Suppr超能文献

L-茶氨酸通过减轻内质网应激改善阿霉素诱导的卵巢毒性。

L-Theanine Ameliorates Doxorubicin-Induced Ovarian Toxicity by Reducing Endoplasmic Reticulum Stress.

作者信息

Arıkan Malkoç Meltem, Özer Yaman Serap, Yuluğ Esin, Işık Semanur, Kural Birgül

机构信息

Vocational School of Health Sciences Karadeniz Technical University Trabzon Türkiye.

Department of Medical Biochemistry, Faculty of Medicine University of Health Sciences Trabzon Türkiye.

出版信息

Food Sci Nutr. 2025 Apr 24;13(4):e70150. doi: 10.1002/fsn3.70150. eCollection 2025 Apr.

Abstract

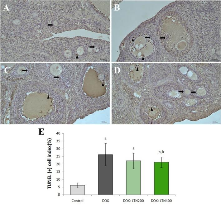
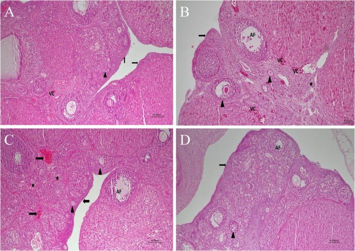
Doxorubicin (DOX) is an anthracycline antibiotic widely used as an antineoplastic agent. L-theanine (LTN) is a unique amino acid obtained from tea () and a highly valuable nutraceutical additive in the food industry. The aim of this study was to investigate the effects of LTN on ovarian endoplasmic reticulum stress (ERS) in DOX-induced rats. The rats were divided into one of four groups: Control (saline), DOX (20 mg/kg DOX, i.p.), DOX + LTN200 (DOX + 200 mg/kg LTN) and DOX + LTN400 (DOX + 400 mg/kg LTN). DOX was administered on the first day, followed by three consecutive days of LTN via oral gavage. The levels of ERS (GRP78, IRE1, and CHOP), oxidative stress (TOS, OSI, and MDA), inflammation (TNF-α) and fertility (E2 and PGN) parameters were analyzed using ELISA or assay kits. In addition, morphological and apoptotic (DNA fragmentation) changes in ovarian tissues were examined histologically. The study found that both doses of LTN were effective in reversing DOX-induced ERS by lowering oxidative stress, inflammation, and apoptosis, and alleviating morphological changes. However, the 400 mg/kg LTN group exhibited more significant effects. LTN treatment thus has the potential to alleviate the adverse effects on ovarian tissue caused by DOX by modulating the endoplasmic reticulum (ER) stress response and associated conditions.

摘要

多柔比星(DOX)是一种蒽环类抗生素,广泛用作抗肿瘤药物。L-茶氨酸(LTN)是一种从茶叶中提取的独特氨基酸,也是食品工业中一种极具价值的营养添加剂。本研究的目的是探讨LTN对多柔比星诱导的大鼠卵巢内质网应激(ERS)的影响。将大鼠分为四组之一:对照组(生理盐水)、DOX组(20mg/kg DOX,腹腔注射)、DOX+LTN200组(DOX+200mg/kg LTN)和DOX+LTN400组(DOX+400mg/kg LTN)。第一天给予DOX,随后连续三天通过口服灌胃给予LTN。使用ELISA或检测试剂盒分析ERS(GRP78、IRE1和CHOP)、氧化应激(TOS、OSI和MDA)、炎症(TNF-α)和生育能力(E2和PGN)参数水平。此外,对卵巢组织的形态学和凋亡(DNA片段化)变化进行组织学检查。研究发现,两种剂量的LTN均能通过降低氧化应激、炎症和凋亡以及减轻形态学变化有效逆转DOX诱导的ERS。然而,400mg/kg LTN组表现出更显著的效果。因此,LTN治疗有可能通过调节内质网(ER)应激反应及相关状况来减轻DOX对卵巢组织的不良影响。

https://cdn.ncbi.nlm.nih.gov/pmc/blobs/51bb/12021995/3f67c54bfe6d/FSN3-13-e70150-g001.jpg

文献AI研究员

20分钟写一篇综述,助力文献阅读效率提升50倍。

立即体验

用中文搜PubMed

大模型驱动的PubMed中文搜索引擎

马上搜索

文档翻译

学术文献翻译模型,支持多种主流文档格式。

立即体验