Suppr超能文献

非小细胞肺癌中肺间质异常与免疫检查点抑制剂治疗的相互作用:当前认识与未来方向综述

Interactions between interstitial lung abnormalities and immune checkpoint inhibitor therapy in non-small cell lung cancer: A review of current understanding and future directions.

作者信息

Kikuchi Ryota, Abe Shinji

机构信息

Department of Respiratory Medicine, Tokyo Medical University Hospital, Tokyo, Japan.

出版信息

Hum Vaccin Immunother. 2025 Dec;21(1):2504243. doi: 10.1080/21645515.2025.2504243. Epub 2025 May 14.

Abstract

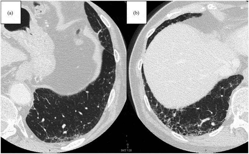
Immunotherapy has revolutionized the treatment landscape of non-small cell lung cancer (NSCLC), significantly improving survival outcomes and offering renewed hope to patients. However, the presence of interstitial lung abnormalities (ILAs) in patients with NSCLC presents unique challenges, especially due to the elevated risk of immune checkpoint inhibitor (ICI)-related pneumonitis, which can result in treatment interruptions and adversely affect prognosis. ILAs, often detected incidentally on computed tomography imaging, are associated with an increased risk of progression to interstitial lung disease and have been identified as a potential predictor of poor clinical outcomes in patients with NSCLC receiving immunotherapy. This review offers an overview of the current understanding of the interaction between ILAs and ICI therapy, discussing prevalence, radiological features, risk stratification, and management strategies. Additionally, it highlights the need for prospective, multicenter studies to establish optimal treatment modalities for patients with NSCLC having ILAs, to ensure safer and more effective immunotherapy.

摘要

免疫疗法彻底改变了非小细胞肺癌(NSCLC)的治疗格局,显著改善了生存结果,并为患者带来了新的希望。然而,NSCLC患者中存在的间质性肺异常(ILA)带来了独特的挑战,尤其是由于免疫检查点抑制剂(ICI)相关肺炎的风险升高,这可能导致治疗中断并对预后产生不利影响。ILA通常在计算机断层扫描成像中偶然发现,与进展为间质性肺病的风险增加相关,并已被确定为接受免疫疗法的NSCLC患者临床预后不良的潜在预测指标。本综述概述了目前对ILA与ICI治疗之间相互作用的理解,讨论了患病率、放射学特征、风险分层和管理策略。此外,它强调了开展前瞻性、多中心研究的必要性,以便为患有ILA的NSCLC患者建立最佳治疗模式,确保免疫疗法更安全、更有效。

https://cdn.ncbi.nlm.nih.gov/pmc/blobs/fb5b/12080731/b82c9a243ff1/KHVI_A_2504243_F0001_B.jpg

文献AI研究员

20分钟写一篇综述,助力文献阅读效率提升50倍。

立即体验

用中文搜PubMed

大模型驱动的PubMed中文搜索引擎

马上搜索

文档翻译

学术文献翻译模型,支持多种主流文档格式。

立即体验