Suppr超能文献

转录抑制因子Bach2通过调节自我更新来维持B-1细胞群体。

The transcription repressor Bach2 is required for maintaining the B-1 cell population by regulating self-renewal.

作者信息

Oh Seung-Gen, Noh Jeonghyun, Jang Eunkyeong, Youn Jeehee

机构信息

Department of Biomedical Science, Graduate School of Biomedical Science and Engineering, Hanyang University, Seoul, Republic of Korea.

Laboratory of Autoimmunology, Department of Anatomy and Cell Biology, College of Medicine, Hanyang University, Seoul, Republic of Korea.

出版信息

Front Immunol. 2025 Mar 18;16:1553089. doi: 10.3389/fimmu.2025.1553089. eCollection 2025.

Abstract

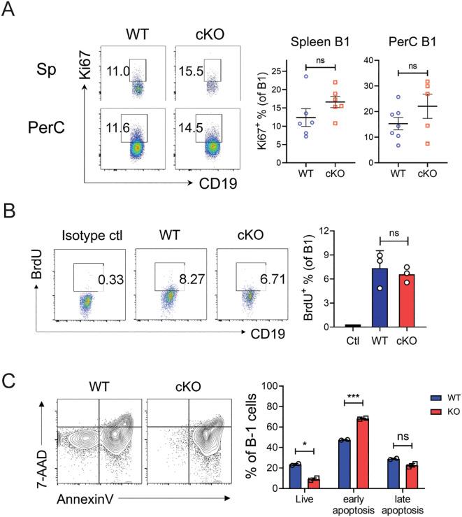
B-1 cells are a distinct lineage of tissue-resident B cells with crucial roles in innate immunity and tissue homeostasis. Mature B-1 cell pools are mostly maintained by self-renewal in their peripheral niches, in a process that is largely uncharacterized. Here, we investigated the role of the transcription repressor Bach2 in maintaining the B-1 cell pool. We found that B-1 cell numbers and antibody responses were dramatically reduced in adult mice bearing a B cell-specific deletion, although the proportions of B-1 progenitors in early neonatal life were unaffected. Cells taken from the fetal liver or bone marrow of -deleted mice were defective in reconstituting the B-1 cell pool in the peritonea of hosts, and peritoneal B-1 cell transplants from adult -deleted mice failed to sustain their numbers in the host's peritoneum. The mutant B-1 cells proliferated normally but were more apoptotic. They also expressed the reduced level of the self-renewal factor Bmi1. These results indicate that Bach2 deficiency does not affect the development of B-1 progenitors in fetal liver and bone marrow but impairs the self-renewal of mature B-1 cells in peripheral tissues, which is caused by increased apoptosis. Thus, this study suggests that a cell-autonomous function of Bach2 is crucial for maintaining a stable population size of B-1 cells in their peripheral niches.

摘要

B-1细胞是一类独特的组织驻留B细胞谱系,在固有免疫和组织稳态中发挥关键作用。成熟B-1细胞库主要通过其外周微环境中的自我更新来维持,而这一过程在很大程度上尚不明确。在此,我们研究了转录抑制因子Bach2在维持B-1细胞库中的作用。我们发现,在B细胞特异性缺失的成年小鼠中,B-1细胞数量和抗体反应显著降低,尽管新生儿早期B-1祖细胞的比例未受影响。从缺失小鼠的胎肝或骨髓中获取的细胞在重建受体腹膜中的B-1细胞库时存在缺陷,并且成年缺失小鼠的腹膜B-1细胞移植在受体腹膜中无法维持其数量。突变的B-1细胞正常增殖,但凋亡增加。它们还表达了较低水平的自我更新因子Bmi1。这些结果表明,Bach2缺陷并不影响胎肝和骨髓中B-1祖细胞的发育,但会损害外周组织中成熟B-1细胞的自我更新,这是由凋亡增加所致。因此,本研究表明Bach2的细胞自主功能对于维持外周微环境中B-1细胞的稳定群体大小至关重要。

https://cdn.ncbi.nlm.nih.gov/pmc/blobs/5572/11958198/e3241efbc541/fimmu-16-1553089-g001.jpg

文献AI研究员

20分钟写一篇综述,助力文献阅读效率提升50倍。

立即体验

用中文搜PubMed

大模型驱动的PubMed中文搜索引擎

马上搜索

文档翻译

学术文献翻译模型,支持多种主流文档格式。

立即体验