Suppr超能文献

肺线粒体DNA的氧化损伤是化学性肺损伤发生发展的关键因素。

Oxidative damage to lung mitochondrial DNA is a key contributor to the development of chemical lung injury.

作者信息

Dubey Shubham, Yu Zhihong, Stephens Emily Morgan, Lazrak Ahmed, Ahmad Israr, Aggarwal Saurabh, Andrabi Shaida, Hossain M Iqbal, Jilling Tamas, Fernandez Solana R, Bartels Jennifer L, Lapi Suzanne E, Mobley James A, Pastukh Viktor M, Gillespie Mark N, Matalon Sadis

机构信息

Department of Anesthesiology and Perioperative Medicine, USA.

Department of Pharmacology and Toxicology, USA.

出版信息

Redox Biol. 2025 May;82:103624. doi: 10.1016/j.redox.2025.103624. Epub 2025 Mar 29.

Abstract

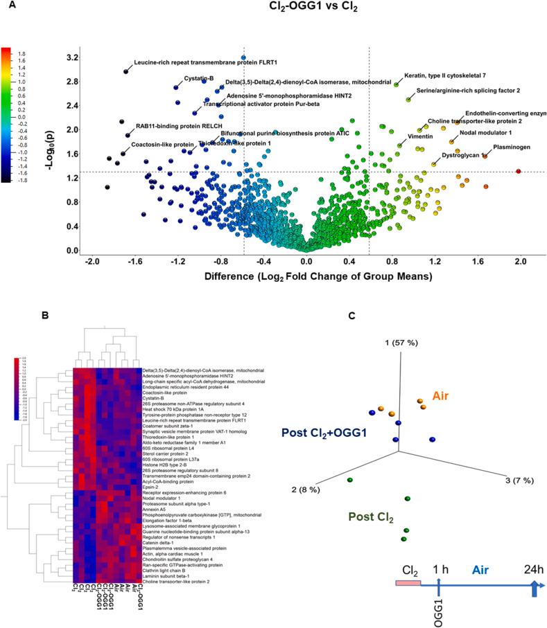
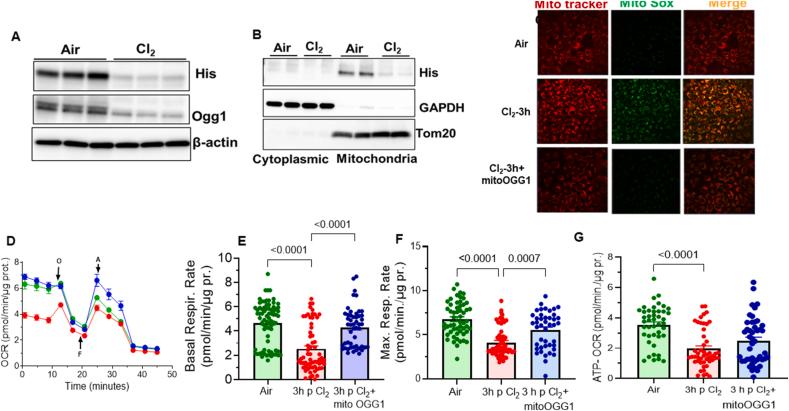
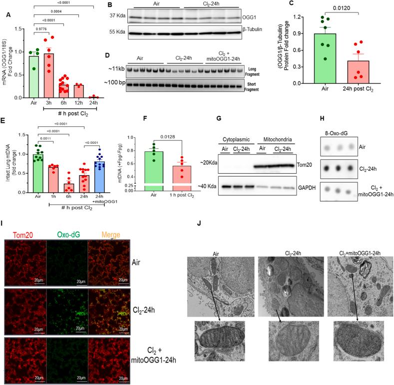
Humans exposed to chlorine (Cl) due to industrial accidents or acts of terrorism may develop lung injury culminating to Acute Respiratory Distress syndrome and death from respiratory failure. Early molecular targets of inhaled oxidant gases suitable for pharmacologic modulation have not been established. Because the mitochondrial genome is highly sensitive to oxidant stress, we tested the hypothesis that mice exposure to Cl gas causes oxidative damage to the mitochondrial DNA (mtDNA) that triggers the development of acute and chronic lung injury. Cl gas-exposed C57BL/6 mice and returned to room air, developed progressive loss of lung DNA glycosylase OGG1, followed by oxidative mtDNA damage. This resulted in activation of inflammatory pathways by circulating DNA, progressive increased airway resistance, alveolar injury and acute pulmonary edema due to loss of epithelial amiloride-sensitive sodium channels. Mice not succumbing acutely displayed a delayed syndrome of progressive increase in airway resistance and emphysematous-like changes in lung morphology. Global proteomics of lungs harvested 24 h post Cl exposure revealed alterations in over 1500 lung proteins, including 14 key mitochondrial proteins. Intranasal instillation of a recombinant protein targeting OGG1 to mitochondria (mitoOGG1) at 1 h post exposure decreased oxidized lung mtDNA, alterations to the lung and mitochondrial proteomes, severity of the acute and delayed lung injury and increased survival. These data show that injury to the mt-genome is a key contributor to the development of acute and chronic lung injury after Cl gas exposure and point to mtDNA oxidation as a target for pharmacologic intervention.

摘要

因工业事故或恐怖主义行为而接触氯气(Cl)的人可能会发生肺损伤,最终发展为急性呼吸窘迫综合征并因呼吸衰竭而死亡。目前尚未确定适合进行药物调节的吸入性氧化气体的早期分子靶点。由于线粒体基因组对氧化应激高度敏感,我们测试了以下假设:小鼠接触Cl气体会导致线粒体DNA(mtDNA)发生氧化损伤,从而引发急性和慢性肺损伤的发展。暴露于Cl气的C57BL/6小鼠返回室内空气后,肺DNA糖基化酶OGG1逐渐丧失,随后发生mtDNA氧化损伤。这导致循环DNA激活炎症途径,气道阻力逐渐增加,由于上皮阿米洛利敏感钠通道丧失而导致肺泡损伤和急性肺水肿。未急性死亡的小鼠表现出气道阻力逐渐增加和肺形态呈肺气肿样改变的延迟综合征。Cl暴露后24小时采集的肺组织的全蛋白质组学分析显示,超过1500种肺蛋白发生改变,其中包括14种关键的线粒体蛋白。暴露后1小时经鼻滴注靶向OGG1至线粒体的重组蛋白(mitoOGG1)可减少肺mtDNA氧化、肺和线粒体蛋白质组的改变、急性和延迟性肺损伤的严重程度并提高生存率。这些数据表明,mt基因组损伤是Cl气暴露后急性和慢性肺损伤发展的关键因素,并指出mtDNA氧化是药物干预的靶点。

https://cdn.ncbi.nlm.nih.gov/pmc/blobs/8ed4/12013491/28a0a0161895/ga1.jpg

文献AI研究员

20分钟写一篇综述,助力文献阅读效率提升50倍。

立即体验

用中文搜PubMed

大模型驱动的PubMed中文搜索引擎

马上搜索

文档翻译

学术文献翻译模型,支持多种主流文档格式。

立即体验