Suppr超能文献

机械应力诱导的NOX2促进呼吸机诱导性肺损伤中的内皮功能障碍:槲皮素的潜在治疗作用

Mechanical Stress Induced NOX2 Promotes Endothelial Dysfunction in Ventilator-Induced Lung Injury: Potential Treatment with Quercetin.

作者信息

Jiang Tao, Zhang Yabing, Guo Zhiye, Ren He, Hu Weiyi, Yao Qingping, Huo Yunlong, Qi Yingxin, Huang Kai

机构信息

Institute of Mechanobiology & Medical Engineering, School of Life Sciences & Biotechnology, Shanghai Jiao Tong University, 800 Dongchuan Road, Minhang, Shanghai, 200240, China.

Key Laboratory for Biomechanics and Mechanobiology of Ministry of Education, School of Biological Science and Medical Engineering, Beihang University, Beijing, 100083, China.

出版信息

Adv Sci (Weinh). 2025 Jul;12(28):e2502639. doi: 10.1002/advs.202502639. Epub 2025 May 20.

Abstract

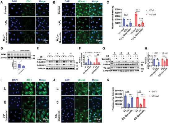
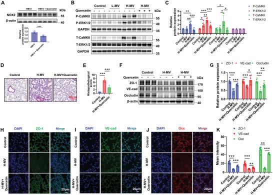
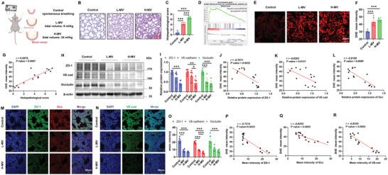
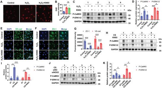
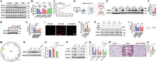
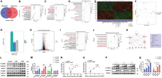
Mechanical ventilation (MV) is a treatment that helps people who are unable to breathe on their own. However, the use of MV leads to the development of ventilator-induced lung injury (VILI). Here, it is found that VILI with endothelial barrier disruption is accompanied by elevated reactive oxygen species (ROS) in mice. NADPH oxidase 2 (NOX2, also known as CYBB or gp91phox) is first examined to be the main source of ROS to repress endothelial junction. Besides, 20%-0.5 Hz high cyclic stretch (high CS) significantly increases NOX2 expression and inhibits endothelial junction protein expression. NOX2 activates the downstream Calcium-calmodulin (CaM)-dependent protein kinase II (CaMKII)/ Extracellular signal-regulated protein kinase 1/2 (ERK1/2) signaling pathway through the regulation of ROS. This pathway is confirmed by high MV stimulation in vivo and high CS in vitro. Of note, quercetin, as an antioxidant, is effective in preventing mechanical stretch-induced endothelial dysfunction by scavenging ROS. Omics data indicated that there is a similar gene expression pattern in cecal ligation and puncture (CLP) and VILI. Pre-administration of quercetin significantly improves the survival rate of mice via inactivating ROS/CaMKII/ERK1/2 axis. Quercetin pre-treatment not only preventes MV-induced lung injury but also attenuates existing inflammation-induced lung injury.

摘要

机械通气(MV)是一种帮助无法自主呼吸的人的治疗方法。然而,MV的使用会导致呼吸机诱导性肺损伤(VILI)的发生。在此研究中,发现小鼠中伴有内皮屏障破坏的VILI与活性氧(ROS)水平升高有关。首先检测到烟酰胺腺嘌呤二核苷酸磷酸氧化酶2(NOX2,也称为CYBB或gp91phox)是抑制内皮连接的ROS的主要来源。此外,20% - 0.5Hz的高循环拉伸(高CS)显著增加NOX2表达并抑制内皮连接蛋白表达。NOX2通过ROS的调节激活下游钙调蛋白(CaM)依赖性蛋白激酶II(CaMKII)/细胞外信号调节蛋白激酶1/2(ERK1/2)信号通路。该通路在体内的高MV刺激和体外的高CS实验中得到证实。值得注意的是,槲皮素作为一种抗氧化剂,通过清除ROS有效地预防机械拉伸诱导的内皮功能障碍。组学数据表明,盲肠结扎和穿刺(CLP)与VILI存在相似的基因表达模式。槲皮素预处理通过使ROS/CaMKII/ERK1/2轴失活,显著提高小鼠的存活率。槲皮素预处理不仅能预防MV诱导的肺损伤,还能减轻现有的炎症诱导的肺损伤。

https://cdn.ncbi.nlm.nih.gov/pmc/blobs/c78f/12302586/a24765c2a612/ADVS-12-2502639-g006.jpg

文献AI研究员

20分钟写一篇综述,助力文献阅读效率提升50倍。

立即体验

用中文搜PubMed

大模型驱动的PubMed中文搜索引擎

马上搜索

文档翻译

学术文献翻译模型,支持多种主流文档格式。

立即体验