Suppr超能文献

ZEB1和ITIH2对透明质酸网络的重塑增强了癌细胞的运动性和侵袭性。

Hyaluronan network remodeling by ZEB1 and ITIH2 enhances the motility and invasiveness of cancer cells.

作者信息

Lee Sieun, Park Jihye, Cho Seongran, Kim Eun Ju, Oh Seonyeong, Lee Younseo, Park Sungsoo, Kang Keunsoo, Shin Dong Hoon, Ko Song Yi, Kurie Jonathan M, Ahn Young-Ho

机构信息

Department of Molecular Medicine and Inflammation-Cancer Microenvironment Research Center, College of Medicine, Ewha Womans University, Seoul, South Korea.

Deargen Inc., Daejeon, South Korea.

出版信息

J Clin Invest. 2025 Apr 3;135(11). doi: 10.1172/JCI180570. eCollection 2025 Jun 2.

Abstract

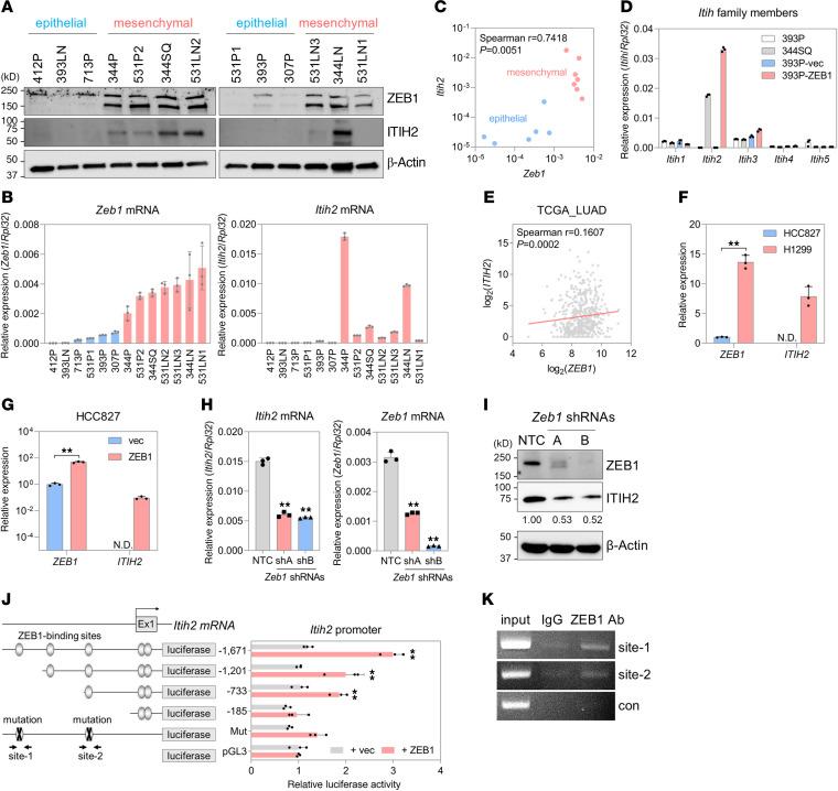
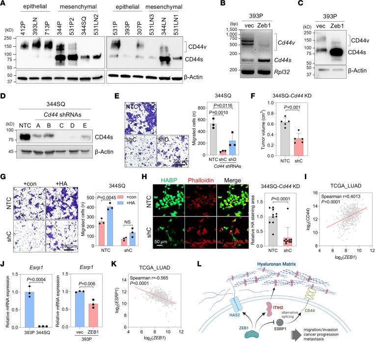
Hyaluronan (HA) in the extracellular matrix promotes epithelial-mesenchymal transition (EMT) and metastasis; however, the mechanism by which the HA network constructed by cancer cells regulates cancer progression and metastasis in the tumor microenvironment (TME) remains largely unknown. In this study, inter-α-trypsin inhibitor heavy chain 2 (ITIH2), an HA-binding protein, was confirmed to be secreted from mesenchymal-like lung cancer cells when cocultured with cancer-associated fibroblasts. ITIH2 expression is transcriptionally upregulated by the EMT-inducing transcription factor ZEB1, along with HA synthase 2 (HAS2), which positively correlates with ZEB1 expression. Depletion of ITIH2 and HAS2 reduced HA matrix formation and the migration and invasion of lung cancer cells. Furthermore, ZEB1 facilitates alternative splicing and isoform expression of CD44, an HA receptor, and CD44 knockdown suppresses the motility and invasiveness of lung cancer cells. Using a deep learning-based drug-target interaction algorithm, we identified an ITIH2 inhibitor (sincalide) that inhibited HA matrix formation and migration of lung cancer cells, preventing metastatic colonization of lung cancer cells in mouse models. These findings suggest that ZEB1 remodels the HA network in the TME through the regulation of ITIH2, HAS2, and CD44, presenting a strategy for targeting this network to suppress lung cancer progression.

摘要

细胞外基质中的透明质酸(HA)可促进上皮-间质转化(EMT)和转移;然而,癌细胞构建的HA网络在肿瘤微环境(TME)中调节癌症进展和转移的机制仍 largely未知。在本研究中,α-胰蛋白酶抑制剂重链2(ITIH2)是一种HA结合蛋白,在与癌症相关成纤维细胞共培养时,被证实是由间充质样肺癌细胞分泌的。ITIH2表达受EMT诱导转录因子ZEB1转录上调,同时还有HA合酶2(HAS2),其与ZEB1表达呈正相关。ITIH2和HAS2的缺失减少了HA基质形成以及肺癌细胞的迁移和侵袭。此外,ZEB1促进HA受体CD44的可变剪接和异构体表达,而CD44敲低可抑制肺癌细胞的运动性和侵袭性。使用基于深度学习的药物-靶点相互作用算法,我们鉴定出一种ITIH2抑制剂(辛卡利特),它可抑制HA基质形成和肺癌细胞迁移,防止肺癌细胞在小鼠模型中发生转移定植。这些发现表明,ZEB1通过调节ITIH2、HAS2和CD44重塑TME中的HA网络,为靶向该网络以抑制肺癌进展提供了一种策略。

https://cdn.ncbi.nlm.nih.gov/pmc/blobs/c457/12126249/a9c4a99ecb4d/jci-135-180570-g057.jpg

文献AI研究员

20分钟写一篇综述,助力文献阅读效率提升50倍。

立即体验

用中文搜PubMed

大模型驱动的PubMed中文搜索引擎

马上搜索

文档翻译

学术文献翻译模型,支持多种主流文档格式。

立即体验