Suppr超能文献

由[具体病因]引起的牙源性脑脓肿:一例病例报告及综述文章

Odontogenic brain abscess caused by and : a case report and review article.

作者信息

Sun Siyu, He Rui, Chen Shan, Ren Jing, Ma Xinrong, Yang Junying

机构信息

Department of Stomatology, The First Affiliated Hospital, Sun Yat-sen University, Guangzhou, China.

出版信息

J Oral Microbiol. 2025 Apr 14;17(1):2485197. doi: 10.1080/20002297.2025.2485197. eCollection 2025.

Abstract

BACKGROUND

Odontogenic brain abscess is a rare, but potentially fatal, central nervous system infection, with insidious onset and unclear etiology.

METHODS

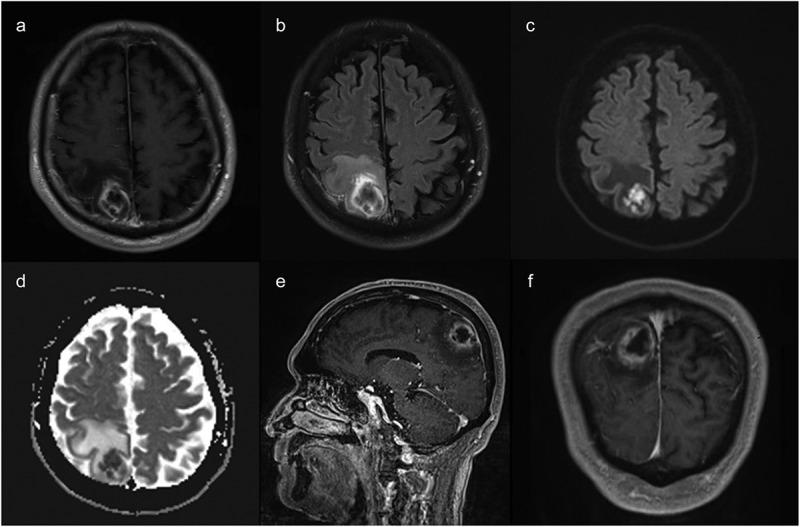
This case reports a 70-year-old male patient who developed an odontogenic brain abscess secondary to periodontal infection and underwent neurological surgery. Extract pus during surgery for the metagenomic next-generation sequencing (mNGS).

RESULTS

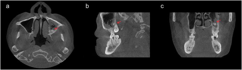
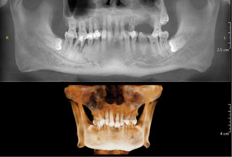
The mNGS of pus samples obtained from brain abscess aspiration identified the periodontal pathogens and . Consequently, he was referred to the department of stomatology for further examination and treatment.

CONCLUSIONS

Our study found that major periodontal pathogens including and were essential in the development of odontogenic brain abscesses; thus, timely intervention and preventive measures are important for treatment.

摘要

背景

牙源性脑脓肿是一种罕见但可能致命的中枢神经系统感染,起病隐匿,病因不明。

方法

本病例报告了一名70岁男性患者,因牙周感染继发牙源性脑脓肿并接受了神经外科手术。术中抽取脓液进行宏基因组下一代测序(mNGS)。

结果

从脑脓肿穿刺抽取的脓液样本进行mNGS检测,鉴定出牙周病原体和。因此,他被转诊至口腔科进行进一步检查和治疗。

结论

我们的研究发现,包括和在内的主要牙周病原体在牙源性脑脓肿的发生中起重要作用;因此,及时干预和预防措施对治疗很重要。

https://cdn.ncbi.nlm.nih.gov/pmc/blobs/aaef/12001842/7da135bf82e3/ZJOM_A_2485197_F0001_B.jpg

文献AI研究员

20分钟写一篇综述,助力文献阅读效率提升50倍。

立即体验

用中文搜PubMed

大模型驱动的PubMed中文搜索引擎

马上搜索

文档翻译

学术文献翻译模型,支持多种主流文档格式。

立即体验