Suppr超能文献

对接种禽传染性支气管炎病毒M41株进行滴定的无特定病原体鸡蛋胚胎的气管、肺和中肾进行组织病理学评估。

Histopathological evaluation of trachea, lung, and mesonephros in specific pathogen free-eggs embryos inoculated for titration of avian infectious bronchitis virus M41 strain.

作者信息

Farhadi Farhad, Farshid Amir Abbas, Alavi Mohammad Hossein, Ameghi Ali, Mahmoudi Seyede Soraya

机构信息

Department of Pathobiology, Faculty of Veterinary Medicine, Urmia University, Urmia, Iran.

Department of Poultry Health and Diseases, Faculty of Veterinary Medicine, Urmia University, Urmia, Iran.

出版信息

Vet Res Forum. 2025;16(3):161-166. doi: 10.30466/vrf.2024.2032492.4322. Epub 2025 Mar 15.

Abstract

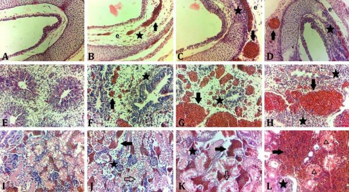
Infectious bronchitis, being caused by a coronavirus, is a significant disease affecting broiler and layer chickens, leading to substantial losses in the poultry industry due to the high mortality rates and decreased egg yield. Nearly 30 serotypes and 100 variants were described to date; developed vaccines are being for some severe cases, like the Massachusetts strain, to mitigate the effects. Determining the vaccinal strain's titer is crucial for creating an effective vaccine, and calculating the virus infectivity in the egg embryo is very important using dilutions ranging from 10 to 10, from each dilution 0.10 mL is used. The aim of this study was to determine the effects of the avian bronchitis virus injected into the allantoic cavity of ten days old embryonated eggs. Real-time polymerase chain reaction tests determined the viral load in the allantoic fluid. The embryos were removed to study gross injuries. The trachea, lung, and mesonephros were removed and submitted for histopathological studies, and nuclear factor-kappa B immunofluorescence analysis. The results revealed that the dilution of one-thousandth of the virus in the embryos caused the highest organ damage and viral replication. Varying degrees of hyperemia, edema, cellular infiltration, and degeneration were observed in the trachea, lung, and mesonephros depending on the virus dilution. This study provides valuable insights into the pathogenesis of the avian bronchitis virus, and has a potential impact on achieving an effective vaccine.

摘要

传染性支气管炎由冠状病毒引起,是一种影响肉鸡和蛋鸡的重要疾病,由于高死亡率和产蛋量下降导致家禽业遭受重大损失。迄今为止已描述了近30种血清型和100种变体;针对一些严重病例,如马萨诸塞毒株,已研发出疫苗以减轻其影响。确定疫苗毒株的滴度对于制备有效的疫苗至关重要,使用10到10的稀释度计算鸡胚中的病毒感染力非常重要,每种稀释度取0.10 mL。本研究的目的是确定将禽支气管炎病毒注入10日龄鸡胚尿囊腔的影响。实时聚合酶链反应测试确定了尿囊液中的病毒载量。取出胚胎以研究大体损伤。取出气管、肺和中肾进行组织病理学研究以及核因子-κB免疫荧光分析。结果显示,胚胎中病毒千分之一的稀释度导致最高程度的器官损伤和病毒复制。根据病毒稀释度的不同,在气管、肺和中肾中观察到不同程度的充血、水肿、细胞浸润和变性。本研究为禽支气管炎病毒的发病机制提供了有价值的见解,并对实现有效的疫苗具有潜在影响。

https://cdn.ncbi.nlm.nih.gov/pmc/blobs/2778/12085937/100b47b87922/vrf-16-161-g001.jpg

文献AI研究员

20分钟写一篇综述,助力文献阅读效率提升50倍。

立即体验

用中文搜PubMed

大模型驱动的PubMed中文搜索引擎

马上搜索

文档翻译

学术文献翻译模型,支持多种主流文档格式。

立即体验