Suppr超能文献

长链非编码RNA-MIR181A1HG作为一种癌基因,促进胃癌的侵袭和转移。

Long non-coding RNA-MIR181A1HG acts as an oncogene and contributes to invasion and metastasis in gastric cancer.

作者信息

Zhang Jieming, Wei Xiangyang, Xie Yanci, Peng Siyang, Yang Ping, Chen Yidong, Huang Xiaodong, Wu Jieke, Hong Linjie, Guo Zheng, Huang Xiaoting, Lin Zhizhao, Zhi Fachao, Liu Side, Xiang Li, Lin Jianjiao, Li Aimin, Wang Jide

机构信息

Guangdong Provincial Key Laboratory of Gastroenterology, Department of Gastroenterology, Nanfang Hospital, Southern Medical University, Guangzhou, 510515, China.

Department of Hematology and Oncology, International Cancer Center, Shenzhen Key Laboratory, Hematology Institution of Shenzhen University, Shenzhen University General Hospital, Shenzhen University Health Science Center, Shenzhen University, Shenzhen, 518000, China.

出版信息

Oncogene. 2025 Jun;44(20):1517-1529. doi: 10.1038/s41388-025-03323-1. Epub 2025 Mar 5.

Abstract

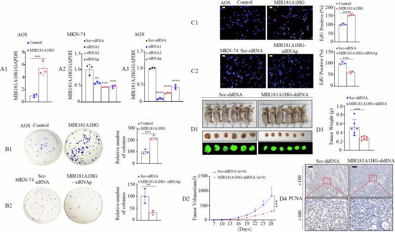
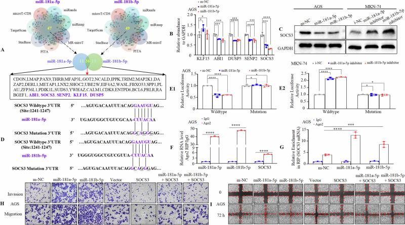
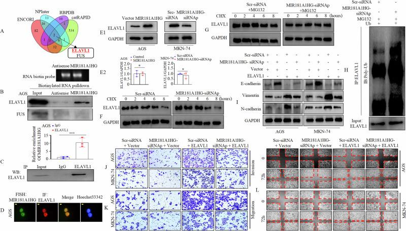
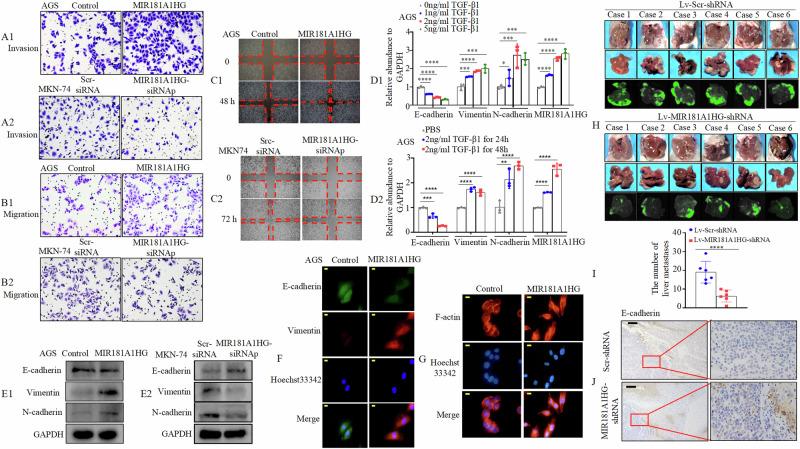
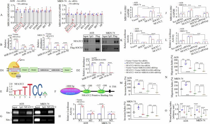
Dysregulation of long non-coding RNAs (lncRNA) plays an essential role in cancer development and progression. However, their functions and mechanisms of action in gastric cancer (GC) remain largely unknown. Gene expression in GC was evaluated using quantitative real-time PCR, western blotting, immunofluorescence, immunohistochemistry, and RNA in situ hybridization. The impact of MIR181A1HG on GC cells was explored in vitro and in vivo using cell proliferation, migration, invasion assays and animal models. Biotinylated RNA pull-down, RNA immunoprecipitation, co-immunoprecipitation, chromatin immunoprecipitation, and luciferase reporter assays were performed to evaluate the molecular interactions. LncRNA-MIR181A1HG was upregulated in GC and associated with malignant progression. MIR181A1HG physically interacts with ELAVL1 to regulate epithelial-mesenchymal transition (EMT) in GC cells. MIR181A1HG intron-derived miR-181a-5p/miR-181b-5p triggers MIR181A1HG transcription through binding to and destabilizing SOCS3 messenger RNA. Specifically, SOCS3 interacts with NFATC2 and downregulated SOCS3 enhances the NFATC2-mediated transcriptional activation of the MIR181A1HG promoter. Collectively, MIR181A1HG, activated by miR-181a-5p/miR-181b-5p-SOCS3-NFATC2 positive feedback loop, contributes to GC progression through stabilizing ELAVL1. MIR181A1HG expression correlates positively with ELAVL1, miR-181a-5p, miR-181b-5p, and NFATC2 and negatively with SOCS3 in fresh GC samples. These data demonstrate that MIR181A1HG plays an important role in tumor progression by promoting invasion, metastasis, and EMT, indicating its potential as a prognostic biomarker in GC.

摘要

长链非编码RNA(lncRNA)的失调在癌症的发生和发展中起着至关重要的作用。然而,它们在胃癌(GC)中的功能和作用机制仍 largely未知。使用定量实时PCR、蛋白质印迹、免疫荧光、免疫组织化学和RNA原位杂交评估GC中的基因表达。使用细胞增殖、迁移、侵袭试验和动物模型在体外和体内探索MIR181A1HG对GC细胞的影响。进行生物素化RNA下拉、RNA免疫沉淀、免疫共沉淀、染色质免疫沉淀和荧光素酶报告基因试验以评估分子相互作用。lncRNA-MIR181A1HG在GC中上调并与恶性进展相关。MIR181A1HG与ELAVL1发生物理相互作用以调节GC细胞中的上皮-间质转化(EMT)。MIR181A1HG内含子衍生的miR-181a-5p/miR-181b-5p通过与SOCS3信使RNA结合并使其不稳定来触发MIR181A1HG转录。具体而言,SOCS3与NFATC2相互作用,下调的SOCS3增强NFATC2介导的MIR181A1HG启动子的转录激活。总的来说,由miR-181a-5p/miR-181b-5p-SOCS3-NFATC2正反馈环激活的MIR181A1HG通过稳定ELAVL1促进GC进展。在新鲜的GC样本中,MIR181A1HG表达与ELAVL1、miR-181a-5p、miR-181b-5p和NFATC2呈正相关,与SOCS3呈负相关。这些数据表明MIR181A1HG通过促进侵袭、转移和EMT在肿瘤进展中起重要作用,表明其作为GC预后生物标志物的潜力。

https://cdn.ncbi.nlm.nih.gov/pmc/blobs/3e54/12075001/65d042c5c4f2/41388_2025_3323_Fig1_HTML.jpg

文献AI研究员

20分钟写一篇综述,助力文献阅读效率提升50倍。

立即体验

用中文搜PubMed

大模型驱动的PubMed中文搜索引擎

马上搜索

文档翻译

学术文献翻译模型,支持多种主流文档格式。

立即体验