Suppr超能文献

具有毛细胞样特征的高级别星形细胞瘤:单中心病例系列及文献综述

High-grade astrocytoma with piloid features: a single-institution case series and literature review.

作者信息

Goethe Eric A, Srinivasan Subhiksha, Kumar Swaminathan, Prabhu Sujit S, Gubbiotti Maria A, Ferguson Sherise D

机构信息

Department of Neurosurgery, University of Texas MD Anderson Cancer Center, Houston, TX, 77030, USA.

Department of Neurosurgery, Baylor College of Medicine, Houston, TX, 77030, USA.

出版信息

Acta Neuropathol Commun. 2025 Apr 24;13(1):82. doi: 10.1186/s40478-025-01987-0.

Abstract

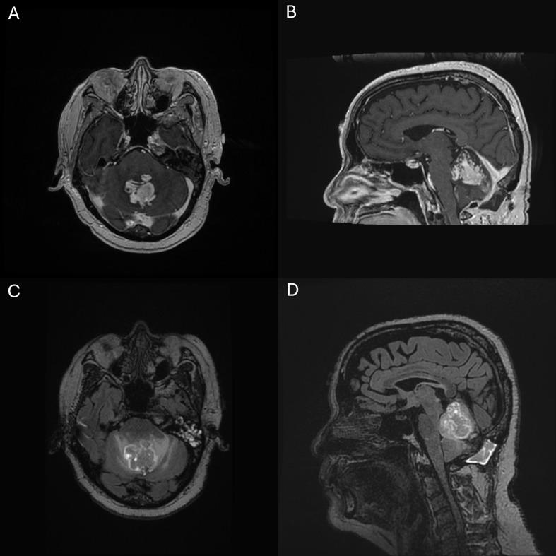
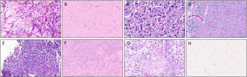
High-grade astrocytoma with piloid features (HGAP) is a recently described primary brain tumor and the first requiring a specific methylation pattern for diagnosis, as its histologic features are often compatible with other tumors such as glioblastoma (GBM). Characterized by molecular alterations in CDKN2A/B, NF1, BRAF, FGFR1, and ATRX, they may be located anywhere in the CNS but show a predilection for the posterior fossa. Reports are limited to retrospective case series, and the standard of care is not yet established. We performed a retrospective review of electronic medical records of all patients with HGAP at our institution. Records were queried for demographic, radiographic, clinical, surgical, pathologic, and outcome data. Eighteen patients were included with a median 17.1 months follow-up. Of these, 12 (63.2%) were women with a mean age of 43 years (range 24-67). The most common tumor locations were the cerebellum (8 patients, 42.1%) and thalamus (6 patients, 31.6%). On imaging, tumors were most commonly homogeneously contrast-enhancing (10 patients, 52.6%) or rim enhancing with central necrosis (5 patients, 26.3%). Ten patients (52.6%) underwent biopsy, while nine (47.4%) underwent resection, of which four (44.4%) underwent gross total resection. Adjuvant therapy included radiation in 16 patients (88.9%) and systemic treatment in 16 patients (88.9%). The initial systemic treatment was temozolomide in 14 patients (77.8%). One patient received upfront trametinib (a MEK1 inhibitor), and one patient received upfront dabrafenib (a BRAF inhibitor). At last follow up, 11 patients (57.9%) had progressive disease. Median progression-free survival (PFS) was 5.4 months (range 1.6-28.2 months), and median overall survival (OS) had not been reached. HGAP is a newly described rare glial tumor without an established standard of care. Its aggressive behavior and targetable mutations warrant further investigation regarding predictors of outcome for this entity.

摘要

具有毛细胞样特征的高级别星形细胞瘤(HGAP)是一种最近被描述的原发性脑肿瘤,也是第一种诊断需要特定甲基化模式的肿瘤,因为其组织学特征常与其他肿瘤如胶质母细胞瘤(GBM)相符。其特征为CDKN2A/B、NF1、BRAF、FGFR1和ATRX的分子改变,可位于中枢神经系统的任何部位,但好发于后颅窝。相关报道仅限于回顾性病例系列,且尚未确立标准治疗方案。我们对本机构所有HGAP患者的电子病历进行了回顾性分析。查询记录以获取人口统计学、影像学、临床、手术、病理及预后数据。共纳入18例患者,中位随访时间为17.1个月。其中,12例(63.2%)为女性,平均年龄43岁(范围24 - 67岁)。最常见的肿瘤部位是小脑(8例,42.1%)和丘脑(6例,31.6%)。影像学上,肿瘤最常见的表现为均匀强化(10例,52.6%)或环状强化伴中央坏死(5例,26.3%)。10例患者(52.6%)接受了活检,9例(47.4%)接受了切除术,其中4例(44.4%)进行了全切。辅助治疗包括16例患者(88.9%)接受了放疗,16例患者(88.9%)接受了全身治疗。初始全身治疗中,14例患者(77.8%)使用了替莫唑胺。1例患者接受了一线曲美替尼(一种MEK1抑制剂)治疗,1例患者接受了一线达拉非尼(一种BRAF抑制剂)治疗。在最后一次随访时,11例患者(57.9%)出现疾病进展。中位无进展生存期(PFS)为5.4个月(范围1.6 - 28.2个月),中位总生存期(OS)尚未达到。HGAP是一种新描述的罕见胶质肿瘤,尚无既定的标准治疗方案。其侵袭性行为和可靶向的突变值得对该实体的预后预测因素进行进一步研究。

https://cdn.ncbi.nlm.nih.gov/pmc/blobs/842a/12020207/d4d2649dbdf4/40478_2025_1987_Fig1_HTML.jpg

文献AI研究员

20分钟写一篇综述,助力文献阅读效率提升50倍。

立即体验

用中文搜PubMed

大模型驱动的PubMed中文搜索引擎

马上搜索

文档翻译

学术文献翻译模型,支持多种主流文档格式。

立即体验