Suppr超能文献

FOXA1 依赖的 NSUN2 通过以 m5C 依赖的方式维持 TRIM28 mRNA 的稳定性促进前列腺癌进展。

FOXA1-dependent NSUN2 facilitates the advancement of prostate cancer by preserving TRIM28 mRNA stability in a m5C-dependent manner.

作者信息

Wang Zhenda, Mierxiati Abudurexiti, Zhu Wenkai, Li Tian, Xu Hua, Wan Fangning, Ye Dingwei

机构信息

Department of Urology, Fudan University Shanghai Cancer Center, Shanghai, China.

Department of Oncology, Shanghai Medical College, Fudan University, Shanghai, China.

出版信息

NPJ Precis Oncol. 2025 May 3;9(1):127. doi: 10.1038/s41698-025-00904-x.

Abstract

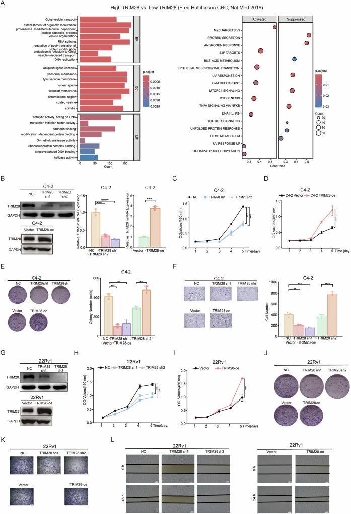
RNA epigenetics is gaining increased attention for its role in the initiation, metastasis, and drug resistance of tumors. These studies have primarily focused on m6A modification. However, despite being the second most abundant modification found in RNA, the role of m5C modification in prostate cancer remains largely unexplored. Here, we predict an RNA m5C methyltransferase, NSUN2, as a potential therapeutic target for prostate cancer using various bioinformatics approaches, and verify the potential of NSUN2 as a target through multiple preclinical models. Mechanistically, NSUN2 enhances the stability of TRIM28 mRNA by adding m5C modification, promoting the expression of TRIM28. Concurrently, FOXA1, a prostate cancer lineage-specific transcription factor, transcriptionally activates the expression of NSUN2. Our study confirms the clinical potential of targeting RNA epigenetics for the treatment of prostate cancer and elucidates, mechanistically, how RNA epigenetics participates in the complex biological activities within tumors via the FOXA1-NSUN2-TRIM28 axis.

摘要

RNA表观遗传学因其在肿瘤的发生、转移和耐药性中的作用而受到越来越多的关注。这些研究主要集中在m6A修饰上。然而,尽管m5C修饰是RNA中第二丰富的修饰,但m5C修饰在前列腺癌中的作用仍 largely unexplored。在这里,我们使用各种生物信息学方法预测RNA m5C甲基转移酶NSUN2作为前列腺癌的潜在治疗靶点,并通过多个临床前模型验证NSUN2作为靶点的潜力。从机制上讲,NSUN2通过添加m5C修饰增强TRIM28 mRNA的稳定性,促进TRIM28的表达。同时,前列腺癌谱系特异性转录因子FOXA1转录激活NSUN2的表达。我们的研究证实了靶向RNA表观遗传学治疗前列腺癌的临床潜力,并从机制上阐明了RNA表观遗传学如何通过FOXA1-NSUN2-TRIM28轴参与肿瘤内复杂的生物学活动。

https://cdn.ncbi.nlm.nih.gov/pmc/blobs/849e/12049421/92d21be2a201/41698_2025_904_Fig1_HTML.jpg

文献AI研究员

20分钟写一篇综述,助力文献阅读效率提升50倍。

立即体验

用中文搜PubMed

大模型驱动的PubMed中文搜索引擎

马上搜索

文档翻译

学术文献翻译模型,支持多种主流文档格式。

立即体验