Suppr超能文献

兔桡骨临界节段性骨缺损中纯相β-磷酸三钙(β-TCP)陶瓷圆柱体植入物的骨整合评估

Assessment of the Osseointegration of Pure-Phase β-Tricalcium Phosphate (β-TCP) Ceramic Cylinder Implants in Critical Segmental Radial Bone Defects in Rabbits.

作者信息

Garcia Daniel Cardoso, Mingrone Larissa Eckmann, Pinotti Felipe Eduardo, Seade Leonardo, Melo Rosane de, Lugão Ademar Benévolo, Bezerra José Artur Brilhante, Sá Marcelo Jorge Cavalcanti de

机构信息

Department of Surgery, Faculty of Veterinary Medicine, Federal University of Campina Grande (UFCG), Patos 58708-110, Brazil.

Department of Surgery, Animal Care Barueri Veterinary Clinic, Barueri 06401-010, Brazil.

出版信息

Vet Sci. 2025 Feb 26;12(3):200. doi: 10.3390/vetsci12030200.

Abstract

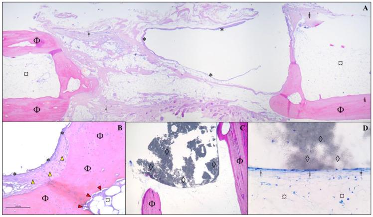
Autografts, allografts, and synthetic bone substitutes are essential in reconstructive orthopedic surgery. Although autografts and allografts provide excellent skeletal integration, their use is limited by host morbidity and graft acquisition challenges. Synthetic materials like β-tricalcium phosphate (β-TCP) offer promising osseoconductive properties as a potential substitute. This study evaluated the osseointegration of β-TCP ceramic cylinder implants in bone defects in rabbits. Eighteen New Zealand rabbits underwent radial diaphysis ostectomy to create a critical segmental defect and were divided into three groups: Group A received β-TCP blocks, Group B received allogenous cortical bone grafts, and Group C underwent ostectomy without defect filling. Postoperative assessments included clinical evaluations, radiographs, micro-computed tomography, and histology at various time points to assess osseointegration and implant resorption. At the 120th postoperative day, Group B showed successful bone integration without infection. In contrast, Group A showed no osseointegration or resorption of the β-TCP implants, and Group C exhibited bone non-union. While β-TCP demonstrated biocompatibility, it lacked osseoconductivity, likely due to low porosity. β-TCP implants did not promote bone consolidation, suggesting that further research on porosity and shape is needed to improve their suitability for veterinary orthopedic reconstructive surgery.

摘要

自体骨移植、异体骨移植和合成骨替代物在骨科重建手术中至关重要。尽管自体骨移植和异体骨移植能实现良好的骨骼整合,但它们的应用受到宿主发病率和获取移植物挑战的限制。像β-磷酸三钙(β-TCP)这样的合成材料作为潜在替代物具有良好的骨传导特性。本研究评估了β-TCP陶瓷圆柱植入物在兔骨缺损中的骨整合情况。18只新西兰兔接受桡骨干中段截骨术以制造临界节段性缺损,并分为三组:A组接受β-TCP块,B组接受同种异体皮质骨移植,C组进行截骨术但不填充缺损。术后评估包括在不同时间点进行临床评估、X线片、微型计算机断层扫描和组织学检查,以评估骨整合和植入物吸收情况。术后第120天,B组显示成功的骨整合且无感染。相比之下,A组未显示β-TCP植入物的骨整合或吸收,C组表现为骨不连。虽然β-TCP表现出生物相容性,但其缺乏骨传导性,可能是由于孔隙率低。β-TCP植入物未促进骨愈合,这表明需要对孔隙率和形状进行进一步研究,以提高它们在兽医骨科重建手术中的适用性。

https://cdn.ncbi.nlm.nih.gov/pmc/blobs/fc24/11946808/a9766ba524ae/vetsci-12-00200-g001.jpg

文献AI研究员

20分钟写一篇综述,助力文献阅读效率提升50倍。

立即体验

用中文搜PubMed

大模型驱动的PubMed中文搜索引擎

马上搜索

文档翻译

学术文献翻译模型,支持多种主流文档格式。

立即体验