Suppr超能文献

用于癌症免疫治疗的仿生纳米递送系统的最新进展。

Recent advances in biomimetic nanodelivery systems for cancer Immunotherapy.

作者信息

Yang Jiawei, Li Xueqi, Li Tongyu, Mei Jin, Chen Ying

机构信息

Cixi Biomedical Research Institute, Wenzhou Medical University, Zhejiang, China, No. 508 North Second Ring East Road, Ningbo, 315302, Zhejiang, China.

Department of Hematology, The First Affiliated Hospital of Ningbo University, 59 Liuting Street, Haishu District, Ningbo, 315010, China.

出版信息

Mater Today Bio. 2025 Apr 5;32:101726. doi: 10.1016/j.mtbio.2025.101726. eCollection 2025 Jun.

Abstract

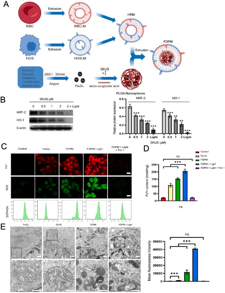
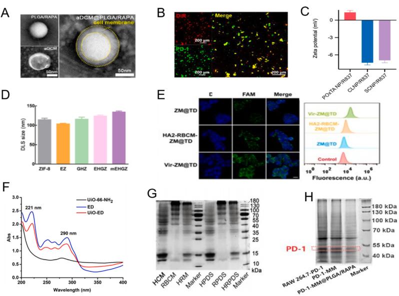
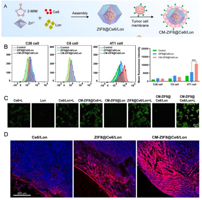
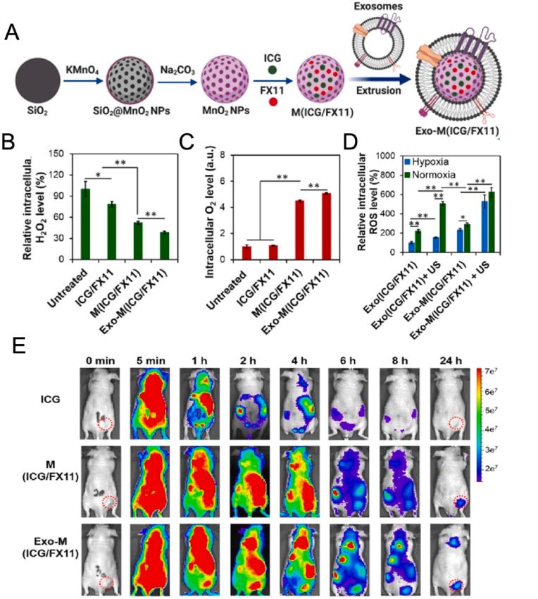
Tumor immunotherapy is a developing and promising therapeutic method. However, the mechanism of tumor immune microenvironment and individual differences of patients make the clinical application of immunotherapy still very limited. The resulting targeting of the tumor environment and immune system is a suitable strategy for tumor therapy. Biomimetic nanodelivery systems (BNDS) coated with nanoparticles has brought new hope for tumor immunotherapy. Due to its high targeting, maximum drug delivery efficiency and immune escape, BNDS has become one of the options for tumor immunotherapy in the future. BNDS combines the advantages of natural cell membranes and nanoparticles and has good targeting properties. This review summarizes the relationship between tumor and immune microenvironment, classification of immunotherapy, engineering modification of cell membrane, and a comprehensive overview of different types of membrane BNDS in immunotherapy. Furthermore, the prospects and challenges of biomimetic nanoparticles coated with membranes in tumor immunotherapy are further discussed.

摘要

肿瘤免疫疗法是一种正在发展且前景广阔的治疗方法。然而,肿瘤免疫微环境的机制以及患者的个体差异使得免疫疗法的临床应用仍然非常有限。因此,针对肿瘤环境和免疫系统进行靶向治疗是一种合适的肿瘤治疗策略。涂覆有纳米颗粒的仿生纳米递送系统(BNDS)为肿瘤免疫疗法带来了新的希望。由于其高靶向性、最大药物递送效率和免疫逃逸特性,BNDS已成为未来肿瘤免疫疗法的选择之一。BNDS结合了天然细胞膜和纳米颗粒的优点,具有良好的靶向性能。本文综述了肿瘤与免疫微环境之间的关系、免疫疗法的分类、细胞膜的工程修饰以及免疫疗法中不同类型膜BNDS的综合概述。此外,还进一步讨论了膜包覆仿生纳米颗粒在肿瘤免疫疗法中的前景和挑战。

https://cdn.ncbi.nlm.nih.gov/pmc/blobs/f153/12017925/dc21a55429d8/ga1.jpg

文献AI研究员

20分钟写一篇综述,助力文献阅读效率提升50倍。

立即体验

用中文搜PubMed

大模型驱动的PubMed中文搜索引擎

马上搜索

文档翻译

学术文献翻译模型,支持多种主流文档格式。

立即体验