Suppr超能文献

酷似乳房植入物相关鳞状细胞癌的乳腺化生性癌:一项具有挑战性的鉴别诊断。

Metaplastic carcinoma of the breast mimicking breast implant-associated squamous cell carcinoma: a challenging differential diagnosis.

作者信息

Rogges E, Petrino M M, Firmani G, Sorotos M, Santanelli di Pompeo F, Di Napoli A

机构信息

Pathology Unit, Department of Clinical and Molecular Medicine, Sant'Andrea University Hospital, Sapienza University of Rome, Italy.

PhD School in Translational Medicine and Oncology, Department of Medical and Surgical Sciences and Translational Medicine, Faculty of Medicine and Psychology, Sapienza University of Rome, Rome, Italy.

出版信息

Case Reports Plast Surg Hand Surg. 2025 Apr 12;12(1):2486239. doi: 10.1080/23320885.2025.2486239. eCollection 2025.

Abstract

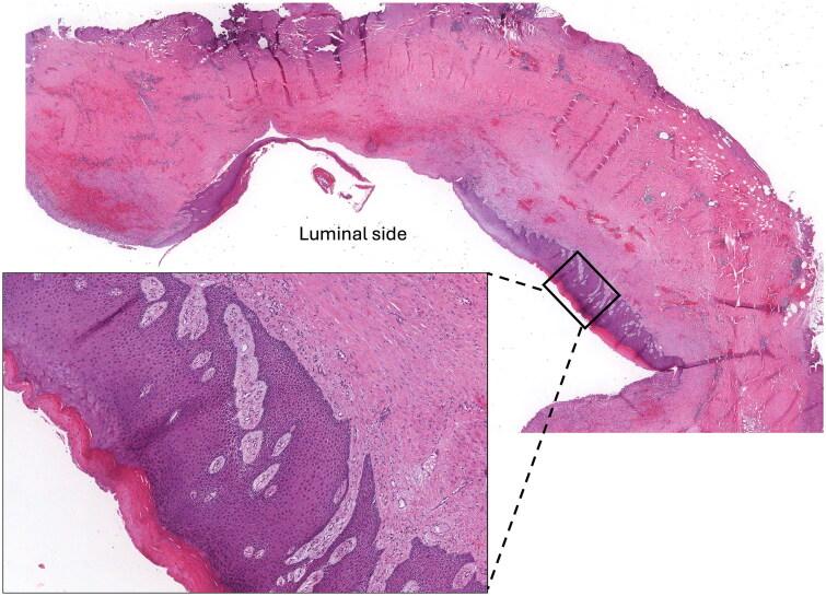
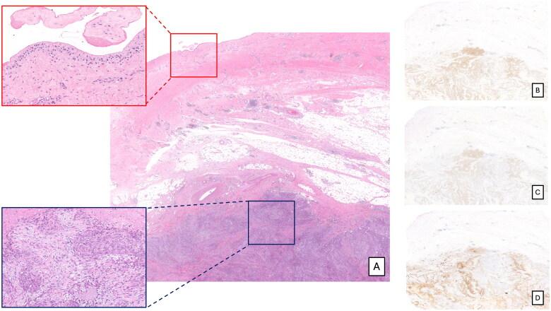
Metaplastic carcinoma of the breast (MBC) is an uncommon disease that accounts for 0.2-1% of all invasive breast carcinomas, comprising a heterogeneous group of diseases characterized by differentiation of the neoplastic epithelium to squamous cells and/or mesenchymal-looking elements. Breast implant-associated squamous cell carcinoma (BIA-SCC) is a rare complication of breast implantation, with 22 cases reported in the literature. Due to the histological overlap between MBC and BIA-SCC, the differential diagnosis may be challenging, especially in patients with an advanced cancer-bearing breast implant, in which assessing the tumor's primary site may be difficult. The limited amount of scientific data on BIA-SCC implies the absence of a standardized diagnostic method and of a specific staging system to guide patients' clinical management. Of the 22 BIA-SCC cases reported in the literature, 14 (64%) had squamous metaplasia of the inner surface of the capsule, whereas in 10 (45%), there was a histologically proven spread to the extracapsular tissues without a detailed description of the capsule infiltration. Herein, we describe the case of a peri-implant tumor mass with squamous histology in a patient treated with mastectomy and implant-based breast reconstruction for a microinvasive breast carcinoma, in which the absence of squamous metaplasia of the capsule and of its neoplastic infiltration favored a diagnosis of MBC likely originating from the peri-implant tissue. This case suggests that in patients with peri-implant cancers with squamous differentiation, the extension of the tumor throughout the capsule thickness and the presence of squamous metaplasia of the capsule are critical factors that should be considered in the differential diagnosis between BIA-SCC and MBC. In addition, even in cases with capsule-confined tumors, the depth of the capsular involvement can be used to stage the disease, similar to what is currently recommended for BIA-ALCL.

摘要

乳腺化生性癌(MBC)是一种罕见疾病,占所有浸润性乳腺癌的0.2%-1%,是一组异质性疾病,其特征为肿瘤上皮细胞分化为鳞状细胞和/或间叶样成分。乳房植入物相关鳞状细胞癌(BIA-SCC)是乳房植入的一种罕见并发症,文献中报道了22例。由于MBC和BIA-SCC在组织学上存在重叠,鉴别诊断可能具有挑战性,尤其是在患有晚期带癌乳房植入物的患者中,评估肿瘤的原发部位可能很困难。关于BIA-SCC的科学数据有限,这意味着缺乏标准化的诊断方法和特定的分期系统来指导患者的临床管理。在文献报道的22例BIA-SCC病例中,14例(64%)囊内表面有鳞状化生,而10例(45%)有组织学证实的囊外组织扩散,但未详细描述囊浸润情况。在此,我们描述了一例接受保乳手术和植入物乳房重建治疗微浸润性乳腺癌的患者,其植入物周围肿瘤肿块具有鳞状组织学特征,其中囊无鳞状化生及其肿瘤浸润有利于诊断可能起源于植入物周围组织的MBC。该病例表明,在患有植入物周围鳞状分化癌的患者中,肿瘤在整个囊厚度的扩展以及囊的鳞状化生是鉴别诊断BIA-SCC和MBC时应考虑的关键因素。此外,即使在肿瘤局限于囊内的病例中,囊受累的深度也可用于疾病分期,这与目前对BIA-ALCL的建议类似。

https://cdn.ncbi.nlm.nih.gov/pmc/blobs/1530/11995762/74b5526abc6e/ICRP_A_2486239_F0001_C.jpg

文献AI研究员

20分钟写一篇综述,助力文献阅读效率提升50倍。

立即体验

用中文搜PubMed

大模型驱动的PubMed中文搜索引擎

马上搜索

文档翻译

学术文献翻译模型,支持多种主流文档格式。

立即体验