Suppr超能文献

通过非局部低秩重建实现无导航器多次激发扩散磁共振成像

Navigator-free multi-shot diffusion MRI via non-local low-rank reconstruction.

作者信息

Dong Yiming, Ye Xinyu, Li Chang, van Osch Matthias J P, Börnert Peter

机构信息

C.J. Gorter MRI Center, Department of Radiology, LUMC, Leiden, The Netherlands.

Wellcome Centre for Integrative Neuroimaging, FMRIB, Nuffield Department of Clinical Neurosciences, University of Oxford, Oxford, UK.

出版信息

Magn Reson Med. 2025 Oct;94(4):1592-1603. doi: 10.1002/mrm.30554. Epub 2025 May 6.

Abstract

PURPOSE

To develop a non-local low-rank (NLLR) reconstruction method for multi-shot EPI (ms-EPI) in DWI, addressing phase inconsistencies and noise issues while maintaining high spatial resolution in clinically feasible scan times.

THEORY AND METHODS

Single-shot EPI (ss-EPI) is widely used for DWI but suffers from geometric distortions and T* blurring. ms-EPI improves spatial resolution but introduces shot-to-shot phase variations requiring correction strategies. Traditional navigator-based approaches may increase acquisition time. Recent low-rank regularization reconstruction techniques, such as locally low-rank (LLR) methods, can estimate the phase errors but rely strictly on local neighborhood information along the shot dimension. The proposed NLLR method extends this framework by leveraging non-local patch matching by grouping similar image patches across spatially distant image locations, enhancing non-local redundancy exploitation for improved phase estimation and correction as well as noise suppression. The method was validated in simulations and in vivo experiments and compared to existing post-processing denoising and navigator-free approaches.

RESULTS

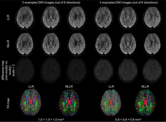
In simulation experiments, compared to post-processing denoising algorithms, NLLR demonstrated superior noise suppression and structural preservation across all metrics, even when reconstructing from a single diffusion direction. In the in-vivo experiments, NLLR outperformed conventional navigator-free approaches particularly regarding noise suppression. Fractional anisotropy maps reconstructed using NLLR exhibited improved visualization of fine structures with improved SNR, with performance differences becoming more pronounced at higher resolutions.

CONCLUSION

The proposed NLLR approach provides an efficient and good solution for high-resolution DWI reconstruction, improving image quality while mitigating phase variations and noise.

摘要

目的

开发一种用于扩散加权成像(DWI)中多次激发回波平面成像(ms-EPI)的非局部低秩(NLLR)重建方法,在临床可行的扫描时间内解决相位不一致和噪声问题,同时保持高空间分辨率。

理论与方法

单次激发回波平面成像(ss-EPI)广泛用于DWI,但存在几何畸变和T*模糊问题。ms-EPI提高了空间分辨率,但引入了激发间的相位变化,需要校正策略。传统的基于导航器的方法可能会增加采集时间。最近的低秩正则化重建技术,如局部低秩(LLR)方法,可以估计相位误差,但严格依赖于沿激发维度的局部邻域信息。所提出的NLLR方法通过跨空间远距离图像位置对相似图像块进行分组来利用非局部块匹配,扩展了该框架,增强了对非局部冗余的利用,以改进相位估计和校正以及噪声抑制。该方法在模拟和体内实验中得到验证,并与现有的后处理去噪和无导航器方法进行了比较。

结果

在模拟实验中,与后处理去噪算法相比,NLLR在所有指标上均表现出卓越的噪声抑制和结构保留能力,即使从单个扩散方向进行重建时也是如此。在体内实验中,NLLR在噪声抑制方面尤其优于传统的无导航器方法。使用NLLR重建的分数各向异性图在提高信噪比的情况下,对精细结构的可视化效果得到改善,在更高分辨率下性能差异更为明显。

结论

所提出的NLLR方法为高分辨率DWI重建提供了一种高效且良好的解决方案,在减轻相位变化和噪声的同时提高了图像质量。

https://cdn.ncbi.nlm.nih.gov/pmc/blobs/28af/12309880/a025b673d022/MRM-94-1592-g003.jpg

文献AI研究员

20分钟写一篇综述,助力文献阅读效率提升50倍。

立即体验

用中文搜PubMed

大模型驱动的PubMed中文搜索引擎

马上搜索

文档翻译

学术文献翻译模型,支持多种主流文档格式。

立即体验