Suppr超能文献

帕立骨化醇和羟氯喹可调节细胞外基质并增强胰腺癌的化疗疗效。

Paricalcitol and hydroxychloroquine modulates extracellular matrix and enhance chemotherapy efficacy in pancreatic cancer.

作者信息

El-Rayes Bassel, Reddy Dhana, Sarvesh Sujith, Foote Jeremy, Welsch Doug, Cheng Chengde, Akce Mehmet, Nagaraju Ganji Purnachandra

机构信息

University of Alabama at Birmingham.

University of Alabama.

出版信息

Res Sq. 2025 May 5:rs.3.rs-6406693. doi: 10.21203/rs.3.rs-6406693/v1.

Abstract

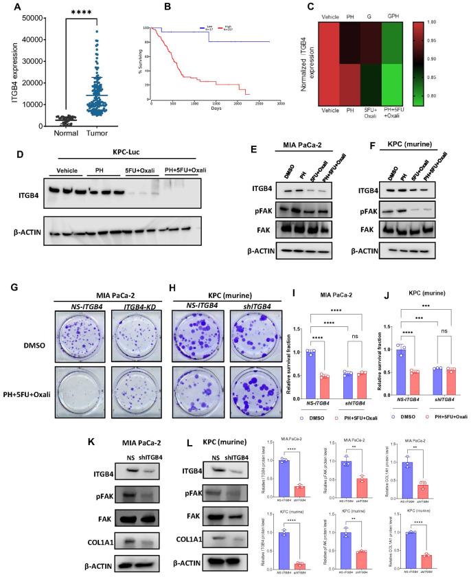
Pancreatic ductal adenocarcinoma (PDAC) is a highly aggressive cancer with poor prognosis and limited therapeutic options. In a previous publication, our group defined some of the mechanisms that vitamin D analogue paricalcitol (P) and hydroxychloroquine (H) potentiated the effects of gemcitabine-based chemotherapy in PDAC. Based on this, we hypothesized that PH may potentiate 5-fluorouracil (5FU) and oxaliplatin-based chemotherapy, and this may involve a novel mechanism of extracellular matrix (ECM) modulation. The combination of PH with 5FU/oxaliplatin significantly increased the cell death, apoptosis, and S-phase cell cycle arrest as compared to untreated or 5FU/oxaliplatin treated MIA PaCa-2, HPAC and KPC cell lines. In vivo, the combination therapy inhibited PDAC growth and altered the immune landscape by activating T and NK cells. Proteomic analysis revealed significant reduction in ECM proteins, specifically integrin beta-4 (ITGB4). Confirmation of the role of ITGB4 was performed through genetic knockdown of ITGB4 which led ECM inhibition. In conclusion, the combination of PH significantly enhances the efficacy of oxaliplatin and 5FU. We identified a new mechanism of action of PH through inhibiting ITGB4 leading to ECM modulation. These results suggest that the combination of PH with cytotoxic chemotherapy should be tested in PDAC clinical trials.

摘要

胰腺导管腺癌(PDAC)是一种侵袭性很强的癌症,预后较差且治疗选择有限。在之前的一篇出版物中,我们团队确定了维生素D类似物帕立骨化醇(P)和羟氯喹(H)增强基于吉西他滨的化疗对PDAC疗效的一些机制。基于此,我们推测PH可能增强基于5-氟尿嘧啶(5FU)和奥沙利铂的化疗效果,且这可能涉及细胞外基质(ECM)调节的一种新机制。与未处理或接受5FU/奥沙利铂处理的MIA PaCa-2、HPAC和KPC细胞系相比,PH与5FU/奥沙利铂联合使用显著增加了细胞死亡、细胞凋亡和S期细胞周期阻滞。在体内,联合治疗通过激活T细胞和NK细胞抑制了PDAC的生长并改变了免疫格局。蛋白质组学分析显示ECM蛋白显著减少,特别是整合素β-4(ITGB4)。通过基因敲低ITGB4证实了其作用,这导致了ECM抑制。总之,PH联合使用显著增强了奥沙利铂和5FU的疗效。我们通过抑制ITGB4导致ECM调节确定了PH的一种新作用机制。这些结果表明,PH与细胞毒性化疗的联合应用应在PDAC临床试验中进行测试。

https://cdn.ncbi.nlm.nih.gov/pmc/blobs/bfca/12083674/89526f9e0c67/nihpp-rs6406693v1-f0001.jpg

文献AI研究员

20分钟写一篇综述,助力文献阅读效率提升50倍。

立即体验

用中文搜PubMed

大模型驱动的PubMed中文搜索引擎

马上搜索

文档翻译

学术文献翻译模型,支持多种主流文档格式。

立即体验