Suppr超能文献

一种一流的ERK1/2和ERK5选择性抑制剂通过单分子策略克服耐药性。

A first-in-class selective inhibitor of ERK1/2 and ERK5 overcomes drug resistance with a single-molecule strategy.

作者信息

Xiao Huan, Wang Aoxue, Shuai Wen, Qian Yuping, Wu Chengyong, Wang Xin, Yang Panpan, Sun Qian, Wang Guan, Ouyang Liang, Sun Qiu

机构信息

State Key Laboratory of Biotherapy and Cancer Center, Innovation Center of Nursing Research, Nursing Key Laboratory of Sichuan Province, West China Hospital, and Collaborative Innovation Center of Biotherapy, Sichuan University, Chengdu, 610041, China.

Department of Pathology, Changhai Hospital, Naval Medical University, Shanghai, 200433, China.

出版信息

Signal Transduct Target Ther. 2025 Feb 20;10(1):70. doi: 10.1038/s41392-025-02169-z.

Abstract

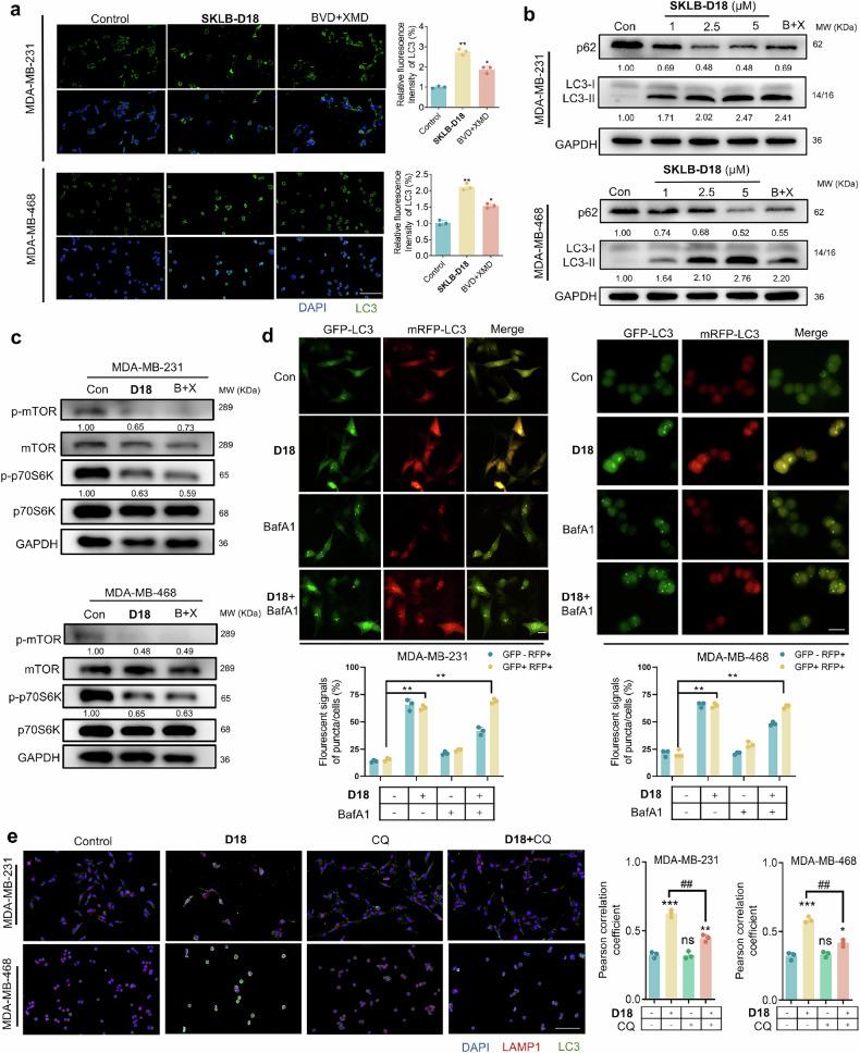
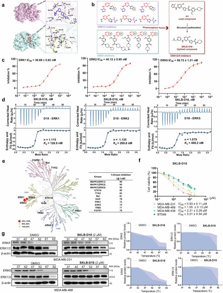
Despite significant advancements in kinase-targeted therapy, the emergence of acquired drug resistance to targets such as KRAS and MEK remains a challenge. Extracellular-regulated kinase 1/2 (ERK1/2), positioned at the terminus of this pathway, is highly conserved and less susceptible to mutations, thereby garnering attention as a crucial therapeutical target. However, attempts to use monotherapies that target ERK1/2 have achieved only limited clinical success, mainly due to the issues of limited efficacy and the emergence of drug resistance. Herein, we present a proof of concept that extracellular-regulated kinase 5 (ERK5) acts as a compensatory pathway after ERK1/2 inhibition in triple-negative breast cancer (TNBC). By utilizing the principle of polypharmacology, we computationally designed SKLB-D18, a first-in-class molecule that selectively targets ERK1/2 and ERK5, with nanomolar potency and high specificity for both targets. SKLB-D18 demonstrated excellent tolerability in mice and demonstrated superior in vivo anti-tumor efficacy, not only exceeding the existing clinical ERK1/2 inhibitor BVD-523, but also the combination regimen of BVD-523 and the ERK5 inhibitor XMD8-92. Mechanistically, we showed that SKLB-D18, as an autophagy agonist, played a role in mammalian target of rapamycin (mTOR)/70 ribosomal protein S6 kinase (p70S6K) and nuclear receptor coactivator 4 (NCOA4)-mediated ferroptosis, which may mitigate multidrug resistance.

摘要

尽管激酶靶向治疗取得了显著进展,但对KRAS和MEK等靶点产生获得性耐药性的问题仍然是一个挑战。细胞外调节激酶1/2(ERK1/2)位于该信号通路的末端,高度保守且不易发生突变,因此作为一个关键的治疗靶点受到关注。然而,使用靶向ERK1/2的单一疗法仅取得了有限的临床成功,主要是由于疗效有限和耐药性出现的问题。在此,我们提出了一个概念验证,即细胞外调节激酶5(ERK5)在三阴性乳腺癌(TNBC)中ERK1/2抑制后作为一条补偿性信号通路发挥作用。通过利用多药理学原理,我们通过计算机设计了SKLB-D18,这是一种一流的分子,可选择性靶向ERK1/2和ERK5,对这两个靶点具有纳摩尔级别的效力和高特异性。SKLB-D18在小鼠中表现出优异的耐受性,并在体内显示出卓越的抗肿瘤疗效,不仅超过了现有的临床ERK1/2抑制剂BVD-523,而且超过了BVD-523与ERK5抑制剂XMD8-92联合用药方案。从机制上讲,我们表明SKLB-D18作为一种自噬激动剂,在雷帕霉素哺乳动物靶点(mTOR)/70核糖体蛋白S6激酶(p70S6K)和核受体辅激活因子4(NCOA4)介导的铁死亡中发挥作用,这可能减轻多药耐药性。

https://cdn.ncbi.nlm.nih.gov/pmc/blobs/b5b6/11842588/2f57376b6489/41392_2025_2169_Fig1_HTML.jpg

文献AI研究员

20分钟写一篇综述,助力文献阅读效率提升50倍。

立即体验

用中文搜PubMed

大模型驱动的PubMed中文搜索引擎

马上搜索

文档翻译

学术文献翻译模型,支持多种主流文档格式。

立即体验