Suppr超能文献

一名CD4计数高的HIV感染患者的卡波西肉瘤:病例报告及文献综述

Kaposi sarcoma in an HIV-infected patient with high CD4 count: a case report and literature review.

作者信息

Tukeni Kedir Negesso, Kebede Merid Lemma, Abadiko Elias Ababulgu, Woyimo Tamirat Godebo, Abafogi Abdo Kedir, Ashine Amare Hailu, Gudina Esayas Kebede

机构信息

Department of Internal Medicine, Jimma University, Jimma, Ethiopia.

Department of Clinical Radiology, Jimma University, Jimma, Ethiopia.

出版信息

Front Med (Lausanne). 2025 Apr 25;12:1496863. doi: 10.3389/fmed.2025.1496863. eCollection 2025.

Abstract

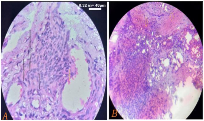
Kaposi sarcoma is a tumor commonly associated with human herpesvirus 8 (HHV-8) infection and is more prevalent in individuals with immunosuppression, such as those with HIV/AIDS, organ transplant recipients, or other conditions causing immune dysfunction. It typically presents as purple patches or nodules commonly affecting the skin or mucous membrane of the gastrointestinal tract, and can spread to the lymph nodes and lungs. This case report describes an 18-year-old male with vertical HIV infection, managed on a regimen of dolutegravir/lamivudine/tenofovir (DTG/3TC/TDF), and with a recent CD4 count of 627cells/mmand recent viral load of 378 copies/ml, presented with exacerbation of shortness of breath, productive cough with blood-tinged sputum, and a diffuse skin rash. The patient also had tongue swelling with purple discoloration, as well as swelling of the entire left leg and right arm. On physical examination, the patient appeared acutely ill with marked respiratory distress. Notable findings included a bluish, exophytic mass with irregular borders involving the posterior tongue and the hard palate. There was also non-tender, soft, multiple submental and supraclavicular lymphadenopathy, bilateral crackles on lung auscultation, and widespread, patchy, nodular skin lesions. A high-resolution computed tomography (CT) scan of the lungs was suggestive of Kaposi sarcoma that was confirmed with skin biopsy. The patient was treated initially with antibiotics, and supplemental oxygen, while continuing anti-retroviral therapy. The case underlines that though epidemic Kaposi sarcoma is often a disease of immunosuppressed people caused by retroviral infection, there is still the possibility in those with high CD4 counts despite viral load remains low. A high level of suspicion in high-risk patients presenting with characteristic skin lesions is critical for early diagnosis and prompt initiation of available treatment options for a better patient outcome.

摘要

卡波西肉瘤是一种通常与人类疱疹病毒8型(HHV - 8)感染相关的肿瘤,在免疫抑制个体中更为普遍,如患有艾滋病毒/艾滋病的人、器官移植受者或其他导致免疫功能障碍的疾病患者。它通常表现为紫色斑块或结节,常见于皮肤或胃肠道黏膜,可扩散至淋巴结和肺部。本病例报告描述了一名18岁垂直感染艾滋病毒的男性,接受度鲁特韦/拉米夫定/替诺福韦(DTG/3TC/TDF)方案治疗,最近CD4细胞计数为627个/mm,病毒载量为378拷贝/ml,出现呼吸急促加重、咳血痰的咳痰以及弥漫性皮疹。患者还出现舌头肿胀伴紫色变色,以及整个左腿和右臂肿胀。体格检查时,患者病情危急,有明显的呼吸窘迫。显著发现包括一个蓝色、外生性、边界不规则的肿块,累及后舌和硬腭。还有无痛、柔软、多个颏下和锁骨上淋巴结肿大,肺部听诊有双侧啰音,以及广泛的、斑片状、结节状皮肤病变。肺部高分辨率计算机断层扫描(CT)显示提示卡波西肉瘤,经皮肤活检确诊。患者最初接受抗生素治疗和补充氧气,同时继续抗逆转录病毒治疗。该病例强调,尽管流行性卡波西肉瘤通常是由逆转录病毒感染引起的免疫抑制人群的疾病,但在那些CD4计数高尽管病毒载量低的患者中仍有可能发生。对出现特征性皮肤病变的高危患者保持高度怀疑对于早期诊断和及时启动可用治疗方案以获得更好的患者预后至关重要。

https://cdn.ncbi.nlm.nih.gov/pmc/blobs/dfb9/12061674/c9896780a1d7/fmed-12-1496863-g001.jpg

文献AI研究员

20分钟写一篇综述,助力文献阅读效率提升50倍。

立即体验

用中文搜PubMed

大模型驱动的PubMed中文搜索引擎

马上搜索

文档翻译

学术文献翻译模型,支持多种主流文档格式。

立即体验