Suppr超能文献

男性患者的乳房植入物相关鳞状细胞癌:一例报告并复习医学文献

Breast implant-associated squamous cell carcinoma in a male patient: A case report and review of the medical literature.

作者信息

Xia Zihuan, Han Bing, Wang Lei, Ning Guansen, Guo Zongke, Zhang Jue, Yu Bing, Chen Ming, Zhang Wanxing, Wang Ke, Ma Xiaojun

机构信息

Department of Plastic Surgery, Nanjing Tongren Hospital, Southeast University, Nanjing, China.

Department of Plastic Surgery, Zhongda Hospital, Southeast University, Nanjing, China.

出版信息

Front Surg. 2023 Jan 10;9:983611. doi: 10.3389/fsurg.2022.983611. eCollection 2022.

Abstract

BACKGROUND

Primary squamous cell carcinoma (SCC) of the breast is a rare tumor type. The diagnosis of this tumor type is more frequently made only after microscopy evaluation. Breast implant-associated SCC is rarer with medical literature review indicating only 18 cases reported in female individuals.

CASE PRESENTATION

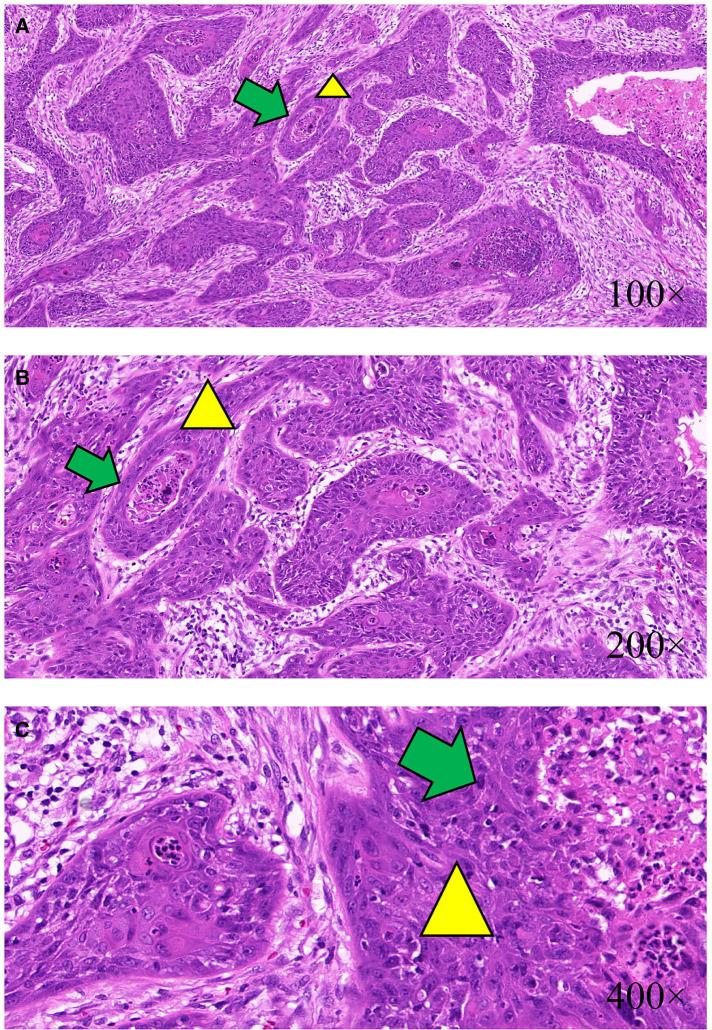
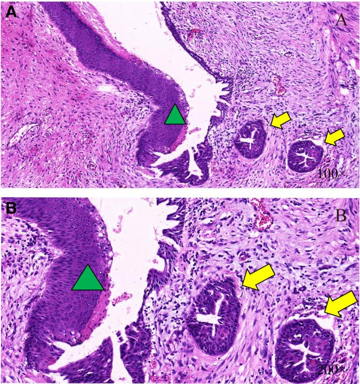
We reported an unusual case that a man found a 3-cm sized mass on his left breast at first, who had a implant surgery 18 years previously to reconstruct the deformed left breast, as related to the Poland's syndrome. More than 1 year after the mass was detected, the size of the mass gradually increased to 20 cm with swelling and severe pain, and the patient was admitted to our hospital. The patient underwent surgical excision of the tumor, followed by removal of the implant, complete capsulectomy, and sentinel lymph node biopsy. The microscopy evaluation demonstrated the tumor as moderately and poorly differentiated invasive SCC. Follow-up at 12 months after showed multiple metastases, including the skin of the chest, axillary lymph nodes and pleura.

CONCLUSION

Breast implant-associated SCC can occur in male patients. Therefore, it should be considered when the clinical manifestation or histopathological appearance is not typical of other breast neoplasms. Malignant transformation of normal epithelial cells takes about 18 years, after which rapid evolution follows leading to fast growth of the tumor.

摘要

背景

原发性乳腺鳞状细胞癌(SCC)是一种罕见的肿瘤类型。这种肿瘤类型通常仅在显微镜评估后才能更频繁地做出诊断。乳腺植入物相关的SCC更为罕见,医学文献综述表明女性个体中仅报告了18例。

病例介绍

我们报告了一例不寻常的病例,一名男性最初在其左乳发现一个3厘米大小的肿块,该患者18年前因波兰综合征接受了植入手术以重建畸形的左乳。肿块被发现1年多后,其大小逐渐增加到20厘米,伴有肿胀和剧痛,患者被收治入院。患者接受了肿瘤的手术切除,随后取出植入物、进行了完整的包膜切除术和前哨淋巴结活检。显微镜评估显示肿瘤为中分化和低分化浸润性SCC。术后12个月随访显示出现多处转移,包括胸部皮肤、腋窝淋巴结和胸膜。

结论

乳腺植入物相关的SCC可发生于男性患者。因此,当临床表现或组织病理学表现不符合其他乳腺肿瘤的典型特征时,应考虑到这种情况。正常上皮细胞的恶性转化大约需要18年,之后会迅速发展,导致肿瘤快速生长。

https://cdn.ncbi.nlm.nih.gov/pmc/blobs/be10/9871623/5466672b413a/fsurg-09-983611-g001.jpg

文献AI研究员

20分钟写一篇综述,助力文献阅读效率提升50倍。

立即体验

用中文搜PubMed

大模型驱动的PubMed中文搜索引擎

马上搜索

文档翻译

学术文献翻译模型,支持多种主流文档格式。

立即体验