Suppr超能文献

雄性和雌性盐敏感性高血压(SS)大鼠盐敏感性高血压发展过程中的钾补充与耗竭

Potassium supplementation and depletion during development of salt-sensitive hypertension in male and female SS rats.

作者信息

Zietara Adrian, Dissanayake Lashodya V, Lowe Melissa, Xu Biyang, Levchenko Vladislav, Kain Vasundhara, Halade Ganesh V, Klemens Christine A, Palygin Oleg, Staruschenko Alexander

机构信息

Department of Molecular Pharmacology and Physiology.

Department of Internal Medicine, and.

出版信息

JCI Insight. 2025 Apr 15;10(10). doi: 10.1172/jci.insight.181778. eCollection 2025 May 22.

Abstract

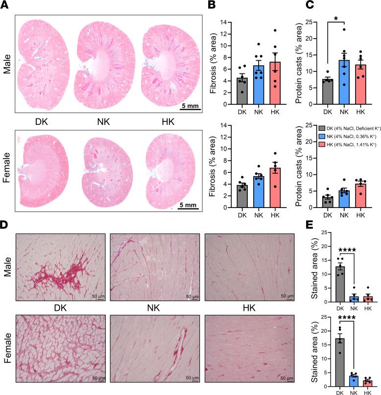
The dietary sodium/potassium ratio is positively correlated with blood pressure, and understanding this relationship is crucial for improving hypertension treatment. Moreover, few studies have examined these effects in both sexes. In this study, we aimed to investigate how supplementing (1.41% K+; HK) or depleting (DK) dietary potassium affects the development of salt-sensitive (SS) hypertension in male and female Dahl SS rats. Potassium supplementation attenuated blood pressure during 5 weeks of high-salt (4% NaCl) diet in male but not in female rats. In contrast, a potassium-deficient diet prevented the development of salt-induced hypertension in both sexes, though this effect is unlikely to be protective. Both males and females on the DK diet were hypokalemic and had diminished heart rates and reduced weight gain; furthermore, females experienced high mortality. RNA-Seq of kidney cortical tissue revealed a number of genes that may underlie the sex-specific differences in phenotype. Male rats supplemented with potassium exhibited a decreased number and size of WNK4 puncta, whereas in potassium-supplemented females, there was no difference in puncta count and there was an increase in puncta size. Our data indicate there are sex-dependent differences in response to dietary potassium in hypertension and that the distal nephron compensates for severe potassium deficiency.

摘要

饮食中钠/钾比值与血压呈正相关,了解这种关系对于改善高血压治疗至关重要。此外,很少有研究在两性中都考察过这些影响。在本研究中,我们旨在探究补充(1.41% K+;HK)或耗尽(DK)饮食中的钾对雄性和雌性 Dahl 盐敏感(SS)大鼠盐敏感性(SS)高血压发展的影响。在高盐(4% NaCl)饮食的 5 周期间,补充钾可使雄性大鼠的血压降低,但对雌性大鼠无效。相反,低钾饮食可预防两性盐诱导的高血压发展,不过这种作用不太可能具有保护作用。DK 饮食组的雄性和雌性大鼠均出现低钾血症,心率降低且体重增加减少;此外,雌性大鼠的死亡率较高。肾皮质组织的 RNA 测序揭示了一些可能是表型性别特异性差异基础的基因。补充钾的雄性大鼠 WNK4 点状结构的数量和大小减少,而在补充钾的雌性大鼠中,点状结构的数量没有差异,但点状结构的大小增加。我们的数据表明,在高血压中,对饮食中钾的反应存在性别依赖性差异,并且远端肾单位可代偿严重的钾缺乏。

https://cdn.ncbi.nlm.nih.gov/pmc/blobs/60b1/12128975/f7dc1bb9c3e8/jciinsight-10-181778-g262.jpg

文献AI研究员

20分钟写一篇综述,助力文献阅读效率提升50倍。

立即体验

用中文搜PubMed

大模型驱动的PubMed中文搜索引擎

马上搜索

文档翻译

学术文献翻译模型,支持多种主流文档格式。

立即体验