Suppr超能文献

信号转导与转录激活因子3/转化生长因子β诱导蛋白(STAT3/TGFBI)信号通路通过诱导细胞衰老上调糖酵解,从而促进胶质母细胞瘤对替莫唑胺的耐药性。

STAT3/TGFBI signaling promotes the temozolomide resistance of glioblastoma through upregulating glycolysis by inducing cellular senescence.

作者信息

Zhang Yanbin, Xiao Xiaohua, Yang Ge, Jiang Xiaobing, Jiao Shujie, Nie Yingli, Zhang Tao

机构信息

Department of Neurosurgery, Union Hospital, Tongji Medical College, Huazhong University of Science and Technology, Wuhan, 430022, China.

Department of Neurosurgery, People's Hospital of Dongxihu District, Wuhan, Hubei, 430040, China.

出版信息

Cancer Cell Int. 2025 Apr 3;25(1):127. doi: 10.1186/s12935-025-03770-6.

Abstract

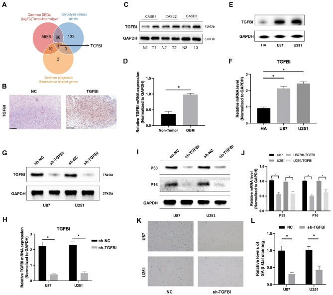
Glioblastoma (GBM) is the most lethal type of brain tumor. Recent studies have indicated that cellular senescence-targeted therapy is a promising approach for cancer treatment. However, the underlying mechanisms remain to be clarified. In this study, 101 unique combinations of 10 machine learning algorithms were used to construct prognostic models based on cellular senescence-related genes (CSRGs). We developed the CSRG signature (CSRGS) using machine learning models that exhibited optimal performance. GBM samples were stratified into high- and low-CSRGS groups based on CSRGS scores. Patients in the high-CSRGS group exhibited a worse prognosis, higher immune infiltration, and increased sensitivity to immune checkpoint blockade therapy. Furthermore, senescence-related pathways were significantly correlated with glycolysis, indicating upregulated glycolytic metabolism in senescent GBM cells. We identified TGFBI as a key regulator that played vital roles in both glycolysis and cellular senescence in GBM. TGFBI was overexpressed in GBM samples compared to normal brain tissues, and its knockdown via shRNA inhibited cellular senescence, glycolysis, and temozolomide resistance. Chromatin immunoprecipitation (ChIP) and luciferase reporter assays confirmed that TGFBI is a direct STAT3 target and is required for the STAT3-induced promotion of cellular senescence, glycolysis, and drug resistance. The STAT3-TGFBI axis could be a potential target for senescence-targeted GBM therapy.

摘要

胶质母细胞瘤(GBM)是最致命的脑肿瘤类型。最近的研究表明,针对细胞衰老的治疗是一种有前景的癌症治疗方法。然而,其潜在机制仍有待阐明。在本研究中,使用10种机器学习算法的101种独特组合,基于细胞衰老相关基因(CSRG)构建预后模型。我们使用表现出最佳性能的机器学习模型开发了CSRG特征(CSRGS)。根据CSRGS评分,将GBM样本分为高CSRGS组和低CSRGS组。高CSRGS组的患者预后较差,免疫浸润较高,对免疫检查点阻断治疗的敏感性增加。此外,衰老相关途径与糖酵解显著相关,表明衰老的GBM细胞中糖酵解代谢上调。我们确定TGFBI是一个关键调节因子,在GBM的糖酵解和细胞衰老中都起着至关重要的作用。与正常脑组织相比,TGFBI在GBM样本中过表达,通过shRNA敲低它可抑制细胞衰老、糖酵解和替莫唑胺耐药性。染色质免疫沉淀(ChIP)和荧光素酶报告基因检测证实,TGFBI是STAT3的直接靶点,是STAT3诱导的细胞衰老、糖酵解和耐药性促进所必需的。STAT3-TGFBI轴可能是针对衰老的GBM治疗的潜在靶点。

https://cdn.ncbi.nlm.nih.gov/pmc/blobs/5762/11967127/c5978095bd8c/12935_2025_3770_Fig1_HTML.jpg

文献AI研究员

20分钟写一篇综述,助力文献阅读效率提升50倍。

立即体验

用中文搜PubMed

大模型驱动的PubMed中文搜索引擎

马上搜索

文档翻译

学术文献翻译模型,支持多种主流文档格式。

立即体验