Suppr超能文献

BCAT2与PCBP1结合可调节PI3K/AKT信号通路,以抑制前列腺癌中自噬相关的细胞凋亡和铁死亡。

BCAT2 binding to PCBP1 regulates the PI3K/AKT signaling pathway to inhibit autophagy-related apoptosis and ferroptosis in prostate cancer.

作者信息

Mei Wangli, Wei Mengyu, Tang Chaozhi, Li Weiyi, Ye Bowen, Xin Shiyong, Ma Weiguo, Ye Lin

机构信息

Department of Urology, Shanghai East Hospital, School of Medicine, Tongji University, Shanghai, 200120, China.

Urologic Cancer Institute, School of Medicine, Tongji University, Shanghai, 200072, China.

出版信息

Cell Death Dis. 2025 Apr 24;16(1):337. doi: 10.1038/s41419-025-07559-3.

Abstract

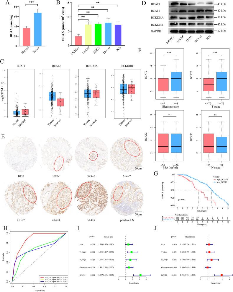
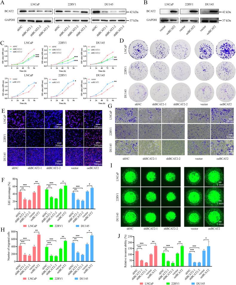
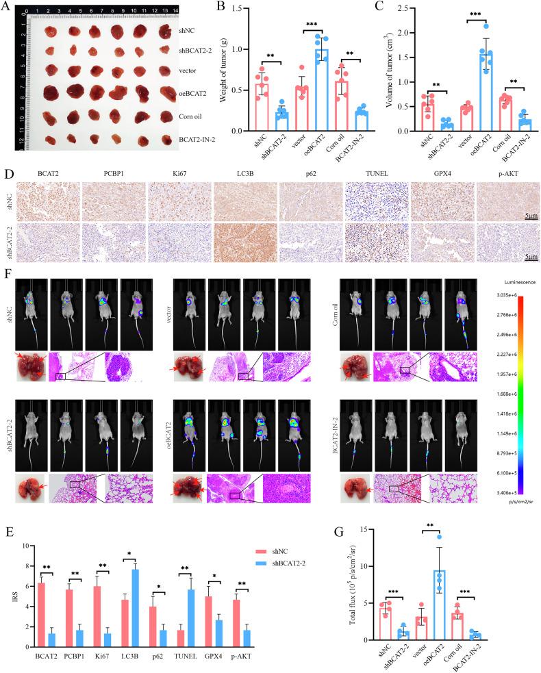
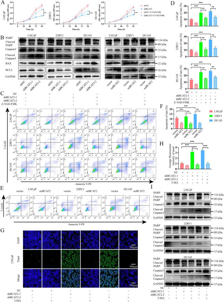
Prostate cancer (PCa) has emerged as a predominant cause of cancer-related mortality among men globally. The mechanisms of branched-chain amino acids (BCAAs) contributing to the development of PCa remain inadequately elucidated. The objective of this study was to examine the involvement of BCAAs and BCAT2 in tumorigenesis. BCAAs exhibited elevated expression levels in PCa tissues and cells. Among the critical enzymes involved in the BCAA metabolic pathway, only BCAT2 demonstrated significant expression in PCa and was closely associated with tumor progression and patient prognosis. RNA sequencing along with related functional experiments indicated that BCAT2 can inhibit autophagy, autophagy-related apoptosis, and ferroptosis in PCa. Furthermore, the results of co-immunoprecipitation, mass spectrometry, and other methodologies established that PCBP1, as a downstream protein interacting with BCAT2, co-regulates the PI3K/AKT pathway, thereby influencing progression of PCa. Moreover, BCAT2 interacted with PCBP1 at Leucine 239 to collaboratively regulate the PI3K/AKT signaling pathway, which is crucial for the initiation and progression of PCa. Targeting BCAT2 may represent a promising therapeutic strategy to prevent proliferation of PCa.

摘要

前列腺癌(PCa)已成为全球男性癌症相关死亡的主要原因。支链氨基酸(BCAAs)促进PCa发生发展的机制仍未得到充分阐明。本研究的目的是探讨BCAAs和BCAT2在肿瘤发生中的作用。BCAAs在PCa组织和细胞中表达水平升高。在BCAA代谢途径中涉及的关键酶中,只有BCAT2在PCa中表现出显著表达,并且与肿瘤进展和患者预后密切相关。RNA测序及相关功能实验表明,BCAT2可抑制PCa中的自噬、自噬相关凋亡和铁死亡。此外,免疫共沉淀、质谱分析等方法的结果表明,PCBP1作为与BCAT2相互作用的下游蛋白,共同调节PI3K/AKT通路,从而影响PCa的进展。此外,BCAT2与PCBP1在第239位亮氨酸处相互作用,协同调节PI3K/AKT信号通路,这对PCa的发生和进展至关重要。靶向BCAT2可能是一种预防PCa增殖的有前景的治疗策略。

https://cdn.ncbi.nlm.nih.gov/pmc/blobs/ea10/12022009/edf1a058e898/41419_2025_7559_Fig1_HTML.jpg

文献AI研究员

20分钟写一篇综述,助力文献阅读效率提升50倍。

立即体验

用中文搜PubMed

大模型驱动的PubMed中文搜索引擎

马上搜索

文档翻译

学术文献翻译模型,支持多种主流文档格式。

立即体验