Suppr超能文献

开始血液透析患者冠状动脉钙化的危险因素及初步预测模型

Risk factors for and a preliminary prediction model of coronary artery calcification in patients beginning hemodialysis.

作者信息

Xiong Hao, Sun Cuifang, Song Jie, Yu Yan, Wang Chang, Yuan Fang

机构信息

Department of Nephrology, The Second Xiangya Hospital of Central South University, Changsha, Hunan Province, China.

出版信息

Eur J Med Res. 2025 Apr 7;30(1):252. doi: 10.1186/s40001-025-02523-5.

Abstract

BACKGROUND AND HYPOTHESIS

Vascular calcification (VC) is an important risk factor for cardiovascular events in patients undergoing maintenance hemodialysis (MHD); however, there is limited data on VC-related factors in patients beginning hemodialysis. Thus, this study aimed to determine the risk factors of VC and to establish a prediction model for evaluating VC progression in new patients undergoing hemodialysis.

METHODS

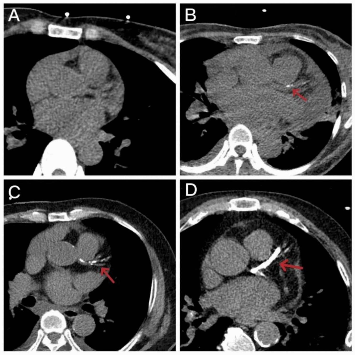
This study selected 86 patients who initiated in-center MHD between March 2021 and November 2022. Demographic characteristics, medical history, and laboratory data were collected. Coronary artery calcification (CAC) was assessed based on the Agatston vascular score determined via computed tomography. Serum levels of the VC inhibitors fetuin-A was quantified via enzyme-linked immunosorbent assays. Univariate and multivariate regression analyses were conducted to determine the risk factors for VC, and a neural network-based approach was adopted to construct a VC prediction model.

RESULTS

The average age of the patients was 56.74 ± 12.79 years, and 65.1% were male. CAC was observed in 72.09% of patients. Age, body mass index, diabetes, the comorbidity index, and the number of coronary artery branches with calcification were positively correlated with the CAC score, whereas plasma fetuin-A levels was negatively correlated. The multivariate logistic regression analysis revealed that age [odds ratio (OR) 1.07, 95%CI 1.00-1.14], the comorbidity index [OR 1.72, 95%CI 1.16-2.57], diabetes [OR 3.97, 95%CI 1.16-13.58] were independent risk factors for CAC; these factors were used to establish a simple scoring model to predict VC risk.

CONCLUSION

Age, the comorbidity index, diabetes were identified as independent risk factors for CAC in patients beginning hemodialysis, and the new VC prediction model based on these factors may help identify VC in patients undergoing MHD, facilitating clinical interventions.

摘要

背景与假设

血管钙化(VC)是维持性血液透析(MHD)患者发生心血管事件的重要危险因素;然而,关于开始血液透析患者中与VC相关因素的数据有限。因此,本研究旨在确定VC的危险因素,并建立一个评估新的血液透析患者VC进展的预测模型。

方法

本研究选取了2021年3月至2022年11月期间开始进行中心MHD的86例患者。收集了人口统计学特征、病史和实验室数据。基于通过计算机断层扫描确定的阿加斯顿血管评分评估冠状动脉钙化(CAC)。通过酶联免疫吸附测定法定量血清中VC抑制剂胎球蛋白-A的水平。进行单因素和多因素回归分析以确定VC的危险因素,并采用基于神经网络的方法构建VC预测模型。

结果

患者的平均年龄为56.74±12.79岁,男性占65.1%。72.09%的患者观察到CAC。年龄、体重指数、糖尿病、合并症指数和有钙化的冠状动脉分支数量与CAC评分呈正相关,而血浆胎球蛋白-A水平呈负相关。多因素逻辑回归分析显示,年龄[比值比(OR)1.07,95%置信区间1.00-1.14]、合并症指数[OR 1.72,95%置信区间1.16-2.57]、糖尿病[OR 3.97,95%置信区间1.16-13.58]是CAC的独立危险因素;这些因素被用于建立一个简单的评分模型来预测VC风险。

结论

年龄、合并症指数、糖尿病被确定为开始血液透析患者CAC的独立危险因素,基于这些因素的新的VC预测模型可能有助于识别MHD患者中的VC,促进临床干预。

https://cdn.ncbi.nlm.nih.gov/pmc/blobs/1e6b/11974132/d15bfe21d01b/40001_2025_2523_Fig1_HTML.jpg

文献AI研究员

20分钟写一篇综述,助力文献阅读效率提升50倍。

立即体验

用中文搜PubMed

大模型驱动的PubMed中文搜索引擎

马上搜索

文档翻译

学术文献翻译模型,支持多种主流文档格式。

立即体验