Suppr超能文献

PKMYT1激酶改善骨肉瘤对顺铂的敏感性。

PKMYT1 kinase ameliorates cisplatin sensitivity in osteosarcoma.

作者信息

Liu Binfeng, Li Wei, Zhang Wenchao, Feng Chengyao, Wan Lu, He Shasha, Xu Ruiling, Fu Zheng, Liu Zhongyue, Xu Haodong, Jin Xin, Tu Chao, Li Zhihong

机构信息

Department of Orthopedics, The Second Xiangya Hospital, Central South University, Changsha, China.

National Clinical Research Center for Mental Disorders, and National Center for Mental Disorders, The Second Xiangya Hospital of Central South University, Changsha, China.

出版信息

Signal Transduct Target Ther. 2025 May 21;10(1):165. doi: 10.1038/s41392-025-02250-7.

Abstract

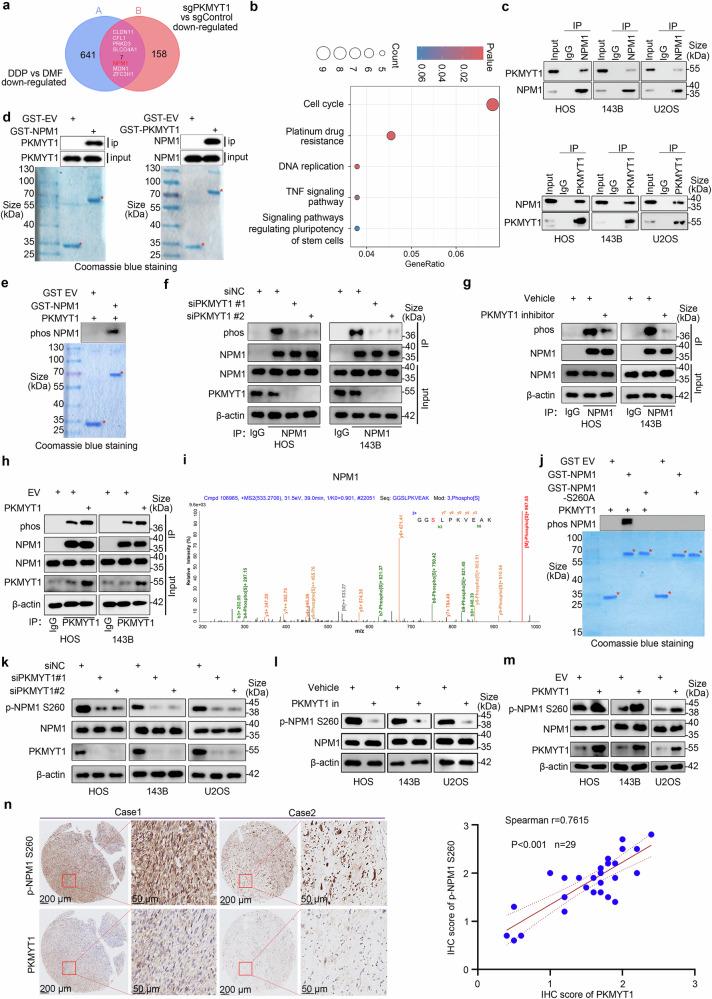
Cisplatin (DDP) remains a cornerstone therapy for osteosarcoma (OS); however, pervasive resistance severely limits its clinical efficacy and worsens patient outcomes. Developing strategies to enhance the chemotherapeutic responsiveness of OS cells is therefore of critical importance. Here, we conducted a kinome-wide clustered regularly interspaced short palindromic repeats (CRISPR) screen, coupled with transcriptome sequencing, to identify regulators of DDP sensitivity. This approach revealed protein kinase membrane-associated tyrosine/threonine 1 (PKMYT1) as a key regulator of DDP sensitivity in OS. Subsequent analysis of patient-derived clinical specimens, along with in vitro functional assays, demonstrated that DDP treatment induces the activation of PKMYT1 in OS cells. Importantly, PKMYT1 silencing markedly enhances cellular sensitivity to DDP, indicating its role in promoting chemoresistance. Mechanistically, PKMYT1 induces phosphorylation of nucleophosmin 1 (NPM1) at the S260 site, which competitively impairs NPM1 SUMOylation. This modification interferes with the recruitment of essential DNA damage response factors, including breast cancer suppressor gene 1 (BRCA1), receptor-associated protein 80 (RAP80), and RADiation sensitive protein 51 (RAD51), ultimately affecting double-strand break (DSB) repair. Furthermore, the selective PKMYT1 inhibitor RP6306 was found to synergize with DDP, amplifying its cytotoxic effects in OS cells. Collectively, these findings highlight PKMYT1 as a promising therapeutic target and provide a rationale for combinatorial strategies to overcome DDP resistance in OS.

摘要

顺铂(DDP)仍然是骨肉瘤(OS)的基石疗法;然而,普遍存在的耐药性严重限制了其临床疗效并恶化了患者预后。因此,制定增强OS细胞化疗反应性的策略至关重要。在这里,我们进行了全激酶组成簇规律间隔短回文重复序列(CRISPR)筛选,并结合转录组测序,以确定DDP敏感性的调节因子。该方法揭示蛋白激酶膜相关酪氨酸/苏氨酸1(PKMYT1)是OS中DDP敏感性的关键调节因子。随后对患者来源的临床标本进行分析,并结合体外功能试验,证明DDP治疗可诱导OS细胞中PKMYT1的激活。重要的是,PKMYT1沉默显著增强细胞对DDP的敏感性,表明其在促进化疗耐药性中的作用。机制上,PKMYT1诱导核仁磷酸蛋白1(NPM1)在S260位点磷酸化,这竞争性地损害NPM1的SUMO化。这种修饰干扰了包括乳腺癌抑制基因1(BRCA1)、受体相关蛋白80(RAP80)和辐射敏感蛋白51(RAD51)在内的必需DNA损伤反应因子的募集,最终影响双链断裂(DSB)修复。此外,发现选择性PKMYT1抑制剂RP6306与DDP协同作用,增强其在OS细胞中的细胞毒性作用。总之,这些发现突出了PKMYT1作为一个有前景的治疗靶点,并为克服OS中DDP耐药性的联合策略提供了理论依据。

https://cdn.ncbi.nlm.nih.gov/pmc/blobs/238f/12092789/f4a202e48ec3/41392_2025_2250_Fig1_HTML.jpg

文献AI研究员

20分钟写一篇综述,助力文献阅读效率提升50倍。

立即体验

用中文搜PubMed

大模型驱动的PubMed中文搜索引擎

马上搜索

文档翻译

学术文献翻译模型,支持多种主流文档格式。

立即体验