Suppr超能文献

载脂蛋白B分泌受损会触发载脂蛋白E分泌增加,以维持肝癌细胞中的甘油三酯稳态。

Impaired ApoB secretion triggers enhanced secretion of ApoE to maintain triglyceride homeostasis in hepatoma cells.

作者信息

Shinozaki Kotomi, Honda Tomoko, Yamaji Kenzaburo, Nishijima Emi, Ichi Ikuyo, Yamane Daisuke

机构信息

Department of Diseases and Infection, Tokyo Metropolitan Institute of Medical Science, Tokyo, Japan; Department of Nutrition and Food Science, Ochanomizu University, Tokyo, Japan.

Department of Diseases and Infection, Tokyo Metropolitan Institute of Medical Science, Tokyo, Japan.

出版信息

J Lipid Res. 2025 May;66(5):100795. doi: 10.1016/j.jlr.2025.100795. Epub 2025 Apr 1.

Abstract

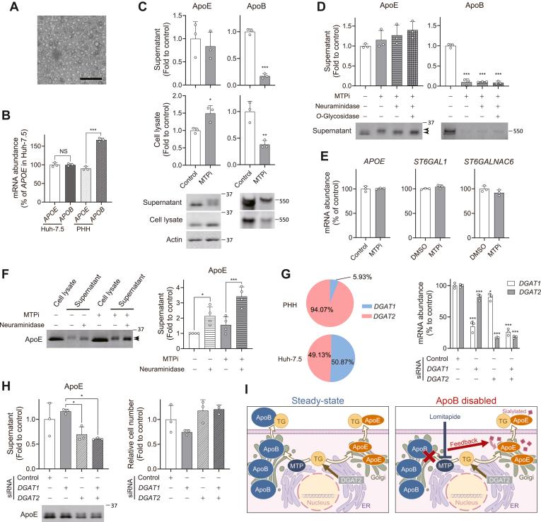
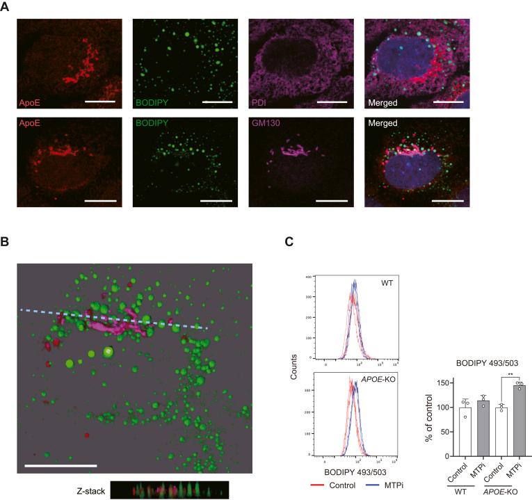
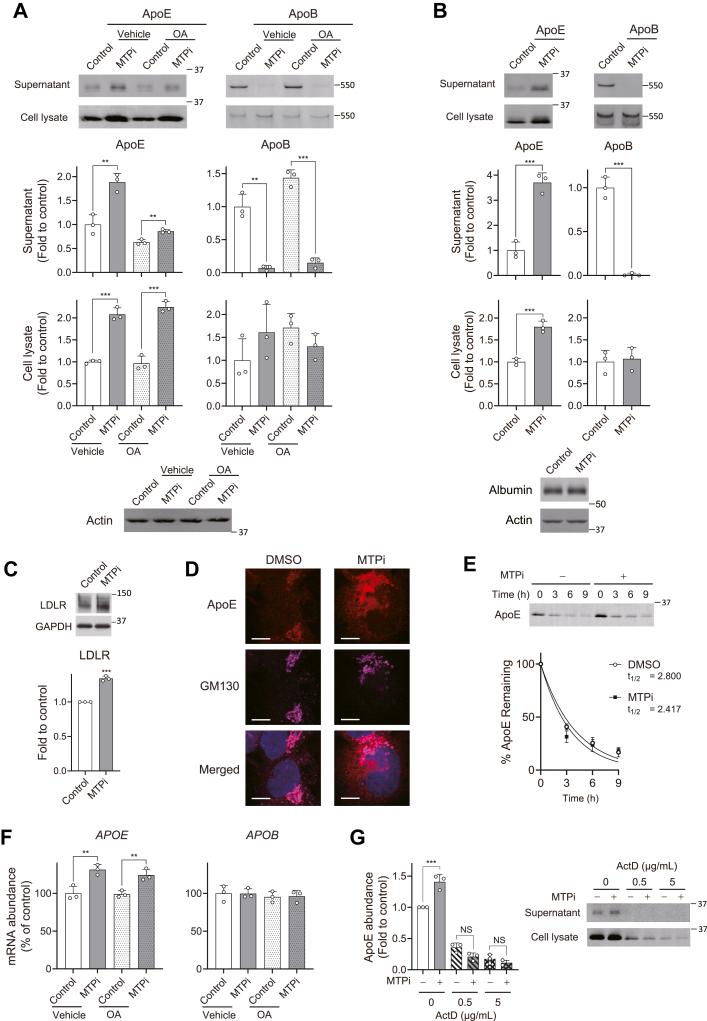
Apolipoprotein B (ApoB) is essential for the assembly and secretion of triglyceride (TG)-rich VLDL particles, and its dysfunction is linked to metabolic disorders, including dyslipidemia and liver steatosis. However, less attention has been paid to whether and how other apolipoproteins play redundant or compensatory roles when the ApoB function is compromised. Here, we investigated the effects of microsomal triglyceride transfer protein (MTP), which mediates lipidation of nascent ApoB, on ApoE function. We observed a paradoxical increase in ApoE secretion resulting from increased expression in MTP inhibitor (MTPi)-treated human hepatoma cells. This phenotype was recapitulated in APOB-knockout cells and was associated with impaired ApoB secretion. While MTP-dependent transfer of neutral lipids is dispensable for ApoE secretion, TG biosynthesis, redundantly catalyzed by DGAT1 and DGAT2, is required for efficient ApoE secretion in hepatoma cells. ApoE colocalizes with lipid droplets near the Golgi apparatus and mediates TG export in an ApoB-independent fashion. We found that simultaneous inhibition of both ApoE and ApoB, but not inhibition of either alone, led to TG accumulation in hepatoma cells, indicating that both proteins function redundantly to control TG content. Validation studies in primary human hepatocytes (PHHs) demonstrated DGAT2-dependent secretion of ApoE. While MTPi treatment did not elevate ApoE secretion, it induced increased sialylation of ApoE in the supernatants of PHHs. These results show that enhanced ApoE secretion compensates for the impaired ApoB function to maintain the lipid homeostasis, providing an alternative route to modulate lipid turnover in hepatoma cells.

