Suppr超能文献

极光激酶A和Bcl-xL的双重靶向协同重塑免疫微环境并诱导乳腺癌细胞凋亡。

Dual Targeting of Aurora-A and Bcl-xL Synergistically Reshapes the Immune Microenvironment and Induces Apoptosis in Breast Cancer.

作者信息

Liu Mingxue, Guo Jing, Liu Weiyong, Yang Zhenye, Yu Fazhi

机构信息

Department of Ultrasound, the First Affiliated Hospital of USTC, Division of Life Sciences and Medicine, University of Science and Technology of China, Hefei, China.

Key Laboratory of Immune Response and Immunotherapy, School of Basic Medical Sciences, Division of Life Sciences and Medicine, University of Science and Technology of China, Hefei, China.

出版信息

Cancer Sci. 2025 Jul;116(7):1823-1835. doi: 10.1111/cas.70072. Epub 2025 Mar 30.

Abstract

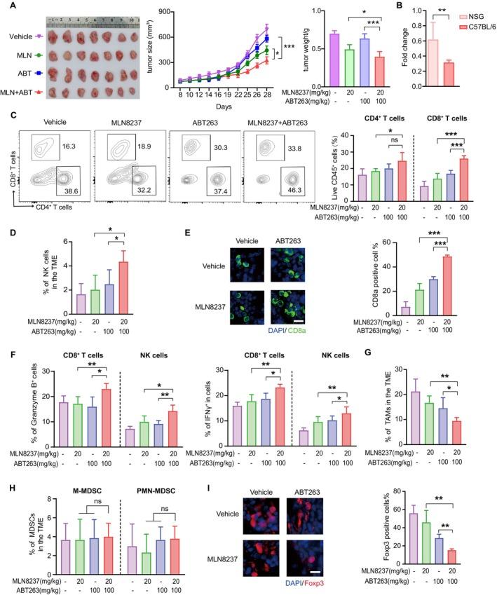
The Aurora-A kinase inhibitor MLN8237 has shown efficacy in clinical trials for advanced breast cancer; however, its use as a monotherapy is limited by significant side effects and modest efficacy. Therefore, combining MLN8237 with other agents at lower doses may provide a viable alternative. In this study, we evaluated the combination of MLN8237 with the BH3 mimetic ABT263 for the treatment of triple-negative breast cancer (TNBC). We found that this combination significantly suppressed tumor growth and metastasis in immunocompetent syngeneic mouse models, whereas its efficacy was attenuated in immunodeficient xenograft models. Mechanistic studies revealed that the combination enhanced anti-tumor immunity by increasing the presence of CD8 T cells and NK cells, while reducing the number of immunosuppressive cells in the tumor microenvironment. This shift resulted in elevated levels of IFN-γ and granzyme B, which activated the extrinsic apoptotic pathways in cancer cells. Notably, the combination treatment did not affect tumor cell proliferation but promoted apoptosis with minimal toxicity. Furthermore, the synergistic effect of MLN8237 and ABT263 in inducing intrinsic apoptosis was primarily driven by the inhibition of the AKT-Mcl-1 and Bcl-xL survival pathways in cultured tumor cells. Together, these findings support the MLN8237-ABT263 combination as an effective treatment strategy for TNBC, promoting both immune-mediated extrinsic apoptosis and inactivation of Bcl-xL/Mcl-1-dependent intrinsic anti-apoptotic pathways.

摘要

极光激酶A抑制剂MLN8237在晚期乳腺癌的临床试验中已显示出疗效;然而,其作为单一疗法的应用受到显著副作用和疗效一般的限制。因此,将MLN8237与其他药物以较低剂量联合使用可能提供一种可行的替代方案。在本研究中,我们评估了MLN8237与BH3模拟物ABT263联合用于治疗三阴性乳腺癌(TNBC)的效果。我们发现,在具有免疫活性的同基因小鼠模型中,这种联合显著抑制了肿瘤生长和转移,而在免疫缺陷的异种移植模型中其疗效减弱。机制研究表明,该联合通过增加CD8 T细胞和NK细胞的数量,同时减少肿瘤微环境中免疫抑制细胞的数量来增强抗肿瘤免疫力。这种转变导致IFN-γ和颗粒酶B水平升高,从而激活癌细胞的外源性凋亡途径。值得注意的是,联合治疗不影响肿瘤细胞增殖,但以最小的毒性促进细胞凋亡。此外,MLN8237和ABT263在诱导内源性凋亡方面的协同作用主要是由培养的肿瘤细胞中AKT-Mcl-1和Bcl-xL生存途径的抑制所驱动。总之,这些发现支持MLN8237-ABT263联合作为TNBC的一种有效治疗策略,促进免疫介导的外源性凋亡以及Bcl-xL/Mcl-1依赖性内源性抗凋亡途径的失活。

https://cdn.ncbi.nlm.nih.gov/pmc/blobs/5d70/12210044/defde51272f6/CAS-116-1823-g003.jpg

文献AI研究员

20分钟写一篇综述,助力文献阅读效率提升50倍。

立即体验

用中文搜PubMed

大模型驱动的PubMed中文搜索引擎

马上搜索

文档翻译

学术文献翻译模型,支持多种主流文档格式。

立即体验