Suppr超能文献

新型冠状病毒肺炎疑似患者口腔上皮细胞遗传毒性和氧化性DNA损伤的比较研究

A Comparative Study on Genotoxic and Oxidative DNA Damage in Oral Epithelial Cells of COVID-19 Suspected Patients.

作者信息

Poojari Yogitha, Murugan Senthil, Sankaran P K, Ghoshal Joy A, Maria Francis Yuvaraj, A Mohan K, Kalidoss Vinoth K

机构信息

Anatomy, All India Institute Of Medical Sciences, Mangalagiri, IND.

Anatomy, All India Institute of Medical Sciences, Mangalagiri, IND.

出版信息

Cureus. 2025 Apr 19;17(4):e82593. doi: 10.7759/cureus.82593. eCollection 2025 Apr.

Abstract

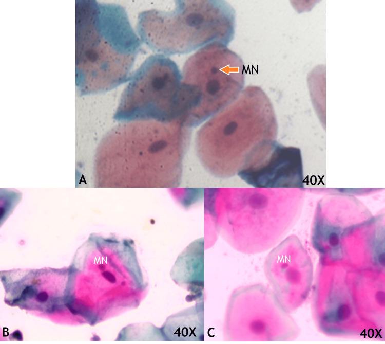
Introduction The SARS-CoV-2 virus causes COVID-19 by chiefly infecting the nasal and oral mucosal cavities, where its spike proteins bind to angiotensin-converting enzyme II (ACE2) receptors on epithelial cells. This study aimed to assess SARS-CoV-2-related genotoxicity in buccal mucosal cells through micronuclei counts and 8-Oxo-2'-deoxyguanosine (8-OHdG) expression. Methods This cross-sectional study was conducted in 86 COVID-19 suspected patients aged 18-45 years attending an outpatient screening area for reverse transcription polymerase chain reaction (RT-PCR) SARS-CoV-2 testing between December 2023 and February 2024. Salivary swabs were obtained and smeared on glass slides for each patient. These slides were stained to study and compare cellular toxicity by Papanicolaou (Pap) staining and oxidative DNA damage expression by immunohistochemistry. The categorical and continuous variables were assessed using the independent t-test and ANOVA. A p-value of less than 0.05 was considered statistically significant. Results The number of micronucleated cells, total micronuclei, neutrophil, lymphocyte and inflammatory cell count in COVID-19 RT-PCR positive patients were 11.32 ± 7.00, 17.32± 12.53, 1.93 ± 1.17, 3.98 ± 2.55 and 5.90 ± 3.15 respectively which is higher than COVID-19 RT-PCR negative individuals 6.09± 3.83, 9.04± 5.82, 0.18± 0.49, 2.13± 0.84 and 2.31±1.01 respectively. Moreover, buccal cells showed increased oxidative DNA damage with intense staining for 8-OHdG in COVID-19-positive patients. The epithelial-to-inflammatory cell ratio was very low in COVID-19-positive buccal smear patients. Conclusion This study concludes that SARS-CoV-2 has a genotoxic effect by increasing the micronuclei count and has oxidative DNA damage by increasing the 8-OHdG expression in the exfoliated buccal cells.

摘要

引言 严重急性呼吸综合征冠状病毒2(SARS-CoV-2)主要通过感染鼻腔和口腔黏膜腔引发2019冠状病毒病(COVID-19),其刺突蛋白与上皮细胞上的血管紧张素转换酶2(ACE2)受体结合。本研究旨在通过微核计数和8-氧代-2'-脱氧鸟苷(8-OHdG)表达评估SARS-CoV-2在颊黏膜细胞中的遗传毒性。方法 本横断面研究于2023年12月至2024年2月期间,对86名年龄在18至45岁的COVID-19疑似患者进行,这些患者前往门诊筛查区进行逆转录聚合酶链反应(RT-PCR)SARS-CoV-2检测。为每位患者采集唾液拭子并涂抹在载玻片上。对这些载玻片进行染色,通过巴氏(Pap)染色研究和比较细胞毒性,并通过免疫组织化学检测氧化DNA损伤表达。使用独立t检验和方差分析评估分类变量和连续变量。p值小于0.05被认为具有统计学意义。结果 COVID-19 RT-PCR阳性患者的微核细胞数、总微核数、中性粒细胞、淋巴细胞和炎症细胞计数分别为11.32±7.00、17.32±12.53、1.93±1.17、3.98±2.55和5.90±3.15,均高于COVID-19 RT-PCR阴性个体,分别为6.09±3.83、9.04±5.82、0.18±0.49、2.13±0.84和2.31±1.01。此外,COVID-19阳性患者的颊细胞显示氧化DNA损伤增加,8-OHdG染色强烈。COVID-19阳性颊涂片患者的上皮细胞与炎症细胞比率非常低。结论 本研究得出结论,SARS-CoV-2通过增加微核计数具有遗传毒性作用,并通过增加脱落颊细胞中的8-OHdG表达导致氧化DNA损伤。

https://cdn.ncbi.nlm.nih.gov/pmc/blobs/8f34/12088234/8fc2f784b465/cureus-0017-00000082593-i01.jpg

文献AI研究员

20分钟写一篇综述,助力文献阅读效率提升50倍。

立即体验

用中文搜PubMed

大模型驱动的PubMed中文搜索引擎

马上搜索

文档翻译

学术文献翻译模型,支持多种主流文档格式。

立即体验