Suppr超能文献

用于高效结肠癌免疫治疗的肠道益生菌裂解物修饰双功能纳米颗粒

Intestinal Probiotic Lysate Modified Bifunctional Nanoparticle for Efficient Colon Cancer Immunotherapy.

作者信息

Zhu Manfang, Chen Hongkui, Chen Xiaohua, Zhang Yueyang, Chen Xiayu, Zhou Bailing, Duan Xingmei, Zhou Na, Zhang Xin

机构信息

Department of Pharmacy, Personalized Drug Therapy Key Laboratory of Sichuan Province Sichuan Academy of Medical Sciences, Sichuan Provincial People's Hospital, School of Medicine, University of Electronic Science and Technology of China, Chengdu 610072, China.

School of Pharmacy, State Key Laboratory of Quality Research in Chinese Medicines, Laboratory for Drug Discovery from Natural Resources & Industrialization, Macau University of Science and Technology, Macau 999078, China.

出版信息

Pharmaceutics. 2025 Jan 21;17(2):139. doi: 10.3390/pharmaceutics17020139.

Abstract

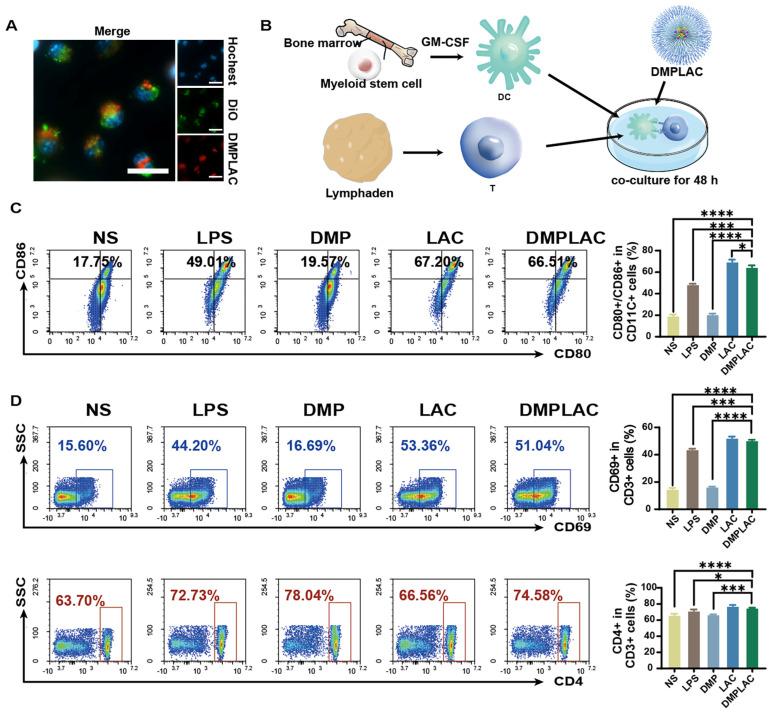
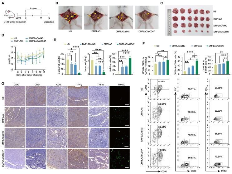
In cancer immunotherapy, gene therapy has become a promising strategy through the introduction of immunostimulatory components into its formulation. However, ideal non-viral gene delivery platforms capable of simultaneously maintaining a high delivery efficiency and immune activation are still in demand. As an intestinal probiotic, has potential correlation with cancer progression. Its unique antigenicity also confers its immunomodulatory activity. We engineered a new non-viral siRNA delivery system, DMPLAC. By wrapping the lysate of , it is expected to enhance the anti-cancer immunostimulatory properties. Supported by certain internalization pathways, the prepared DMPLAC nanoparticles showed high siRNA delivery efficiency in vitro (up to 97.62%). They also strongly promoted the maturation and activation of immune cells, including dendritic and T cells, both in vitro and in vivo. By loading siRNA targeting the immune checkpoint CD47 gene, the DMPLAC/siCD47 complex strongly suppressed the growth of multiple colon cancer models through local administration with high safety. Our study developed a novel intestinal probiotic lysate-based gene delivery system with dual immunomodulatory abilities, suggesting a potential strategy for cancer immunotherapy.

摘要

在癌症免疫治疗中,基因治疗通过在其制剂中引入免疫刺激成分已成为一种有前景的策略。然而,仍需要能够同时保持高递送效率和免疫激活的理想非病毒基因递送平台。作为一种肠道益生菌,与癌症进展存在潜在关联。其独特的抗原性也赋予了它免疫调节活性。我们设计了一种新的非病毒小干扰RNA(siRNA)递送系统DMPLAC。通过包裹[具体益生菌名称]的裂解物,有望增强其抗癌免疫刺激特性。在某些内化途径的支持下,制备的DMPLAC纳米颗粒在体外显示出高siRNA递送效率(高达97.62%)。它们在体外和体内也强烈促进了免疫细胞(包括树突状细胞和T细胞)的成熟和激活。通过负载靶向免疫检查点CD47基因的siRNA,DMPLAC/siCD47复合物通过局部给药以高安全性强烈抑制了多种结肠癌模型的生长。我们的研究开发了一种具有双重免疫调节能力的新型基于肠道益生菌裂解物的基因递送系统,为癌症免疫治疗提出了一种潜在策略。

https://cdn.ncbi.nlm.nih.gov/pmc/blobs/dd31/11859493/43ece29765d9/pharmaceutics-17-00139-g001.jpg

文献AI研究员

20分钟写一篇综述,助力文献阅读效率提升50倍。

立即体验

用中文搜PubMed

大模型驱动的PubMed中文搜索引擎

马上搜索

文档翻译

学术文献翻译模型,支持多种主流文档格式。

立即体验