摘要

载脂蛋白B(ApoB)对于富含甘油三酯(TG)的极低密度脂蛋白(VLDL)颗粒的组装和分泌至关重要,其功能障碍与包括血脂异常和肝脂肪变性在内的代谢紊乱有关。然而,当ApoB功能受损时,其他载脂蛋白是否以及如何发挥冗余或补偿作用却较少受到关注。在这里,我们研究了介导新生ApoB脂化的微粒体甘油三酯转移蛋白(MTP)对ApoE功能的影响。我们观察到,在MTP抑制剂(MTPi)处理的人肝癌细胞中,由于ApoE表达增加,导致ApoE分泌出现矛盾性增加。这种表型在APOB基因敲除细胞中得以重现,并且与ApoB分泌受损有关。虽然中性脂质的MTP依赖性转运对于ApoE分泌并非必需,但由二酰甘油酰基转移酶1(DGAT1)和二酰甘油酰基转移酶2(DGAT2)冗余催化的TG生物合成是肝癌细胞中有效分泌ApoE所必需的。ApoE与高尔基体附近的脂滴共定位,并以不依赖ApoB的方式介导TG输出。我们发现,同时抑制ApoE和ApoB,而不是单独抑制其中任何一个,会导致肝癌细胞中TG积累,这表明这两种蛋白在控制TG含量方面发挥冗余功能。在原代人肝细胞(PHH)中的验证研究表明,ApoE的分泌依赖于DGAT2。虽然MTPi处理并未提高ApoE分泌,但它诱导了PHH上清液中ApoE的唾液酸化增加。这些结果表明,增强的ApoE分泌可补偿受损的ApoB功能,以维持脂质稳态,为调节肝癌细胞中的脂质周转提供了一条替代途径。

https://cdn.ncbi.nlm.nih.gov/pmc/blobs/1e26/12147227/a139713e1a8d/ga1.jpg

文献AI研究员

20分钟写一篇综述,助力文献阅读效率提升50倍。

立即体验

用中文搜PubMed

大模型驱动的PubMed中文搜索引擎

马上搜索

文档翻译

学术文献翻译模型,支持多种主流文档格式。

立即体验