Suppr超能文献

CDX2、MUC5AC和p53在评估锯齿状病变向结直肠癌进展中的作用。

The role of CDX2, MUC5AC, and p53 in the evaluation of the progression of serrated lesions toward colorectal carcinoma.

作者信息

Cazacu Sergiu Marian, Iordache Sevastiţa, Iovănescu Vlad Florin, Streba Liliana, Neagoe Carmen Daniela, Busuioc Cristina Jana, Cârţu Dan, Florescu Mirela Marinela

机构信息

Department of Gastroenterology, University of Medicine and Pharmacy of Craiova, Romania;

出版信息

Rom J Morphol Embryol. 2025 Jan-Mar;66(1):99-109. doi: 10.47162/RJME.66.1.09.

Abstract

BACKGROUND

Serrated colorectal lesions represent a potential precursor of 15-30% of colorectal carcinoma, although the exact mechanisms are not fully understood. The serrated pathway of colorectal carcinogenesis may be correlated with gastric-type metaplasia of the colon and modified expression of caudal type homeobox 2 (CDX2) and local mucins (MUCs).

PATIENTS, MATERIALS AND METHODS: We performed a retrospective study of patients with resected polyps during 2014-2021. The prevalence of serrated lesions, risk factors associated with malignant polyps, and the role of gastric-type metaplasia associated with serrated pathway of carcinogenesis (CDX2, MUC5AC) and of p53 immunostaining in serrated lesions with dysplasia and carcinoma were assessed.

RESULTS

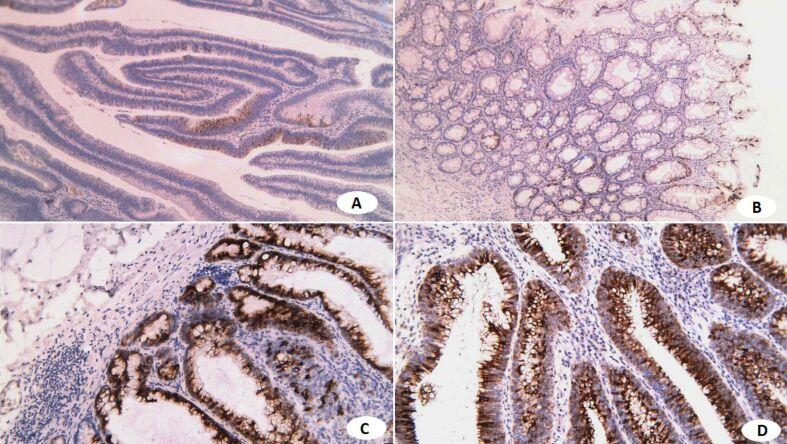
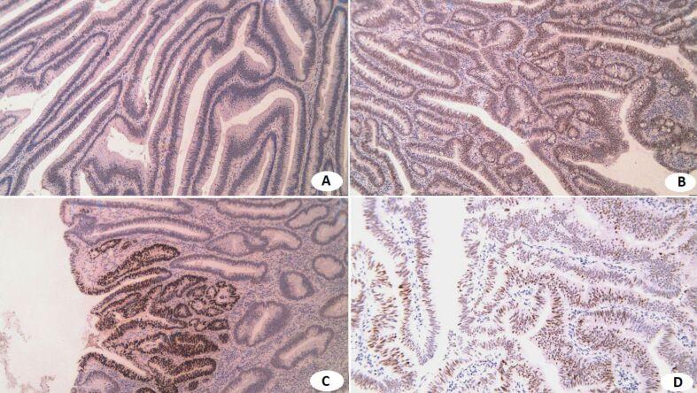
Five hundred twenty two (522) patients had 1199 polyps removed. We noted a 12.8% prevalence of sessile serrated adenoma∕polyps (SSA∕P) and traditional serrated adenomas (TSA); 17.4% had hyperplastic polyps. The malignancy rate of resected polyps was higher in tubulovillous adenoma (TVA) and villous adenoma (12.3-20%) than in SSA∕P (8.3%) and TSA (4.8%). In TSA, no significant associations between malignancy and age, gender, size, location, or endoscopic appearance were noted. In SSA∕P, malignant polyps were much larger, especially for the right side lesions, but the macroscopic type was not correlated with malignancy risk. Immunohistochemistry (IHC) was performed in 26 polyps with dysplasia or carcinoma; all cases had CDX2 immunostaining in the tumor cell's nucleus, with an average percentage of 96.5%. MUC5AC immunostaining was identified in the tumor cells' cytoplasm, with an average percentage of 31.81%; the intensity reaction was variable (average score 4.5). The percentage, intensity, and score for CDX2 IHC were similar for TSA and TVA and were lower for SSA∕P with low-grade dysplasia (LGD), while for SSA∕P with high-grade dysplasia (HGD) or carcinoma in situ (CIS), the percentage, intensity, and score were similar to TSA and TVA. p53 immunostaining was also positive in all cases, with an average percentage of 50.95% in the tumor cells' nucleus. p53 and MUC5AC had increased percentage, intensity, and scores from LGD to HGD in SSA∕P and decreased mean percentage, intensity, and scores in TSA and TVA.

