Suppr超能文献

细粒棘球绦虫抗原B通过抑制信号转导和转录激活因子3来调节实验性免疫性血小板减少症中的T细胞功能。

Echinococcus granulosus antigen B regulates T-cell function through inhibition of signal transducer and activator of transcription 3 in experimental immune thrombocytopenia.

作者信息

Yue Yingbin, Zhang Yunfei, Cheng Yongfeng, Jiao Hongjie, Yan Mei

机构信息

The First Affiliated Hospital of Xinjiang Medical University, Urumqi, Xinjiang, China.

State Key Laboratory of Pathogenesis, Prevention and Treatment of High Incidence Diseases in Central Asia, Xinjiang Medical University, Urumqi, China.

出版信息

Br J Haematol. 2025 Jun;206(6):1627-1641. doi: 10.1111/bjh.20064. Epub 2025 May 5.

Abstract

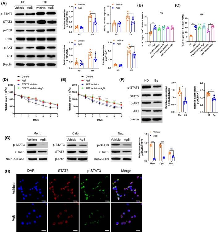
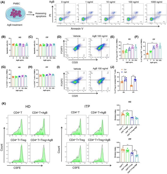
Dysregulated T-cell homeostasis is central to the development of immune thrombocytopenia (ITP), characterized by reduced platelet counts. Antigen B (AgB), a key protein in Echinococcus granulosus cyst fluid, modulates T-cell differentiation and reduces inflammation. Here, we explored the role of AgB in ITP and found that it enhances the generation and function of regulatory T cells (Tregs), boosting their immunosuppressive activity. In our passive ITP murine model, AgB treatment alleviated thrombocytopenia and restored the Treg-helper T-cell (Th) balance. However, the therapeutic effects of AgB on CD4+ T cells were abolished by Treg depletion, highlighting the essential role of Tregs in AgB's mechanism of action. Moreover, AgB reduced proinflammatory cytokine production and inhibited signal transducer and activator of transcription 3 (STAT3) activation in ITP mice, with STAT3 inhibition negating the effects of AgB in Tregs. AgB promoted STAT3 degradation via tumour necrosis factor receptor-associated factor 6 (TRAF6)-mediated ubiquitination. In conclusion, by facilitating TRAF6-mediated STAT3 ubiquitination, AgB restores T-cell homeostasis and strengthens Treg immunosuppression, affording a potential therapeutic strategy for ITP.

摘要

T细胞稳态失调是免疫性血小板减少症(ITP)发病的核心机制,其特征是血小板计数减少。细粒棘球绦虫囊液中的关键蛋白抗原B(AgB)可调节T细胞分化并减轻炎症。在此,我们探究了AgB在ITP中的作用,发现它可增强调节性T细胞(Tregs)的生成和功能,提高其免疫抑制活性。在我们的被动ITP小鼠模型中,AgB治疗减轻了血小板减少症并恢复了Treg-辅助性T细胞(Th)平衡。然而,Treg耗竭消除了AgB对CD4+ T细胞的治疗作用,突出了Tregs在AgB作用机制中的重要作用。此外,AgB减少了ITP小鼠促炎细胞因子的产生并抑制了信号转导及转录激活因子3(STAT3)的激活,而抑制STAT3可消除AgB对Tregs的作用。AgB通过肿瘤坏死因子受体相关因子6(TRAF6)介导的泛素化促进STAT3降解。总之,通过促进TRAF6介导的STAT3泛素化,AgB恢复了T细胞稳态并增强了Treg免疫抑制作用,为ITP提供了一种潜在的治疗策略。

https://cdn.ncbi.nlm.nih.gov/pmc/blobs/6679/12166341/30246963cb29/BJH-206-1627-g002.jpg

文献AI研究员

20分钟写一篇综述,助力文献阅读效率提升50倍。

立即体验

用中文搜PubMed

大模型驱动的PubMed中文搜索引擎

马上搜索

文档翻译

学术文献翻译模型,支持多种主流文档格式。

立即体验