Suppr超能文献

用于治疗胶质母细胞瘤患者瘤周水肿的抗分泌因子。

Antisecretory factor for treatment of peritumoral edema in glioblastoma patients.

作者信息

Carstam Louise, Vecchio Tomás Gómez, Lyczak Monika, Åberg Hanna, Jakola Asgeir S, Jennische Eva, Lange Stefan, Gatzinsky Kliment

机构信息

Department of Neurosurgery, Sahlgrenska University Hospital, 41345, Gothenburg, Sweden.

Department of Clinical Neuroscience, Institute of Neuroscience and Physiology, Sahlgrenska Academy, University of Gothenburg, 405 30, Gothenburg, Sweden.

出版信息

Acta Neurochir (Wien). 2025 Mar 8;167(1):64. doi: 10.1007/s00701-025-06481-z.

Abstract

PURPOSE

Glioblastoma (GBM) is an aggressive brain tumor often accompanied by a vasogenic peritumoral edema, which contributes to symptoms both at diagnosis and during later stages of the disease. Previous studies have suggested effectiveness of the endogenous protein, Antisecretory Factor (AF), in reducing the intracranial pressure in cytotoxic brain edema after trauma. Interestingly, AF also seems to carry antineoplastic effects in experimental GBM models. This study investigated whether AF reduces peritumoral edema in GBM patients. As a secondary aim, we assessed potential effects on tumor progression by AF.

METHODS

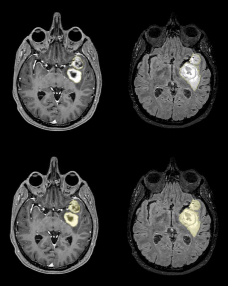
Fifteen newly diagnosed GBM patients were treated for 7 days preoperatively with AF in addition to standard of care (SOC) treatment with corticosteroids. The change in edema volume was assessed volumetrically using T2/FLAIR weighted MRI and compared to a control group of 10 GBM patients receiving SOC only.

RESULTS

At baseline the mean tumor volume for the entire cohort was 35.7 cm3 with a mean edema of 62.2 cm3. There was no significant difference in edema volume change between the AF treated patients, who demonstrated a mean edema reduction of 7.1cm3 (95%CI -5.4-19.6), and the controls, 11.3cm3 (95%CI -0.8-23.5), p = 0.61. No difference was observed in tumor volume change between the two groups, p = 0.79. No adverse treatment effects were noted.

CONCLUSION

Treatment with AF in addition to SOC does not seem to reduce the peritumoral edema in GBM patients. The treatment was well tolerated. The lack of edema-reducing effect may be related to the different pathophysiological properties of vasogenic and cytotoxic edema.

摘要

目的

胶质母细胞瘤(GBM)是一种侵袭性脑肿瘤,常伴有血管源性瘤周水肿,这在疾病诊断时和后期都会导致症状出现。先前的研究表明,内源性蛋白抗分泌因子(AF)在减轻创伤后细胞毒性脑水肿的颅内压方面具有有效性。有趣的是,AF在实验性GBM模型中似乎也具有抗肿瘤作用。本研究调查了AF是否能减轻GBM患者的瘤周水肿。作为次要目的,我们评估了AF对肿瘤进展的潜在影响。

方法

15例新诊断的GBM患者在术前除接受皮质类固醇标准治疗(SOC)外,还接受了7天的AF治疗。使用T2/FLAIR加权MRI对水肿体积变化进行体积评估,并与仅接受SOC治疗的10例GBM患者对照组进行比较。

结果

在基线时,整个队列的平均肿瘤体积为35.7 cm³,平均水肿体积为62.2 cm³。接受AF治疗的患者平均水肿减少7.1 cm³(95%CI -5.4 - 19.6),与对照组平均水肿减少11.3 cm³(95%CI -0.8 - 23.5)相比,水肿体积变化无显著差异,p = 0.61。两组间肿瘤体积变化无差异,p = 0.79。未观察到不良治疗效果。

结论

除SOC外使用AF治疗似乎并不能减轻GBM患者的瘤周水肿。该治疗耐受性良好。缺乏减轻水肿的效果可能与血管源性水肿和细胞毒性水肿不同的病理生理特性有关。

https://cdn.ncbi.nlm.nih.gov/pmc/blobs/6aad/11890341/fb6e111d1a8c/701_2025_6481_Fig1_HTML.jpg

文献AI研究员

20分钟写一篇综述,助力文献阅读效率提升50倍。

立即体验

用中文搜PubMed

大模型驱动的PubMed中文搜索引擎

马上搜索

文档翻译

学术文献翻译模型,支持多种主流文档格式。

立即体验