Suppr超能文献

Gfi1在慢性感染和癌症期间控制效应样CD8 T细胞的形成。

Gfi1 controls the formation of effector-like CD8 T cells during chronic infection and cancer.

作者信息

Ojo Oluwagbemiga A, Shen Hongxing, Ingram Jennifer T, Bonner James A, Welner Robert S, Lacaud Georges, Zajac Allan J, Shi Lewis Z

机构信息

Department of Radiation Oncology, Heersink School of Medicine, University of Alabama at Birmingham, Birmingham, AL, USA.

Department of Microbiology, Heersink School of Medicine, University of Alabama at Birmingham, Birmingham, AL, USA.

出版信息

Nat Commun. 2025 May 15;16(1):4542. doi: 10.1038/s41467-025-59784-1.

Abstract

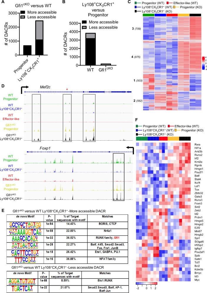
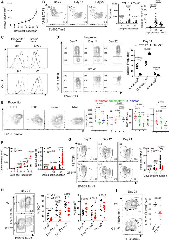
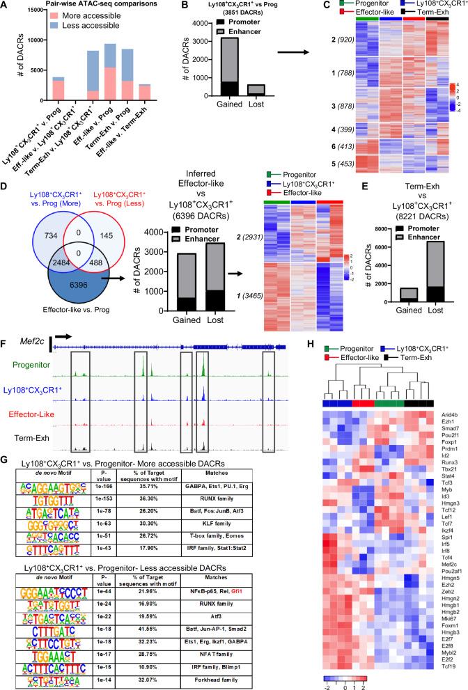
During chronic infection and tumor progression, CD8 T cells lose their effector functions and become exhausted. These exhausted CD8 T cells are heterogeneous and comprised of progenitors that give rise to effector-like or terminally-exhausted cells. The precise cues and mechanisms directing subset formation are incompletely understood. Here, we show that growth factor independent-1 (Gfi1) is dynamically regulated in exhausted CD8 T cells. During chronic LCMV Clone 13 infection, a previously under-described Ly108CXCR1 subset expresses low levels of Gfi1 while other established subsets have high expression. Ly108CXCR1 cells possess distinct chromatin profiles and represent a transitory subset that develops to effector-like and terminally-exhausted cells, a process dependent on Gfi1. Similarly, Gfi1 in tumor-infiltrating CD8 T cells is required for the formation of terminally differentiated cells and endogenous as well as anti-CTLA-induced anti-tumor responses. Taken together, Gfi1 is a key regulator of the subset formation of exhausted CD8 T cells.

摘要

在慢性感染和肿瘤进展过程中,CD8 T细胞会丧失其效应功能并变得耗竭。这些耗竭的CD8 T细胞具有异质性,由可产生效应样或终末耗竭细胞的祖细胞组成。指导亚群形成的确切信号和机制尚未完全明确。在此,我们表明生长因子独立-1(Gfi1)在耗竭的CD8 T细胞中受到动态调控。在慢性淋巴细胞脉络丛脑膜炎病毒克隆13感染期间,一个先前未被充分描述的Ly108CXCR1亚群表达低水平的Gfi1,而其他已确定的亚群则高表达。Ly108CXCR1细胞具有独特的染色质图谱,代表一个过渡性亚群,可发育为效应样和终末耗竭细胞,这一过程依赖于Gfi1。同样,肿瘤浸润性CD8 T细胞中的Gfi1是终末分化细胞形成以及内源性和抗CTLA诱导的抗肿瘤反应所必需的。综上所述,Gfi1是耗竭的CD8 T细胞亚群形成的关键调节因子。

https://cdn.ncbi.nlm.nih.gov/pmc/blobs/c12e/12081725/02f8fe27ecd2/41467_2025_59784_Fig1_HTML.jpg

文献AI研究员

20分钟写一篇综述,助力文献阅读效率提升50倍。

立即体验

用中文搜PubMed

大模型驱动的PubMed中文搜索引擎

马上搜索

文档翻译

学术文献翻译模型,支持多种主流文档格式。

立即体验