Suppr超能文献

组蛋白甲基转移酶SMYD2通过激活Toll样受体4(TLR4)信号通路来调控肝星状细胞的激活。

Histone methyltransferase SMYD2 regulates the activation of hepatic stellate cells by activating TLR4 signaling.

作者信息

Ding Kaize, Xie Rujia, Han Bing, Zheng Huiling, Tian Tian

机构信息

Department of Assisted Reproductive, Guiyang Maternal and Child Health Care Hospital, Guiyang, Guizhou, China.

Department of Pathophysiology, College of Basic Medical Sciences, Guizhou Medical University, Guiyang, Guizhou, China.

出版信息

Sci Rep. 2025 Apr 16;15(1):13166. doi: 10.1038/s41598-025-96699-9.

Abstract

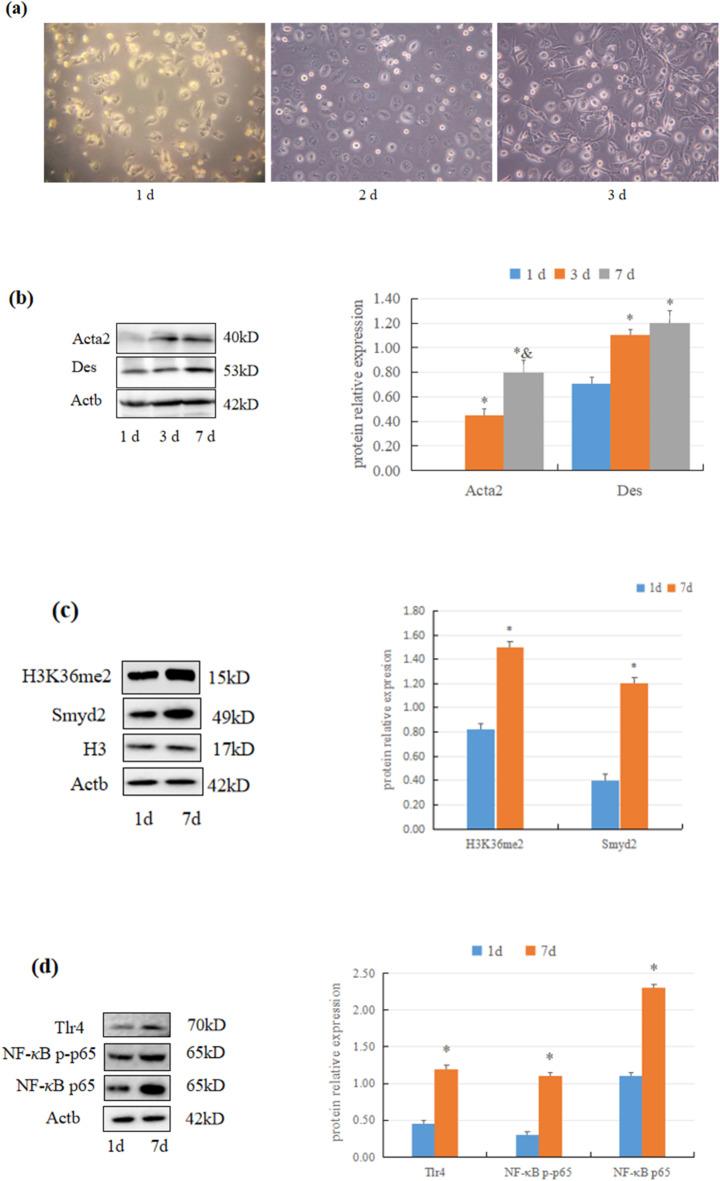
Liver fibrosis represents a pathological outcome in the progression of chronic liver diseases, primarily driven by the activation of hepatic stellate cells (HSCs) induced by various chronic liver injury factors. Substantial evidence indicates that under inflammatory conditions, aberrant activation of HSCs leads to excessive deposition of extracellular matrix (ECM). Therefore, identifying novel molecular targets to inhibit HSCs activation and proliferation is of significant clinical importance for the prevention and treatment of liver fibrosis. SMYD2 (SET and MYND domain containing 2) is a histone methyltransferase primarily responsible for catalyzing the methylation of lysine 36 on histone H3 (H3K36). However, the specific role and mechanisms of SMYD2 in the progression of liver fibrosis remain poorly understood. Thus, this study aims to systematically investigate the molecular regulatory mechanisms of SMYD2 in the development of liver fibrosis. Our findings demonstrate that both SMYD2 and its catalytic product, H3K36me2, are significantly upregulated in carbon tetrachloride (CCl)-induced liver fibrosis tissues in mice and during the spontaneous activation of primary mouse HSCs in vitro. Knockdown of SMYD2 expression significantly reduces H3K36me2 modification levels and effectively inhibits transforming growth factor-β1 (TGF-β1)-induced HSC activation. Further mechanistic studies reveal that the toll-like receptor 4 (TLR4) -nuclear factor kappa-B(NF-κB) signaling pathway is involved in this regulatory process, where Smyd2 positively regulates Tlr4 gene expression by modulating H3K36me2 modification levels. These findings suggest that SMYD2 may serve as a potential therapeutic target for liver fibrosis, warranting further exploration in subsequent clinical translational research.

摘要

肝纤维化是慢性肝病进展过程中的一种病理结果,主要由各种慢性肝损伤因素诱导的肝星状细胞(HSCs)激活所驱动。大量证据表明,在炎症条件下,HSCs的异常激活会导致细胞外基质(ECM)过度沉积。因此,识别抑制HSCs激活和增殖的新分子靶点对于肝纤维化的预防和治疗具有重要的临床意义。SMYD2(含SET和MYND结构域2)是一种组蛋白甲基转移酶,主要负责催化组蛋白H3上赖氨酸36(H3K36)的甲基化。然而,SMYD2在肝纤维化进展中的具体作用和机制仍知之甚少。因此,本研究旨在系统地研究SMYD2在肝纤维化发生发展中的分子调控机制。我们的研究结果表明,在小鼠四氯化碳(CCl)诱导的肝纤维化组织以及原代小鼠HSCs体外自发激活过程中,SMYD2及其催化产物H3K36me2均显著上调。敲低SMYD2表达可显著降低H3K36me2修饰水平,并有效抑制转化生长因子-β1(TGF-β1)诱导的HSC激活。进一步的机制研究表明,Toll样受体4(TLR4)-核因子κB(NF-κB)信号通路参与了这一调控过程,其中Smyd2通过调节H3K36me2修饰水平正向调节Tlr4基因表达。这些发现表明,SMYD2可能是肝纤维化的一个潜在治疗靶点,值得在后续的临床转化研究中进一步探索。

https://cdn.ncbi.nlm.nih.gov/pmc/blobs/3dc7/12003666/669578b2238a/41598_2025_96699_Fig1_HTML.jpg

文献AI研究员

20分钟写一篇综述,助力文献阅读效率提升50倍。

立即体验

用中文搜PubMed

大模型驱动的PubMed中文搜索引擎

马上搜索

文档翻译

学术文献翻译模型,支持多种主流文档格式。

立即体验