Suppr超能文献

单细胞测序揭示了一个与膀胱癌进展和免疫抑制微环境相关的高ESM1表达内皮细胞亚群。

Single-cell sequencing uncovers a high ESM1-expression endothelial cell subpopulation associated with bladder cancer progression and the immunosuppressive microenvironment.

作者信息

Qiu Yifeng, Wang Yuhan, Liu Jiahe, Liu Baohua, Sun Kai, Hou Qi

机构信息

Guangdong Key Laboratory for Biomedical Measurements and Ultrasound Imaging, National-Regional Key Technology Engineering Laboratory for Medical Ultrasound, School of Biomedical Engineering, Shenzhen University Medical school, Shenzhen, 518060, China.

Department of Urology, Shenzhen University General Hospital, Shenzhen University, Shenzhen, Guangdong, China.

出版信息

Sci Rep. 2025 Mar 30;15(1):10946. doi: 10.1038/s41598-025-95731-2.

Abstract

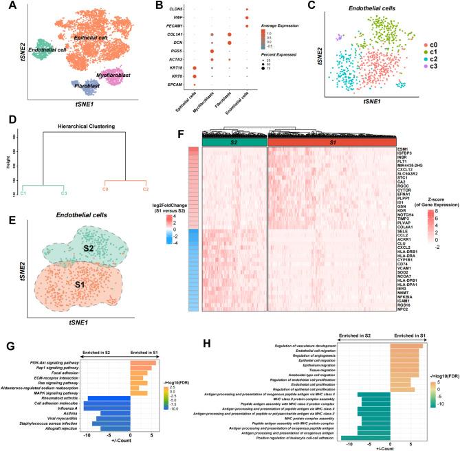
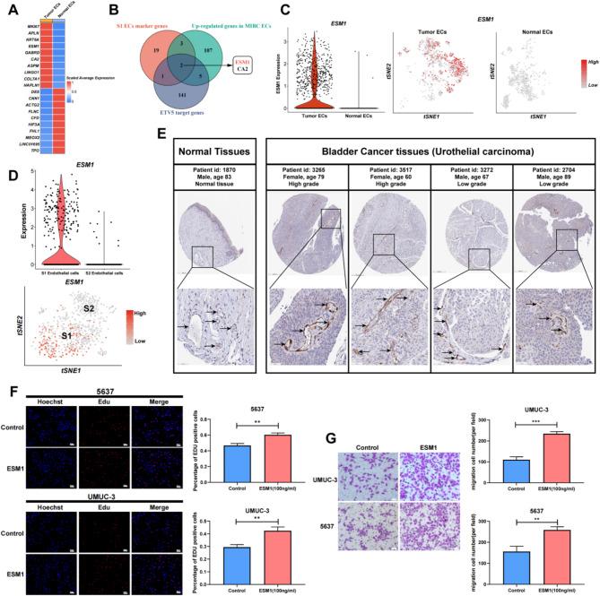
Despite remarkable advancements in therapeutic strategies, a considerable proportion of patients with bladder cancer (BC) still experience disease progression and unfavorable prognosis. The heterogeneity and biological functions of tumor endothelial cells (ECs) during BC progression remain poorly understood. We collected scRNA-seq data from BC samples and identified two EC subpopulations through hierarchical clustering analysis. The activity of signaling pathways in distinct EC subpopulations was assessed utilizing AUCell analysis. Gene regulatory networks (GRN) were constructed and analyzed for different EC subpopulations using the pySCENIC algorithm. Additionally, we investigated the association between the abundance of EC subpopulations and both clinical prognosis and immune cell infiltration. The biological effects of ESM1 protein on BC cells were further validated through EdU and Transwell assays. We analyzed 7,519 CD45-negative single cells from BC tissues and discerned two distinct EC subpopulations. The two subpopulations were characterized by high expression of ESM1 (S1 ECs) and CXCL2 (S2 ECs), respectively. In S1 ECs, we observed significant activation of signaling pathways involved in tumor promotion, including angiogenesis and cell proliferation. Additionally, our GRN analysis uncovered notable differences in transcription factor activity between S1 and S2 ECs. Moreover, ESM1 protein promoted proliferation and migration of BC cells. Patients with higher abundance of the S1 EC subpopulation exhibited more unfavorable clinical outcomes and increased infiltration of inhibitory immune cells. Our findings elucidate the transcriptional profiles and biological roles of the high ESM1-expression endothelial cell subpopulation in BC. This subpopulation is associated with poor prognosis and immunosuppressive tumor microenvironment. Accordingly, targeting endothelial cells with high ESM1 expression may offer a novel therapeutic strategy for patients with BC.

摘要

尽管治疗策略取得了显著进展,但相当一部分膀胱癌(BC)患者仍经历疾病进展和不良预后。BC进展过程中肿瘤内皮细胞(ECs)的异质性和生物学功能仍知之甚少。我们从BC样本中收集了scRNA-seq数据,并通过层次聚类分析确定了两个EC亚群。利用AUCell分析评估不同EC亚群中信号通路的活性。使用pySCENIC算法构建并分析了不同EC亚群的基因调控网络(GRN)。此外,我们研究了EC亚群丰度与临床预后和免疫细胞浸润之间的关联。通过EdU和Transwell试验进一步验证了ESM1蛋白对BC细胞的生物学作用。我们分析了来自BC组织的7519个CD45阴性单细胞,识别出两个不同的EC亚群。这两个亚群分别以ESM1(S1 ECs)和CXCL2(S2 ECs)的高表达为特征。在S1 ECs中,我们观察到参与肿瘤促进的信号通路显著激活,包括血管生成和细胞增殖。此外,我们的GRN分析发现S1和S2 ECs之间转录因子活性存在显著差异。此外,ESM1蛋白促进了BC细胞的增殖和迁移。S1 EC亚群丰度较高的患者表现出更差的临床结局和抑制性免疫细胞浸润增加。我们的研究结果阐明了BC中高ESM1表达内皮细胞亚群的转录谱和生物学作用。该亚群与预后不良和免疫抑制性肿瘤微环境相关。因此,靶向高ESM1表达的内皮细胞可能为BC患者提供一种新的治疗策略。

https://cdn.ncbi.nlm.nih.gov/pmc/blobs/697b/11955522/26e9ca9ed80b/41598_2025_95731_Fig1_HTML.jpg

文献AI研究员

20分钟写一篇综述,助力文献阅读效率提升50倍。

立即体验

用中文搜PubMed

大模型驱动的PubMed中文搜索引擎

马上搜索

文档翻译

学术文献翻译模型,支持多种主流文档格式。

立即体验