Suppr超能文献

心肌炎中的碳氢化合物暴露:罕见的毒性病因还是触发因素?来自一例经活检证实的暴发性病毒性病例及系统文献综述的见解

Hydrocarbon Exposure in Myocarditis: Rare Toxic Cause or Trigger? Insights from a Biopsy-Proven Fulminant Viral Case and a Systematic Literature Review.

作者信息

Giordani Andrea S, Simone Tommaso, Baritussio Anna, Vicenzetto Cristina, Scognamiglio Federico, Donato Filippo, Licchelli Luca, Cacciavillani Luisa, Fraccaro Chiara, Tarantini Giuseppe, Braccioni Fausto, Rizzo Stefania, De Gaspari Monica, Basso Cristina, Marcolongo Renzo, Caforio Alida L P

机构信息

Cardiology, Department of Cardiac, Vascular, Thoracic Sciences and Public Health, University of Padua-Via Giustiniani 2, 35128 Padua, Italy.

Respiratory Pathophysiology Division, Department of Cardiac, Thoracic, Vascular Sciences and Public Health, University of Padova, 35131 Padova, Italy.

出版信息

Int J Mol Sci. 2025 Apr 24;26(9):4006. doi: 10.3390/ijms26094006.

Abstract

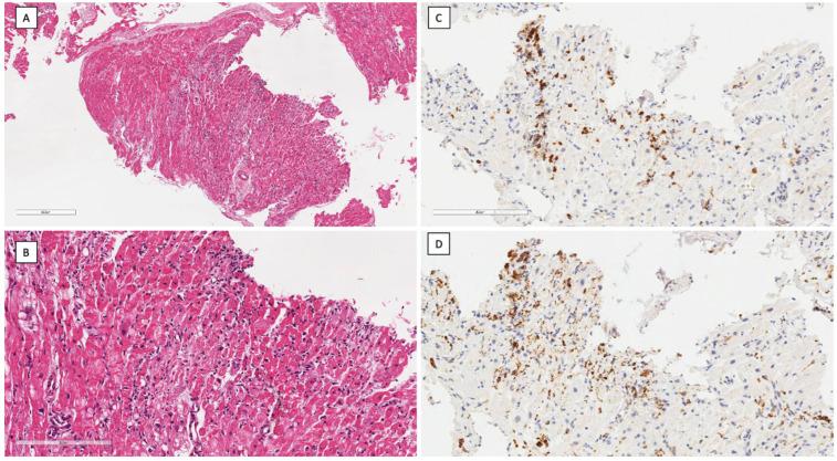
Toxic myocarditis (TM) is rare, and no systematic evidence is available regarding its treatment or prognosis. Hydrocarbons even more rarely cause TM, and they are associated with severe extracardiac toxicity. Moreover, a pathogenic interaction between viral and toxic agents in TM has not been studied. We present the first case of biopsy-proven parvovirus B19 (B19V) viral fulminant myocarditis diagnosed after hydrocarbon exposure, along with a systematic literature review of hydrocarbon-TM cases. A systematic literature review was conducted by searching hydrocarbon-TM cases. Clinical and prognostic data were recorded. After screening of 937 records, 7 were included. All cases were male, with a median age of 24 years (IQR 23-25). Chest pain and dyspnea were the main symptoms, but arrhythmic presentation was also reported; endomyocardial biopsy (EMB) was performed in only one case. Overall, treatment was based on supportive measures, such as antiarrhythmic and/or vasoactive therapy. Our example (male, 47 years old) is the first reported fulminant biopsy-proven case diagnosed after a massive exposure to hydrocarbons, in which EMB molecular analysis unexpectedly revealed B19V with a high viral load. Hemodynamic and arrhythmic instability required percutaneous stellate ganglion blockade and temporary wearable defibrillator use. Left ventricular function spontaneously normalized at 3 months. In conclusion, we report the first fulminant B19V myocarditis case temporally associated with aromatic hydrocarbon exposure due to a coexistence of viral and toxic causes. Our case and the systematic review show that promptly performing EMB can provide a definitive diagnosis and guide treatment, especially in severe cases in which infectious agents may contribute to myocardial damage.

摘要

中毒性心肌炎(TM)较为罕见,目前尚无关于其治疗或预后的系统性证据。碳氢化合物引发TM的情况更为罕见,且与严重的心外毒性相关。此外,TM中病毒与毒性因子之间的致病相互作用尚未得到研究。我们报告了首例经活检证实的细小病毒B19(B19V)暴发性心肌炎病例,该病例在接触碳氢化合物后被诊断出来,并对碳氢化合物相关TM病例进行了系统性文献综述。通过检索碳氢化合物相关TM病例进行了系统性文献综述。记录了临床和预后数据。在筛选937条记录后,纳入了7例。所有病例均为男性,中位年龄24岁(四分位间距23 - 25岁)。胸痛和呼吸困难是主要症状,但也有心律失常的表现;仅1例进行了心内膜活检(EMB)。总体而言,治疗基于支持性措施,如抗心律失常和/或血管活性治疗。我们的病例(47岁男性)是首例报道的在大量接触碳氢化合物后经活检证实的暴发性病例,其中EMB分子分析意外发现高病毒载量的B19V。血流动力学和心律失常不稳定需要进行经皮星状神经节阻滞并使用临时可穿戴式除颤器。左心室功能在3个月时自发恢复正常。总之,我们报告了首例因病毒和毒性因素共存而在时间上与芳香烃暴露相关的暴发性B19V心肌炎病例。我们的病例和系统性综述表明,及时进行EMB可提供明确诊断并指导治疗,尤其是在感染因子可能导致心肌损伤的严重病例中。

https://cdn.ncbi.nlm.nih.gov/pmc/blobs/0527/12071235/83871376dc83/ijms-26-04006-g001.jpg

文献AI研究员

20分钟写一篇综述,助力文献阅读效率提升50倍。

立即体验

用中文搜PubMed

大模型驱动的PubMed中文搜索引擎

马上搜索

文档翻译

学术文献翻译模型,支持多种主流文档格式。

立即体验