Suppr超能文献

新冠康复患者的脑类淋巴系统动态变化与认知功能:一项扩散张量成像-动脉自旋标记前瞻性队列研究

Dynamic brain glymphatic changes and cognitive function in COVID-19 recovered patients: a DTI-ALPS prospective cohort study.

作者信息

He Chengcheng, Xie Jinmei, Fang Weiwei, Guo Baoqin, Shi Yangyang, Li Anan, Liu Hao, Zhu Zhimin, Bao Wenrui, Niu Xuan, Wang Shaoyu, Fu Juan, Li Hua, Xie Wenjuan

机构信息

Department of Medical Imaging, Yulin Hospital, The First Affiliated Hospital of Xi'an Jiaotong University, Yulin, China.

Department of Medical Imaging, Xinyuan Hospital of Yulin, Yulin, China.

出版信息

Front Psychol. 2025 Apr 22;16:1465660. doi: 10.3389/fpsyg.2025.1465660. eCollection 2025.

Abstract

OBJECTIVE

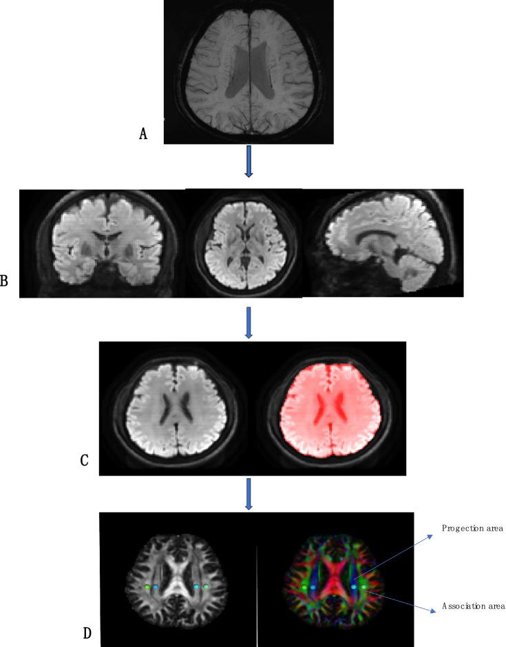
This study aimed to evaluate brain glymphatic function in COVID-19 recovered patients using the non-invasive Diffusion Tensor Imaging-Analysis Along the Perivascular Space (DTI-ALPS) technique. The DTI-ALPS technique was employed to investigate changes in brain glymphatic function in these patients and explore correlations with cognitive function and fatigue.

MATERIALS AND METHODS

Follow-up assessments were conducted at 1, 3, and 12 months post-recovery. A total of 31 patients completed follow-ups at all three time points, with 30 healthy controls (HCs) for comparison.

RESULTS

Compared to HCs, COVID-19 recovered patients showed a significant decline in MoCA scores at 3 months post-recovery ( < 0.05), which returned to near-normal levels by 12 months. Mental fatigue, measured by the Fatigue Assessment Scale (FAS), was significantly higher in COVID-19 patients at all follow-up points compared to HCs ( < 0.05). The DTI-ALPS index in both hemispheres showed significant differences at 3 months post-recovery compared to HCs ( < 0.001), indicating increased glymphatic activity. Longitudinal analysis revealed a peak in the DTI-ALPS index at 3 months post-recovery, which then decreased by 12 months. Correlation analysis showed a significant negative correlation between the Bilateral brain hemisphere DTI-ALPS index and MoCA scores (right side:  = -0.373,  = 0.003; left side:  = -0.255,  = 0.047), and a positive correlation with mental fatigue (right side:  = 0.275,  = 0.032; left side:  = 0.317,  = 0.013).

CONCLUSION

This study demonstrates dynamic changes in brain glymphatic function in COVID-19 recovered patients, with a peak in activity at 3 months post-recovery. These changes are associated with cognitive function and mental fatigue, suggesting potential targets for addressing neurological symptoms of long COVID. The non-invasive DTI-ALPS technique proves to be a valuable tool for assessing brain glymphatic function in this population.

摘要

目的

本研究旨在使用无创的沿血管周围间隙扩散张量成像分析(DTI-ALPS)技术评估新冠康复患者的脑类淋巴功能。采用DTI-ALPS技术研究这些患者脑类淋巴功能的变化,并探讨其与认知功能和疲劳的相关性。

材料与方法

在康复后1、3和12个月进行随访评估。共有31例患者在所有三个时间点完成了随访,另有30名健康对照者(HCs)用于比较。

结果

与HCs相比,新冠康复患者在康复后3个月时蒙特利尔认知评估量表(MoCA)评分显著下降(<0.05),到12个月时恢复到接近正常水平。通过疲劳评估量表(FAS)测量的精神疲劳在所有随访时间点上,新冠患者均显著高于HCs(<0.05)。与HCs相比,康复后3个月时两个半球的DTI-ALPS指数均显示出显著差异(<0.001),表明类淋巴活动增加。纵向分析显示,DTI-ALPS指数在康复后3个月达到峰值,然后在12个月时下降。相关性分析显示,双侧脑半球DTI-ALPS指数与MoCA评分之间存在显著负相关(右侧:= -0.373,= 0.003;左侧:= -0.255,= 0.047),与精神疲劳存在正相关(右侧:= 0.275,= 0.032;左侧:= 0.317,= 0.013)。

结论

本研究证明了新冠康复患者脑类淋巴功能的动态变化,在康复后3个月时活动达到峰值。这些变化与认知功能和精神疲劳相关,提示了应对新冠长期后遗症神经症状的潜在靶点。无创的DTI-ALPS技术被证明是评估该人群脑类淋巴功能的有价值工具。

https://cdn.ncbi.nlm.nih.gov/pmc/blobs/8efb/12053492/d6822c8789af/fpsyg-16-1465660-g001.jpg

文献AI研究员

20分钟写一篇综述,助力文献阅读效率提升50倍。

立即体验

用中文搜PubMed

大模型驱动的PubMed中文搜索引擎

马上搜索

文档翻译

学术文献翻译模型,支持多种主流文档格式。

立即体验