CONCLUSIONS

The risk of malignancy in serrated lesions seems lower than in conventional adenomas, however, sessile serrated lesions can be involved in the appearance of interval cancers because of flat and pale macroscopic aspects. Gastric-type intestinal metaplasia may be associated with the serrated pathway, but more studies are needed to clarify mechanisms associated with serrated carcinogenesis.

摘要

背景

锯齿状结直肠病变是15%-30%的结直肠癌的潜在前体,尽管确切机制尚未完全明确。结直肠癌发生的锯齿状途径可能与结肠胃型化生、尾型同源盒2(CDX2)和局部黏蛋白(MUCs)的表达改变有关。

患者、材料与方法:我们对2014年至2021年期间接受息肉切除术的患者进行了一项回顾性研究。评估了锯齿状病变的患病率、与恶性息肉相关的危险因素,以及与锯齿状致癌途径相关的胃型化生(CDX2、MUC5AC)和p53免疫染色在伴有发育异常和癌的锯齿状病变中的作用。

结果

522例患者切除了1199枚息肉。我们注意到无蒂锯齿状腺瘤/息肉(SSA/P)和传统锯齿状腺瘤(TSA)的患病率为12.8%;17.4%的患者有增生性息肉。管状绒毛状腺瘤(TVA)和绒毛状腺瘤中切除息肉的恶性率(12.3%-20%)高于SSA/P(8.3%)和TSA(4.8%)。在TSA中,未发现恶性与年龄、性别、大小、位置或内镜表现之间存在显著关联。在SSA/P中,恶性息肉要大得多,尤其是右侧病变,但宏观类型与恶性风险无关。对26例伴有发育异常或癌的息肉进行了免疫组织化学(IHC)检测;所有病例肿瘤细胞核均有CDX2免疫染色,平均百分比为96.5%。肿瘤细胞胞质中发现MUC5AC免疫染色,平均百分比为31.81%;强度反应各不相同(平均评分为4.5)。TSA和TVA的CDX2 IHC百分比、强度和评分相似,低级别发育异常(LGD)的SSA/P较低,而高级别发育异常(HGD)或原位癌(CIS)的SSA/P的百分比、强度和评分与TSA和TVA相似。所有病例p53免疫染色也呈阳性,肿瘤细胞核中的平均百分比为50.95%。在SSA/P中,从LGD到HGD,p53和MUC5AC的百分比、强度和评分增加,而在TSA和TVA中,平均百分比、强度和评分降低。

结论

锯齿状病变的恶性风险似乎低于传统腺瘤,然而,无蒂锯齿状病变因其扁平苍白的宏观外观可能与间隔期癌的出现有关。胃型肠化生可能与锯齿状途径有关,但需要更多研究来阐明与锯齿状致癌相关的机制。

https://cdn.ncbi.nlm.nih.gov/pmc/blobs/86f1/12236287/28b8cb79865e/RJME-66-1-99-fig1.jpg

文献AI研究员

20分钟写一篇综述,助力文献阅读效率提升50倍。

立即体验

用中文搜PubMed

大模型驱动的PubMed中文搜索引擎

马上搜索

文档翻译

学术文献翻译模型,支持多种主流文档格式。

立即体验