Suppr超能文献

化学蛋白质组学揭示索法酮靶向核糖体蛋白以抑制金黄色葡萄球菌中的蛋白质合成。

Chemoproteomics unveils Sofalcone targeting ribosomal proteins to inhibit protein synthesis in Staphylococcus aureus.

作者信息

Zhou Lirun, Zhang Ying, Zhuge Ruishen, Wu Liqiong, Chu Zheng, Ma Ang, Gao Peng, Wong Yin Kwan, Zhang Junzhe, Peng Xin, Wang Peili, Wang Jigang, Tang Huan

机构信息

State Key Laboratory for Quality Ensurance and Sustainable Use of Dao-Di Herbs, Artemisinin Research Center, and Institute of Chinese Materia Medica, China Academy of Chinese Medical Sciences, Beijing, 100700, China.

Department of Pulmonary and Critical Care Medicine, Shenzhen Institute of Respiratory Diseases, Guangdong Provincial Clinical Research Center for Geriatrics, Shenzhen Clinical Research Center for Geriatrics, Shenzhen People's Hospital, The First Affiliated Hospital, Southern University of Science and Technology, Shenzhen, 518020, Guangdong, China.

出版信息

Mol Biomed. 2025 May 23;6(1):32. doi: 10.1186/s43556-025-00269-4.

Abstract

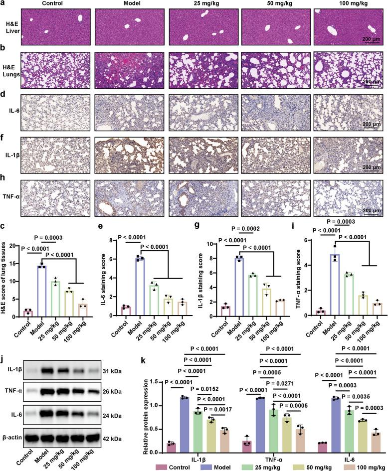
The escalating threat of antibiotic resistance, particularly in Staphylococcus aureus (including methicillin-resistant strains, MRSA), underscores the urgent need for novel therapeutics. Sofalcone (Sof), a chalcone derivative from Sophora subprostrata with established anti-inflammatory and anti-ulcer properties, exhibits promising yet underexplored antibacterial activity. Here, we demonstrate that Sof potently inhibits S. aureus and MRSA while showing minimal cytotoxicity in human cells. Notably, Sof synergized with amoxicillin, and significantly reduced the pathogenicity of S. aureus through inhibiting biofilm formation addressing key virulence factors. Through chemoproteomic profiling using a clickable Sof-derived probe, ribosomal proteins, specifically the 50S subunit protein rplB, were identified as primary targets. Sof covalently binds to rplB via cysteine residues, as validated by cellular thermal shift assays, microscale thermophoresis, and competition assays. Bio-orthogonal noncanonical amino acid tagging revealed that Sof disrupts bacterial protein synthesis by impairing ribosomal function, a mechanism distinct from conventional antibiotics. In a murine model of S. aureus-induced acute lung injury, Sof greatly reduced bacterial load in lungs, attenuated systemic inflammation, and mitigated histopathological damage. Its dual antibacterial and anti-inflammatory efficacy, coupled with activity against Gram-negative Escherichia coli, highlights broad-spectrum potential. This study unveils a covalent ribosomal-targeting strategy, positioning Sof as a multifaceted candidate against multidrug-resistant infections. Our findings bridge natural product pharmacology and mechanistic antimicrobial discovery, offering a template for combating the global antibiotic resistance crisis.

摘要

抗生素耐药性的威胁不断升级,尤其是在金黄色葡萄球菌(包括耐甲氧西林菌株,即MRSA)中,这凸显了对新型治疗方法的迫切需求。槐果碱(Sof)是一种来自苦参的查尔酮衍生物,具有已确定的抗炎和抗溃疡特性,展现出有前景但尚未充分探索的抗菌活性。在此,我们证明槐果碱能有效抑制金黄色葡萄球菌和MRSA,同时在人类细胞中显示出最小的细胞毒性。值得注意的是,槐果碱与阿莫西林协同作用,并通过抑制生物膜形成和解决关键毒力因子,显著降低了金黄色葡萄球菌的致病性。通过使用可点击的槐果碱衍生探针进行化学蛋白质组学分析,核糖体蛋白,特别是50S亚基蛋白rplB,被确定为主要靶点。通过细胞热迁移分析、微量热泳动和竞争分析验证,槐果碱通过半胱氨酸残基与rplB共价结合。生物正交非经典氨基酸标记显示,槐果碱通过损害核糖体功能破坏细菌蛋白质合成,这是一种不同于传统抗生素的机制。在金黄色葡萄球菌诱导的急性肺损伤小鼠模型中,槐果碱大大降低了肺部的细菌载量,减轻了全身炎症,并减轻了组织病理学损伤。其双重抗菌和抗炎功效,以及对革兰氏阴性大肠杆菌的活性,凸显了其广谱潜力。本研究揭示了一种共价核糖体靶向策略,将槐果碱定位为对抗多重耐药感染的多面候选药物。我们的发现架起了天然产物药理学与抗菌机制发现之间的桥梁,为应对全球抗生素耐药危机提供了一个模板。

https://cdn.ncbi.nlm.nih.gov/pmc/blobs/feaf/12102032/deab09fc9a7d/43556_2025_269_Fig1_HTML.jpg

文献AI研究员

20分钟写一篇综述,助力文献阅读效率提升50倍。

立即体验

用中文搜PubMed

大模型驱动的PubMed中文搜索引擎

马上搜索

文档翻译

学术文献翻译模型,支持多种主流文档格式。

立即体验