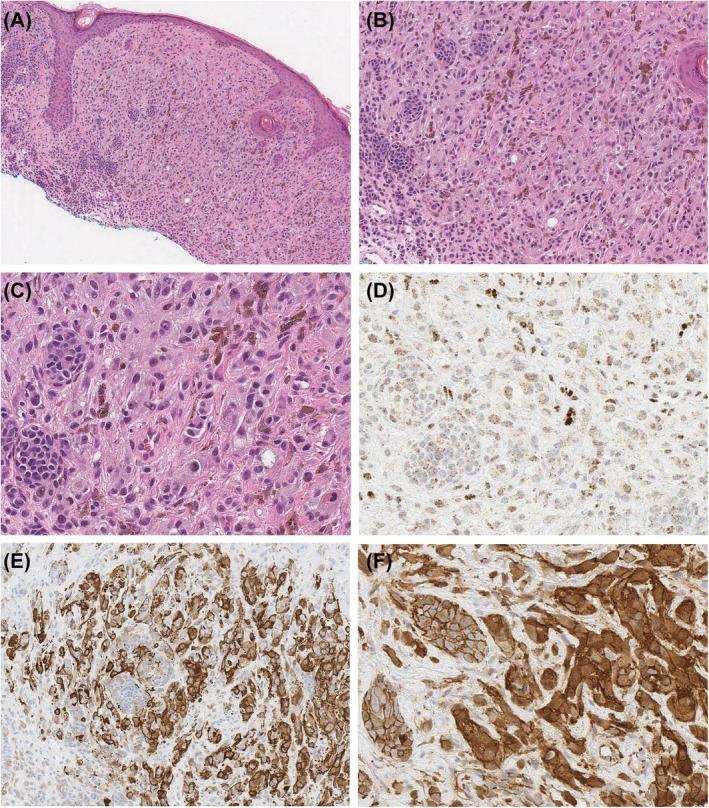
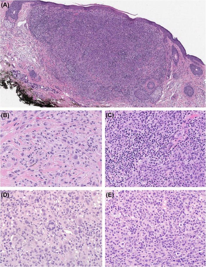
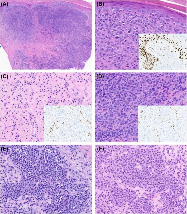
Overall, four patients (4/13) with BIMs and available clinical history had features suspicious for a germline BAP1 aberration. In BIMs (19 cases), the BAP1-inactivated component showed variable cytologic features, including epithelioid (predominant), rhabdoid, plasmacytoid, and nevoid morphologies. Sentinel lymph node biopsy was negative in all (6/6) patients in which this procedure was performed. No patient diagnosed with a BIM with available clinical follow-up (18/19; mean 38 months) experienced an adverse event. While the histologic appearances of the five melanomas varied, one case resembled a BIM. The median mitotic count was 1/mm (range 0-6 mm) in BIMs compared to 3/mm (range 1-4/mm) in melanomas (P = 0.04). The median number of copy number alterations (CNAs) was two (range 0-6) in indolent cases versus seven (range 6-10) in melanomas (P = 0.0005). The most common molecular aberration after loss of 3p21 was heterozygous loss of the CDKN2A locus, which unlike homozygous loss has not been associated with melanoma.

CONCLUSION

While most BIMs appear to have a favourable prognosis, even those with multiple CNAs, they deserve careful integration of all clinical and pathologic findings. Although not fully diagnostic, a mitotic count of ≥3/mm and ≥6 CNAs in the appropriate context is supportive of a diagnosis of BAP1-inactivated melanoma.

摘要

目的

BAP1失活的黑素细胞性肿瘤(BIMTs)可散发性发生,也可与一种涉及BRCA1相关蛋白-1(BAP1)基因种系突变的家族性肿瘤易感性综合征相关。在此,我们报告19例BAP1失活的黑素细胞瘤(BIMs)的临床特征、组织病理学发现和染色体拷贝数数据,并将其特征与5例BAP1失活的黑色素瘤的特征进行比较。

方法

我们回顾性检索了病理科档案和EMERSE(电子病历搜索引擎)中接受过单核苷酸多态性(SNP)微阵列检测的BIMTs。记录临床病史/随访数据、详细的组织病理学特征和SNP微阵列结果。

结果

总体而言,4例(4/13)有可用临床病史的BIMs患者具有种系BAP1异常的可疑特征。在BIMs(19例)中,BAP1失活成分表现出不同的细胞学特征,包括上皮样(主要)、横纹肌样、浆细胞样和痣样形态。在所有接受前哨淋巴结活检的患者(6/6)中,结果均为阴性。在有可用临床随访的BIMs患者中(18/19;平均38个月),没有患者发生不良事件。虽然5例黑色素瘤的组织学表现各不相同,但有1例类似于BIM。BIMs的有丝分裂计数中位数为1/mm(范围0 - 6/mm),而黑色素瘤为3/mm(范围1 - 4/mm)(P = 0.04)。惰性病例的拷贝数改变(CNA)中位数为2(范围0 - 6),而黑色素瘤为7(范围6 - 10)(P = 0.0005)。3p21缺失后最常见的分子异常是CDKN2A基因座的杂合缺失,与纯合缺失不同,杂合缺失与黑色素瘤无关。

结论

虽然大多数BIMs似乎预后良好,即使是那些有多个CNA的病例,但它们仍需要仔细整合所有临床和病理结果。虽然不能完全诊断,但在适当情况下,有丝分裂计数≥3/mm和≥6个CNA支持BAP1失活黑色素瘤的诊断。

https://cdn.ncbi.nlm.nih.gov/pmc/blobs/45dd/12129603/aecf3c3efe76/HIS-87-110-g001.jpg

文献AI研究员

20分钟写一篇综述,助力文献阅读效率提升50倍。

立即体验

用中文搜PubMed

大模型驱动的PubMed中文搜索引擎

马上搜索

文档翻译

学术文献翻译模型,支持多种主流文档格式。

立即体验