Suppr超能文献

通过联合抑制黏着斑激酶(FAK)和磷脂酰肌醇-3-激酶(PI3K)靶向宫颈癌和胰腺癌细胞中的信号兴奋性

Targeting Signaling Excitability in Cervical and Pancreatic Cancer Cells Through Combined Inhibition of FAK and PI3K.

作者信息

Chen Chao-Cheng, Wang Suyang, Yang Jr-Ming, Huang Chuan-Hsiang

机构信息

Department of Pathology, Johns Hopkins Medical Institutions, Baltimore, MD 21231, USA.

Department of Cell Biology, School of Medicine, Johns Hopkins University, Baltimore, MD 21205, USA.

出版信息

Int J Mol Sci. 2025 Mar 26;26(7):3040. doi: 10.3390/ijms26073040.

Abstract

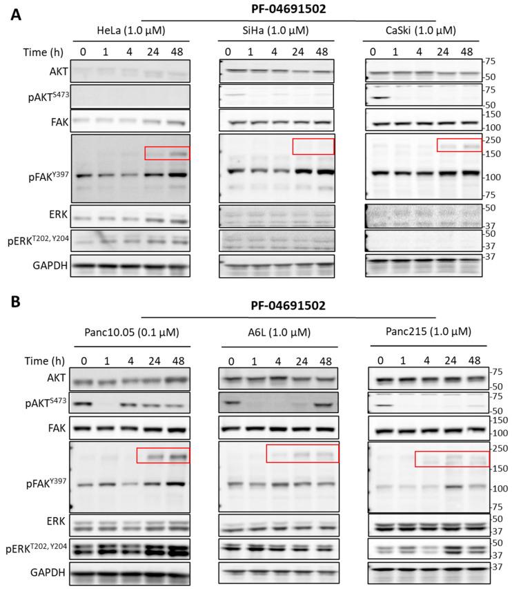
The Ras/PI3K/ERK signaling network is frequently mutated and overactivated in various human cancers. Focal adhesion kinase (FAK) is commonly overexpressed in several cancer types and has been implicated in treatment resistance mechanisms. A positive feedback loop between Ras, PI3K, the cytoskeleton, and FAK was previously shown to drive Ras signaling excitability. In this study, we investigated the effectiveness of targeting Ras signaling excitability by concurrently inhibiting FAK and PI3K in cervical and pancreatic cancer cells, which depend on activation Ras/PI3K signaling. We found that the combination of FAK and PI3K inhibitors synergistically suppressed the growth of cervical and pancreatic cancer cell lines through increased apoptosis and decreased mitosis. PI3K inhibitors alone caused only a transient suppression of downstream AKT activity and paradoxically increased FAK signaling in cancer cells. The addition of an FAK inhibitor effectively counteracted this PI3K-inhibitor-induced FAK activation. Furthermore, PI3K inhibitors were found to activate multiple receptor tyrosine kinases (RTKs), including insulin receptor, IGF-1R, EGFR, HER2, HER3, AXL, and EphA2. Taken together, our results suggest that FAK inhibition is necessary to counteract the compensatory RTK activation induced by PI3K inhibitors, thereby achieving more effective suppression of cancer cell growth. These findings highlight the therapeutic potential of combined FAK and PI3K inhibition in cancer treatment.

摘要

Ras/PI3K/ERK信号网络在多种人类癌症中经常发生突变并过度激活。粘着斑激酶(FAK)在几种癌症类型中通常过度表达,并与治疗耐药机制有关。先前已表明Ras、PI3K、细胞骨架和FAK之间的正反馈回路可驱动Ras信号的兴奋性。在本研究中,我们研究了在依赖Ras/PI3K信号激活的宫颈癌和胰腺癌细胞中,同时抑制FAK和PI3K对靶向Ras信号兴奋性的有效性。我们发现,FAK和PI3K抑制剂的联合使用通过增加细胞凋亡和减少有丝分裂,协同抑制了宫颈和胰腺癌细胞系的生长。单独使用PI3K抑制剂仅引起下游AKT活性的短暂抑制,并且反常地增加了癌细胞中的FAK信号。添加FAK抑制剂有效地抵消了这种PI3K抑制剂诱导的FAK激活。此外,发现PI3K抑制剂可激活多种受体酪氨酸激酶(RTK),包括胰岛素受体、IGF-1R,、EGFR、HER2、HER3、AXL和EphA2。综上所述,我们的结果表明,抑制FAK对于抵消PI3K抑制剂诱导的代偿性RTK激活是必要的,从而实现对癌细胞生长更有效的抑制。这些发现突出了联合抑制FAK和PI3K在癌症治疗中的治疗潜力。

https://cdn.ncbi.nlm.nih.gov/pmc/blobs/0637/11988430/c75c0c01df05/ijms-26-03040-g001.jpg

文献AI研究员

20分钟写一篇综述,助力文献阅读效率提升50倍。

立即体验

用中文搜PubMed

大模型驱动的PubMed中文搜索引擎

马上搜索

文档翻译

学术文献翻译模型,支持多种主流文档格式。

立即体验