Suppr超能文献

新冠后肺曲菌球的治疗:一则临床病例的见解

Treatment of Post-COVID-19 Pulmonary Aspergilloma: Insights from a Clinical Case.

作者信息

Siddiqui Atif S

机构信息

Department of Pulmonary and Critical Care, Houston Methodist Hospital, Houston, TX, USA.

出版信息

Am J Case Rep. 2025 Feb 21;26:e946456. doi: 10.12659/AJCR.946456.

Abstract

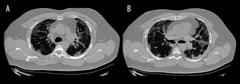
BACKGROUND This report presents the case of a 49-year-old man with pulmonary aspergilloma 6 months after hospitalization and mechanical ventilation for COVID-19 who was treated with robot-assisted lobectomy. COVID-19-associated pulmonary aspergillosis is a life-threatening complication of SARS-CoV-2 infection. Aspergilloma, a delayed complication of COVID-19, is rare. Major risk factors for pulmonary aspergilloma include neutropenia, solid organ transplantation, prolonged high-dose corticosteroid therapy, hematological malignancy, cytotoxic therapy, acquired immunodeficiency syndrome, and chronic granulomatous disease. Common symptoms include cough, shortness of breath, fatigue, wheezing, weight loss, fever, and chest pain. Hemoptysis is the most severe complication of pulmonary aspergilloma. Treatment options include antifungals, bronchial artery embolization, and surgery. Surgical treatment is considered definitive for patients who do not respond to antifungal medications. CASE REPORT We describe the case of a 49-year-old man with pulmonary aspergilloma who developed a delayed sequela of SARS-CoV-2 infection. He presented to a pulmonary clinic 6 months after a severe COVID-19-related hospitalization, with symptoms of mild hemoptysis, cough, and shortness of breath. A computed tomography scan of the chest revealed a right upper lobe cavitary lesion approximately 9.6×6.1 cm in size. Bronchoalveolar lavage during bronchoscopy revealed Aspergillus fumigatus. The patient did not respond to antifungal treatment and was successfully treated with a robotic-assisted lobectomy. CONCLUSIONS Aspergillus infection should be considered in COVID-19 survivors with pulmonary symptoms. Minimally invasive robotic lobectomy is a feasible option for high-risk patients with post-COVID-19 aspergilloma and hemoptysis who are resistant to medical treatment.

摘要

背景 本报告介绍了一名49岁男性的病例,该患者在因新冠肺炎住院并接受机械通气6个月后发生肺曲菌球,接受了机器人辅助肺叶切除术治疗。新型冠状病毒肺炎相关肺曲霉病是严重急性呼吸综合征冠状病毒2感染的一种危及生命的并发症。肺曲菌球作为新冠肺炎的一种迟发性并发症较为罕见。肺曲菌球的主要危险因素包括中性粒细胞减少、实体器官移植、长期大剂量皮质类固醇治疗、血液系统恶性肿瘤、细胞毒性治疗、获得性免疫缺陷综合征和慢性肉芽肿病。常见症状包括咳嗽、气短、乏力、喘息、体重减轻、发热和胸痛。咯血是肺曲菌球最严重的并发症。治疗选择包括抗真菌药物、支气管动脉栓塞和手术。对于对抗真菌药物无反应的患者,手术治疗被认为是确定性的治疗方法。病例报告 我们描述了一名患有肺曲菌球的49岁男性病例,这是严重急性呼吸综合征冠状病毒2感染的迟发性后遗症。他在因新冠肺炎严重住院6个月后到肺部门诊就诊,有轻度咯血、咳嗽和气短症状。胸部计算机断层扫描显示右肺上叶有空洞性病变,大小约为9.6×6.1厘米。支气管镜检查期间的支气管肺泡灌洗显示有烟曲霉。该患者对抗真菌治疗无反应,通过机器人辅助肺叶切除术成功治愈。结论 对于有肺部症状的新冠肺炎康复者应考虑曲霉菌感染。对于对药物治疗耐药的新冠肺炎后肺曲菌球合并咯血的高危患者,微创机器人肺叶切除术是一种可行的选择。

https://cdn.ncbi.nlm.nih.gov/pmc/blobs/efa8/11851346/3afcaca4d4a3/amjcaserep-26-e946456-g001.jpg

文献AI研究员

20分钟写一篇综述,助力文献阅读效率提升50倍。

立即体验

用中文搜PubMed

大模型驱动的PubMed中文搜索引擎

马上搜索

文档翻译

学术文献翻译模型,支持多种主流文档格式。

立即体验